Receive 30% off all Monoclonal IHC antibodies with code "MONO-IHC-30"! Offer valid for US customers and available internationally through distributors.

Hsp90 alpha Recombinant Antibody

Applications

  • WB
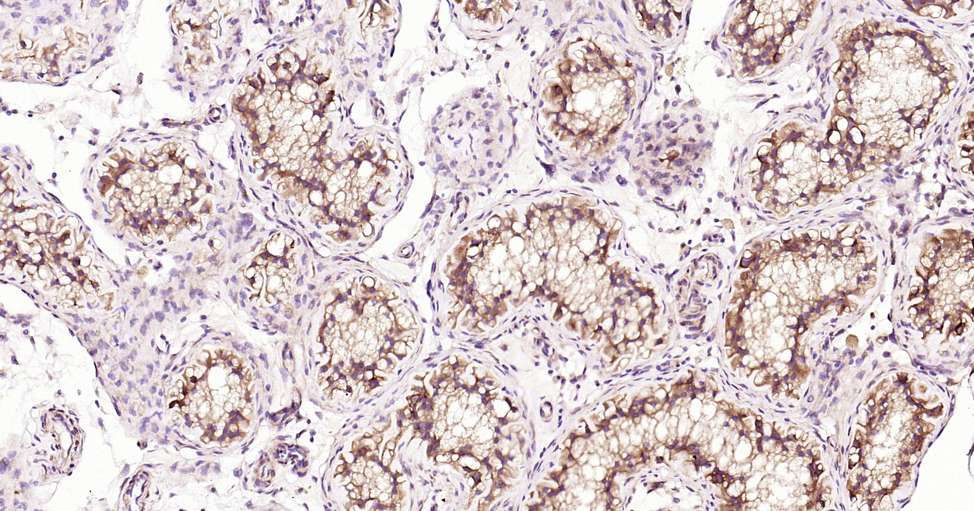
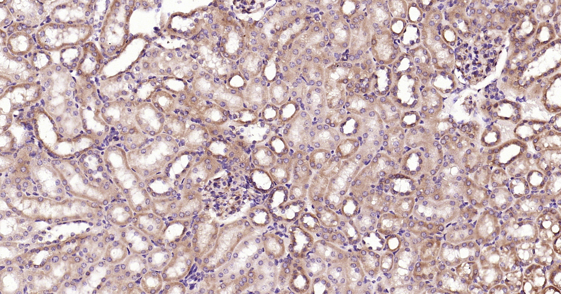
  • IHC-P
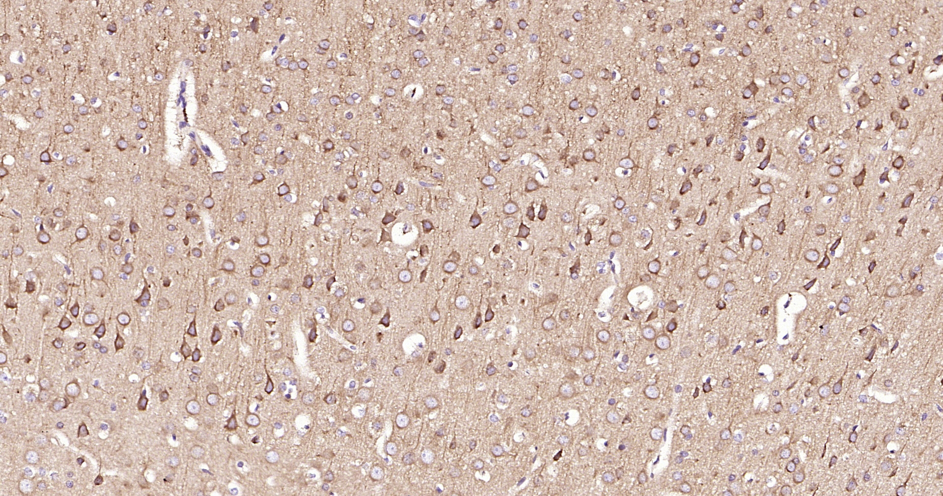
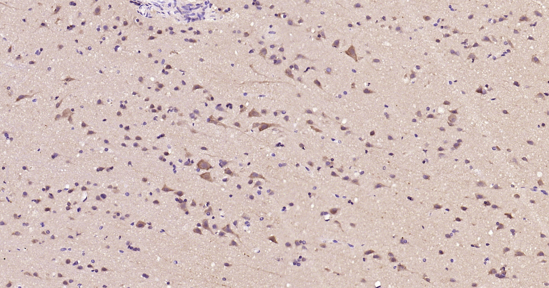
  • IHC-F
  • IF
  • ICC/IF

Reactivity

  • Human
  • Mouse
  • Rat
Overview
Catalog # bsm-52353r-100ul
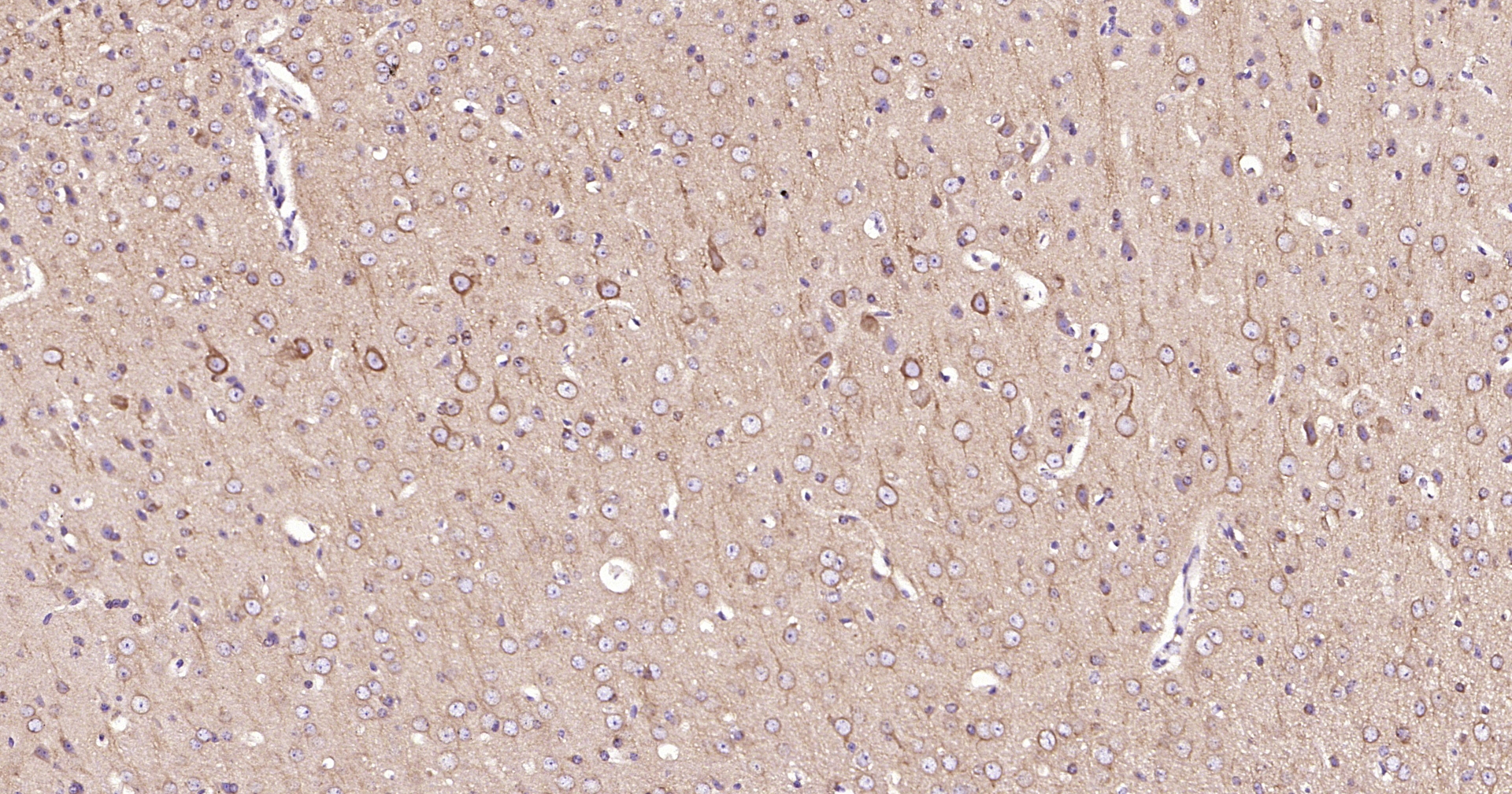
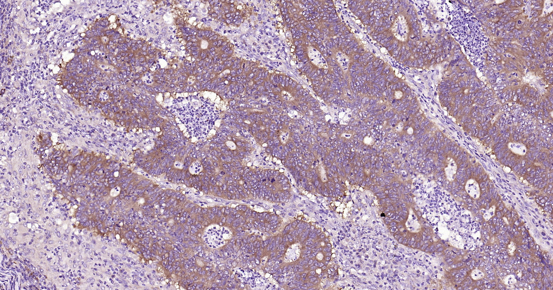
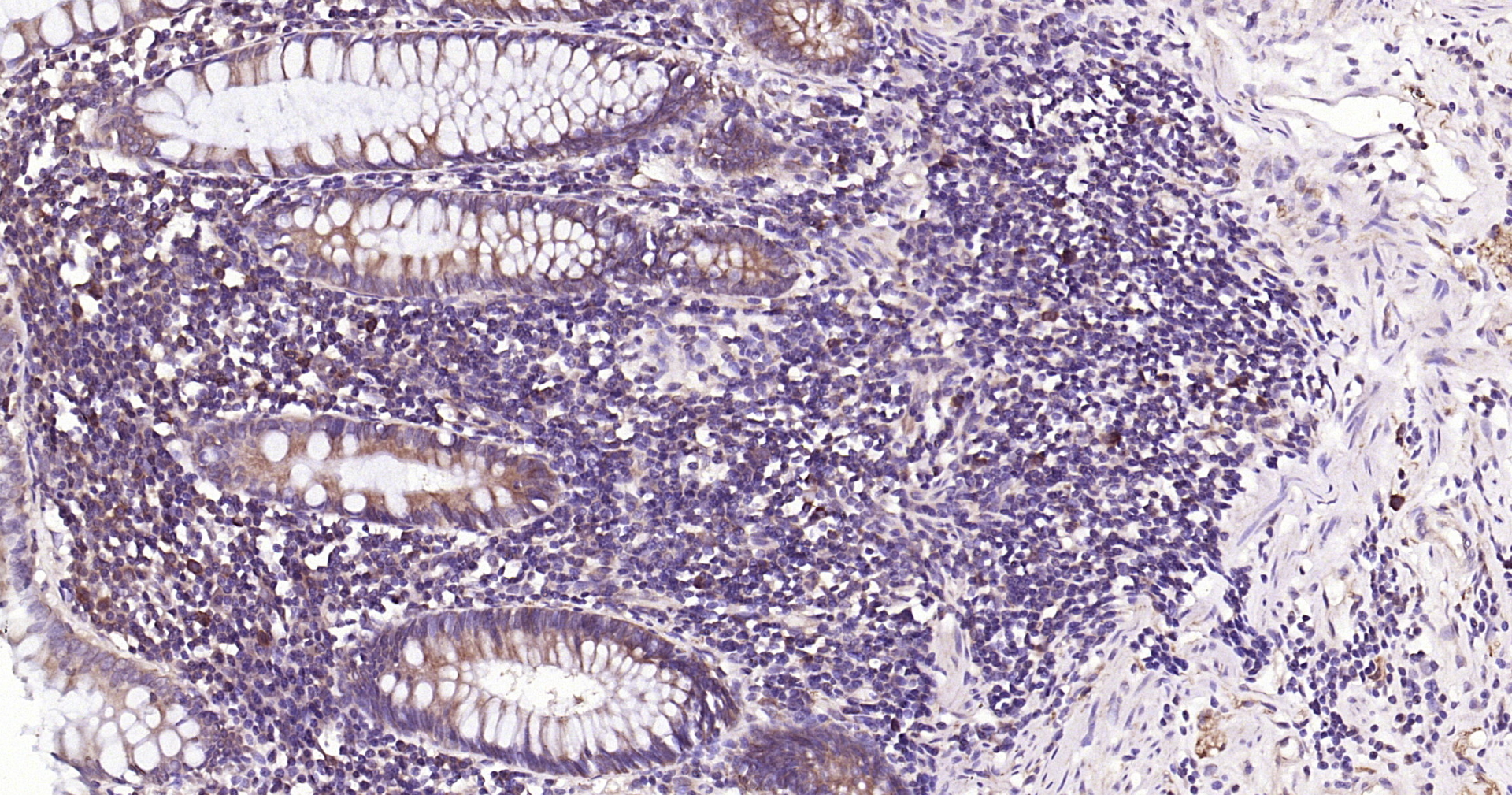
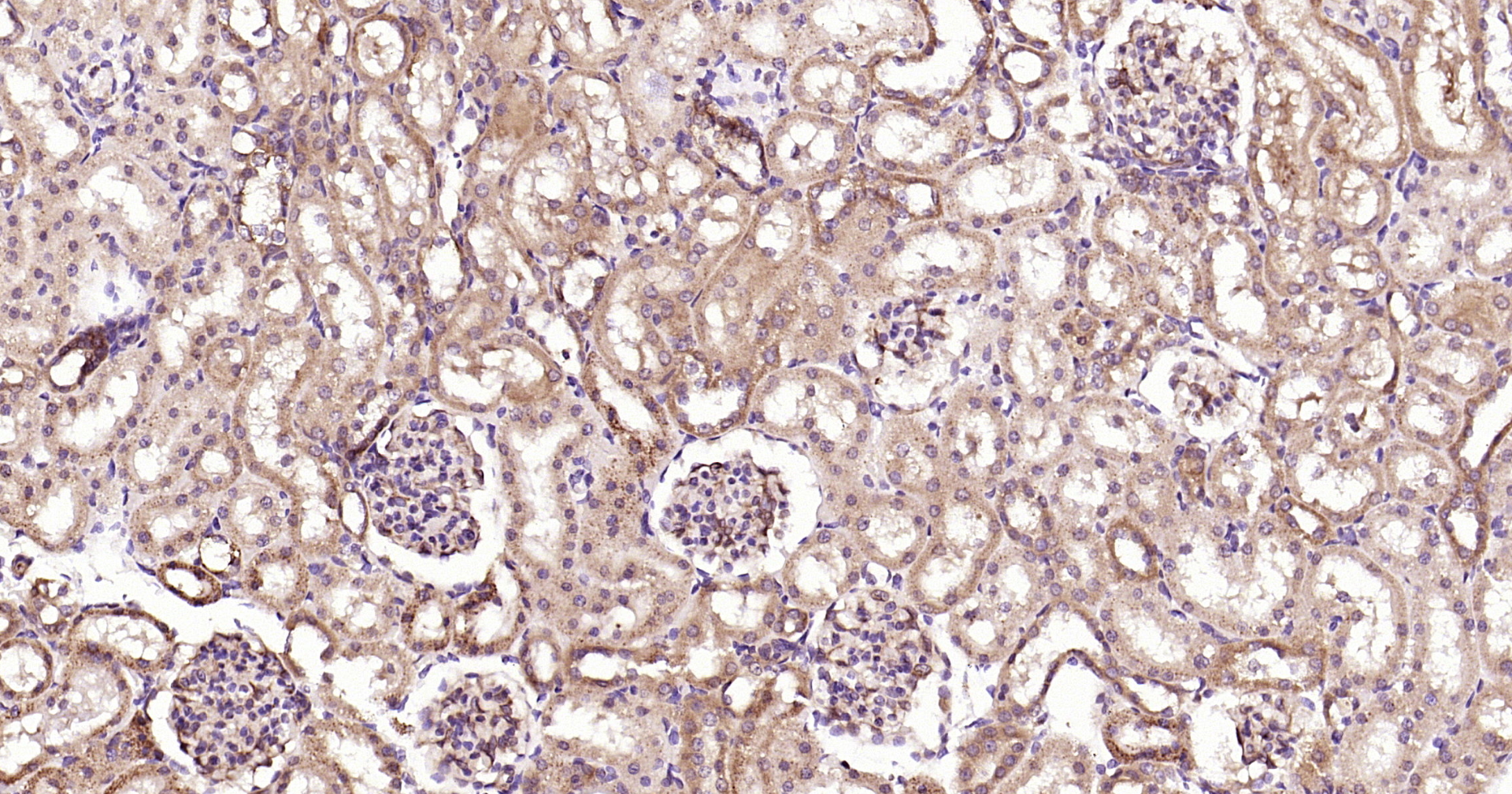
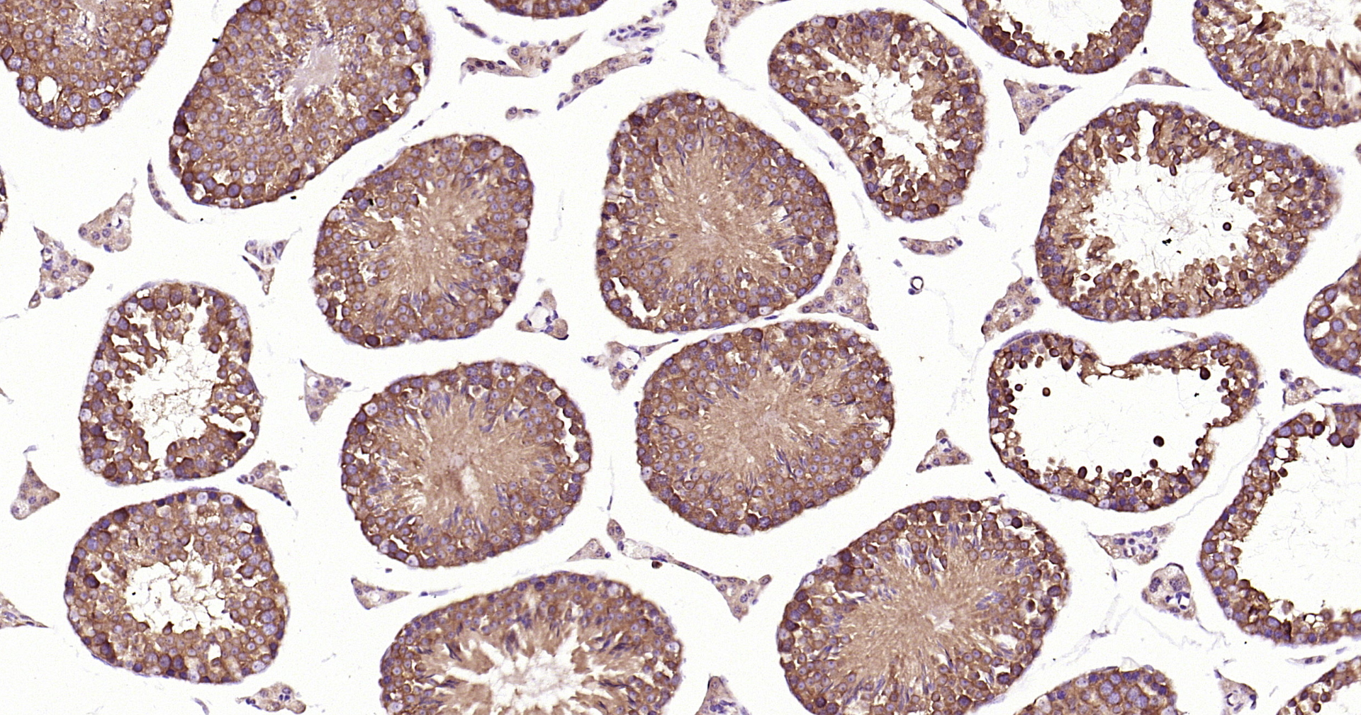
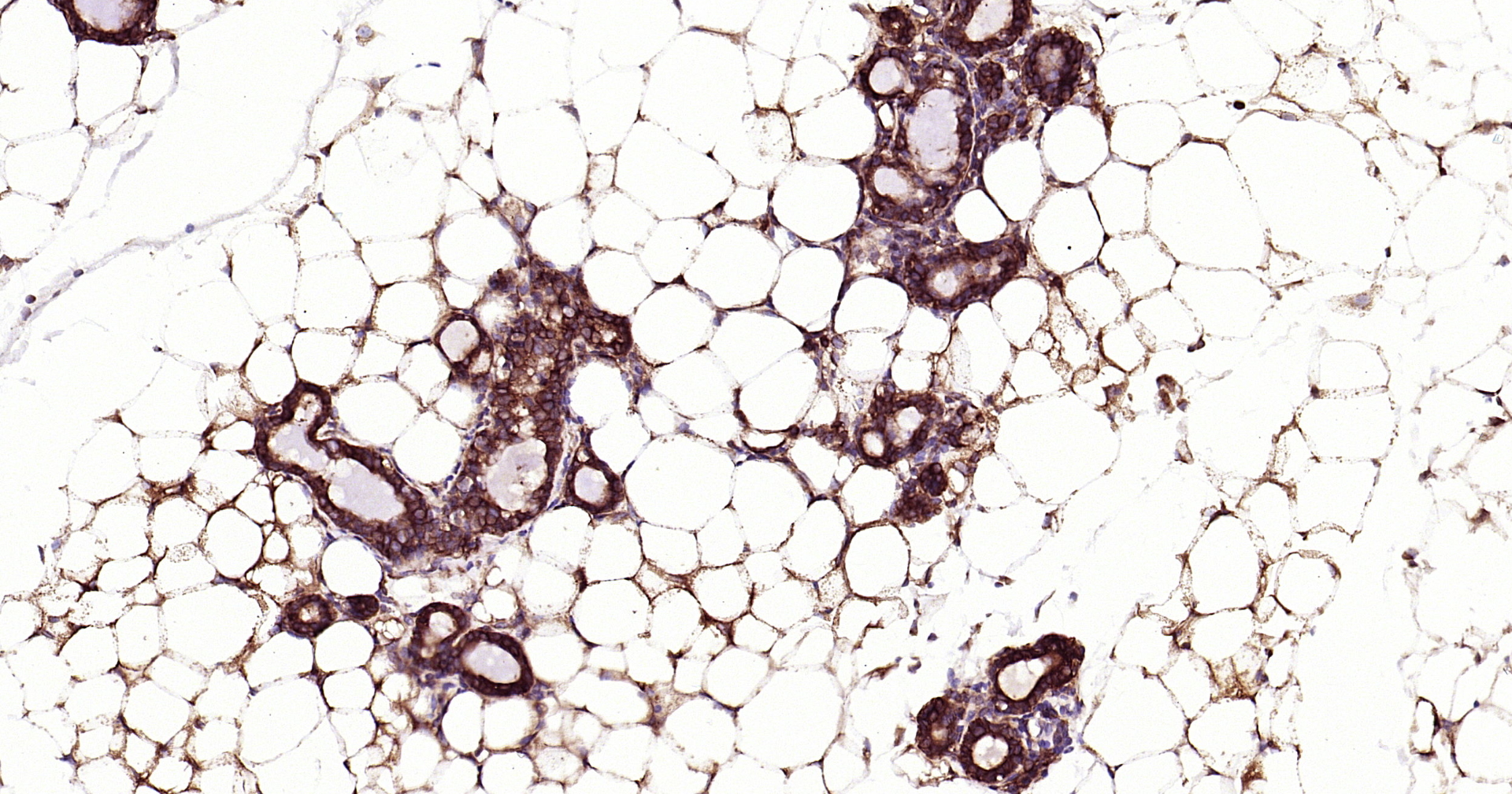
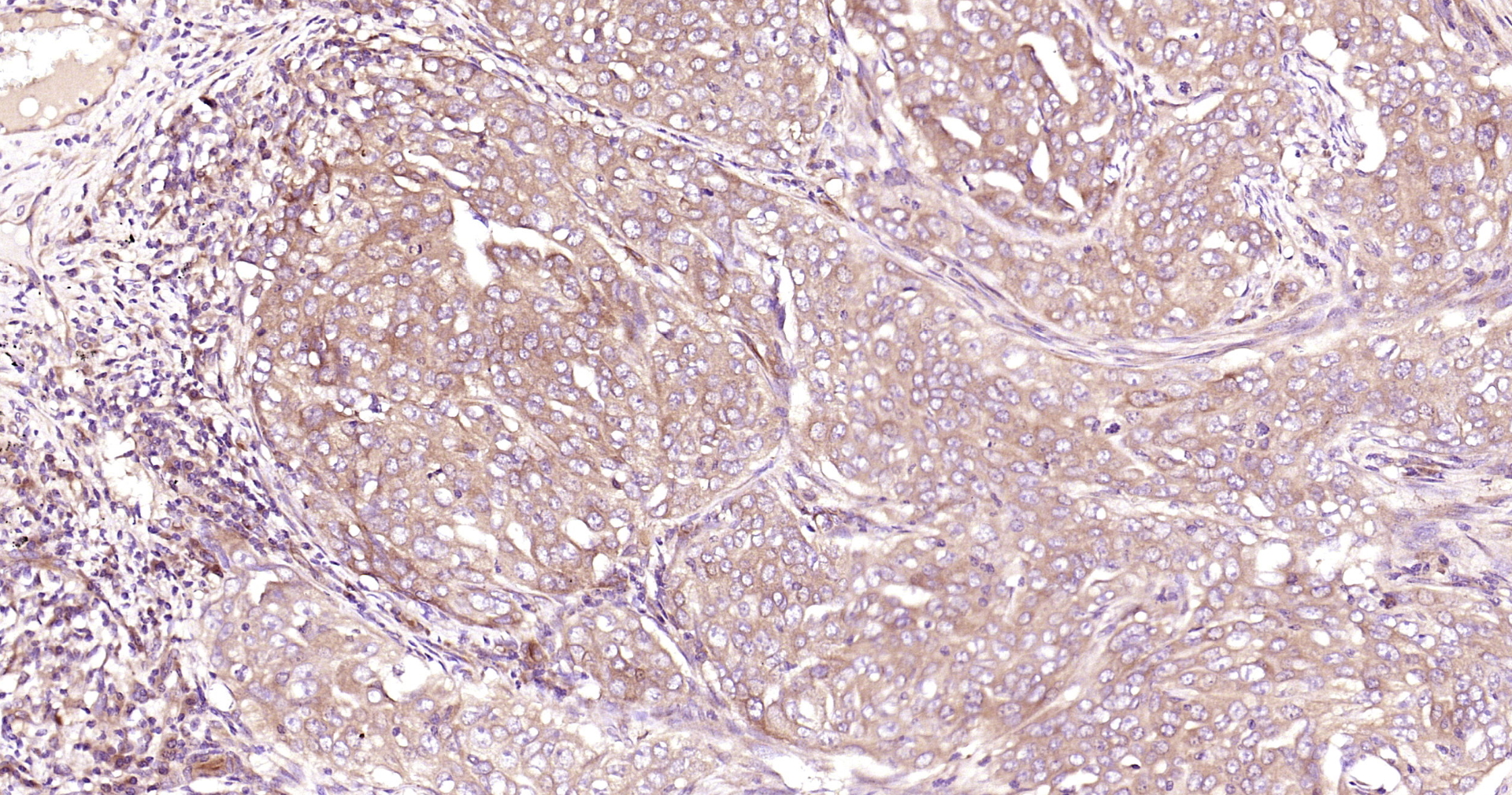
Product Name Hsp90 alpha Recombinant Antibody
Applications WB, IHC-P, IHC-F, IF, ICC/IF
Reactivity Human, Mouse, Rat
Specifications
Conjugation Unconjugated
Host Rabbit
Source Full length protein
Clonality Recombinant
Isotype IgG
Concentration Lot dependent
Purification Purified by Protein A.
Storage Buffer 0.01M TBS (pH 7.4), 1% BSA, 0.02% Proclin 300, and 50% Glycerol
Storage Condition Shipped at 4°. Store at -20°C for one year. Avoid repeated freeze/thaw cycles.
Target
Gene ID 3320
Swiss Prot P07900
Synonyms Heat shock protein HSP 90-alpha, Heat shock 86 kDa, Lipopolysaccharide-associated protein 2, Renal carcinoma antigen NY-REN-38, HSP 86, HSP86, LAP-2, LPS-associated protein 2, HSP90AA1
Background Molecular chaperone that promotes the maturation, structural maintenance and proper regulation of specific target proteins involved for instance in cell cycle control and signal transduction. Undergoes a functional cycle that is linked to its ATPase activity. This cycle probably induces conformational changes in the client proteins, thereby causing their activation. Interacts dynamically with various co-chaperones that modulate its substrate recognition, ATPase cycle and chaperone function. Binds bacterial lipopolysaccharide (LPS) et mediates LPS-induced inflammatory response, including TNF secretion by monocytes.
Application Dilution
WB 1:1000-5000
IHC-P 1:200-500
IHC-F 1:200-500
IF 1:200-500
ICC/IF 1:100-200