Receive 30% off all Monoclonal IHC antibodies with code "MONO-IHC-30"! Offer valid for US customers and available internationally through distributors.

MMP14 Recombinant Antibody

Applications

  • WB
  • IHC-P
  • IHC-F
  • IP
  • IF
  • Flow-Cyt
  • ICC/IF

Reactivity

  • Human
  • Mouse
  • Rat
Overview
Catalog # bsm-52373r-TR
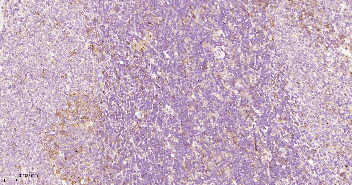
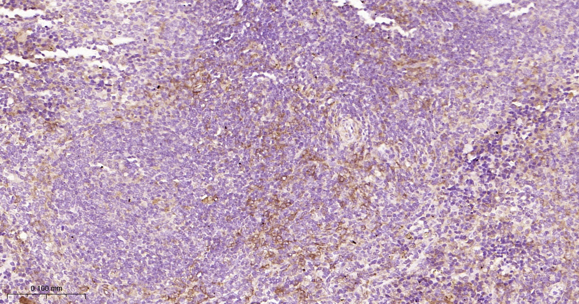
Product Name MMP14 Recombinant Antibody
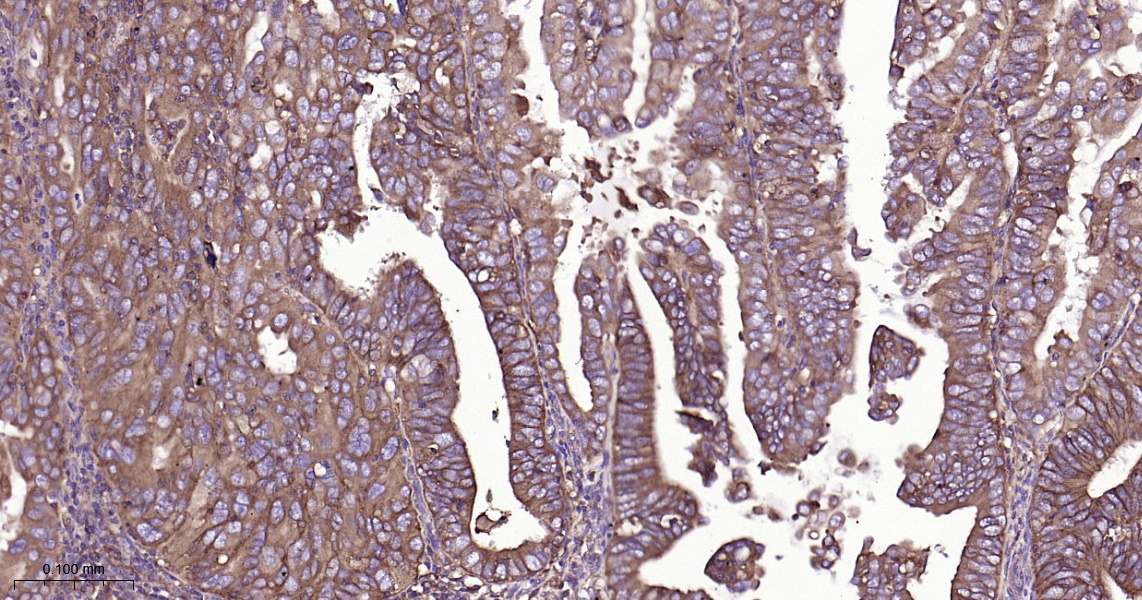
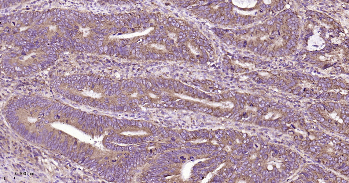
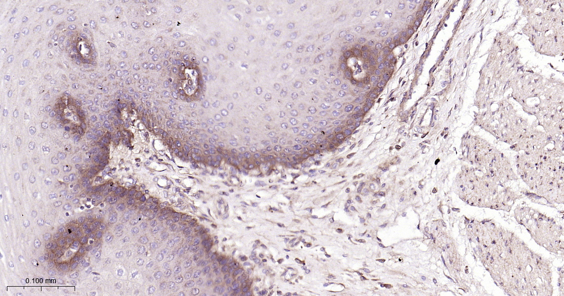
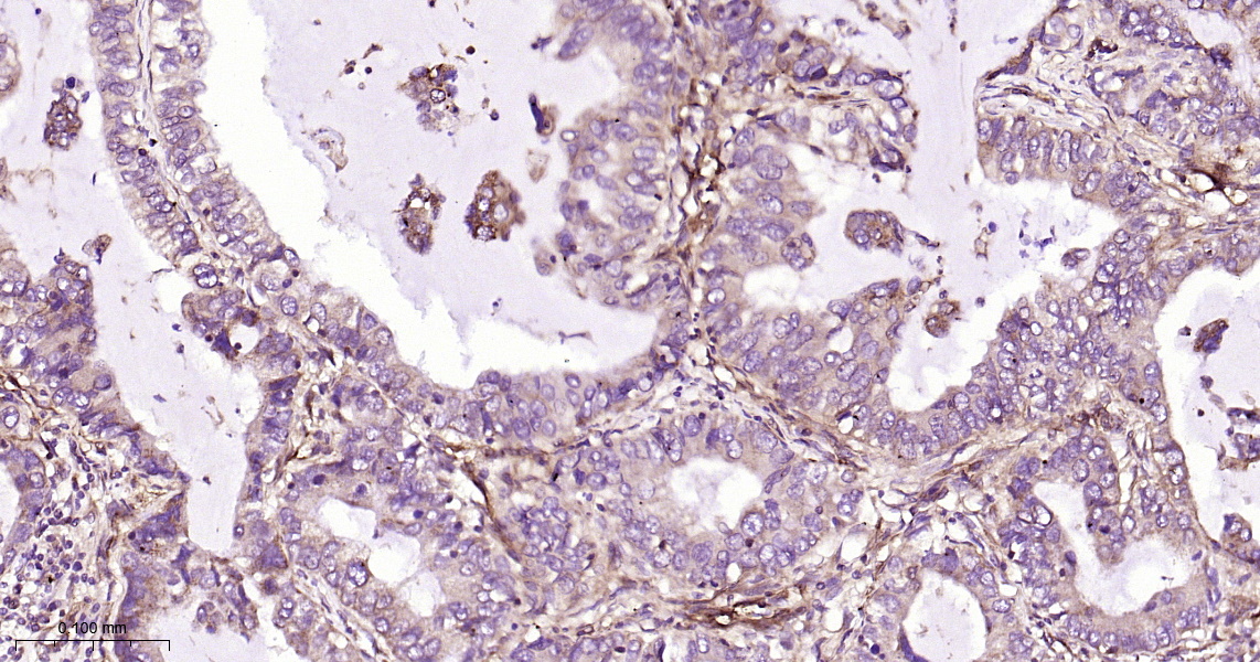
Applications WB, IHC-P, IHC-F, IP, IF, Flow-Cyt, ICC/IF
Reactivity Human, Mouse, Rat
Specifications
Conjugation Unconjugated
Host Rabbit
Source Recombinant human MMP14 between 150 to 250 amino acids
Clonality Recombinant
Isotype IgG
Concentration Lot dependent
Purification Purified by Protein A.
Storage Buffer 0.01M TBS (pH 7.4), 1% BSA, 0.02% Proclin 300, and 50% Glycerol
Storage Condition Shipped at 4C. Store at -20C for one year. Avoid repeated freeze/thaw cycles.
Target
Gene ID 4323
Swiss Prot P50281
Synonyms Matrix metalloproteinase-14, MMP-X1, Membrane-type matrix metalloproteinase 1, Membrane-type-1 matrix metalloproteinase, MMP-14, MTMMP1, MT1-MMP, MT1MMP, MT-MMP 1
Background Seems to specifically activate progelatinase A. May thus trigger invasion by tumor cells by activating progelatinase A on the tumor cell surface. May be involved in actin cytoskeleton reorganization by cleaving PTK7. Acts as a positive regulator of cell growth and migration via activation of MMP15. Involved in the formation of the fibrovascular tissues in association with pro-MMP2.
Application Dilution
WB 1:300-5000
IHC-P 1:200-400
IHC-F 1:100-500
IP 1-2ug
IF
Flow-Cyt 1ug/Test
ICC/IF 1:50-100