RECEIVE 25% OFF PUBLISHED ANTIBODIES WITH CODE "PUB25"! Offer valid for US customers and available internationally through distributors.

ITGB3 Recombinant Antibody

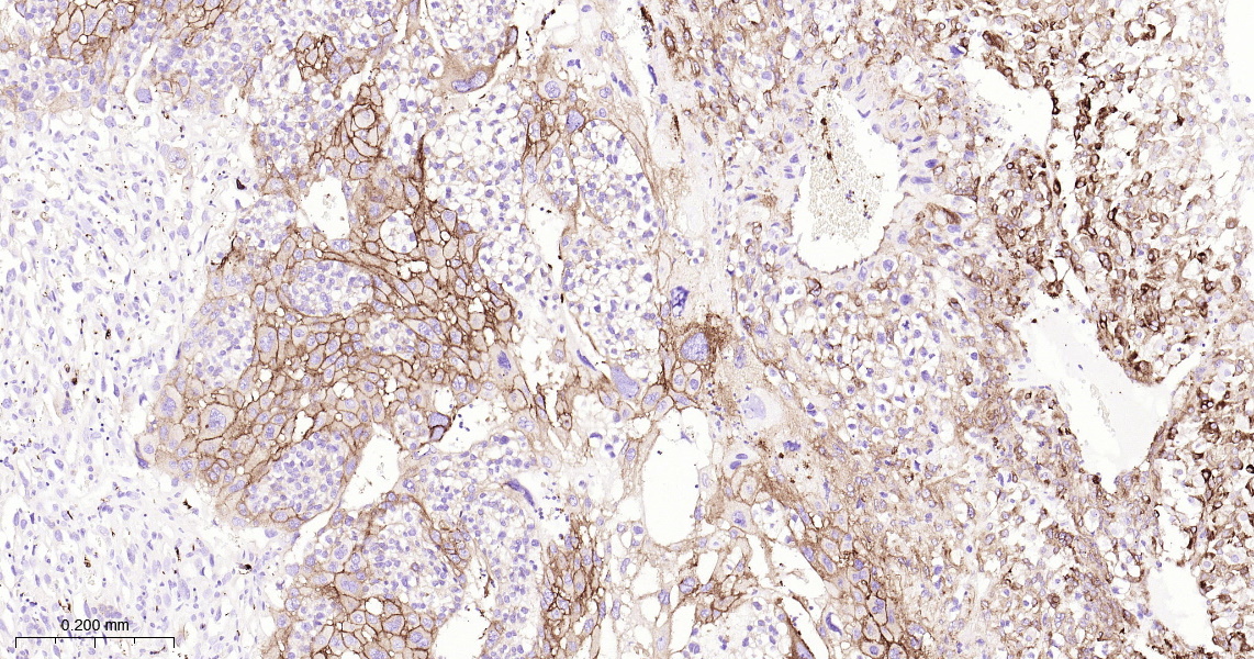
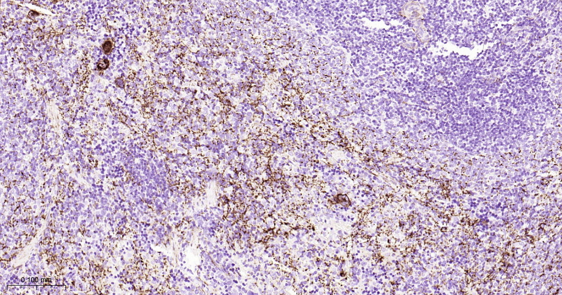
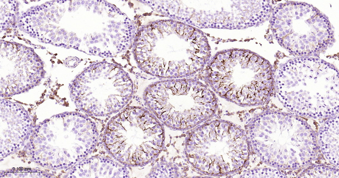
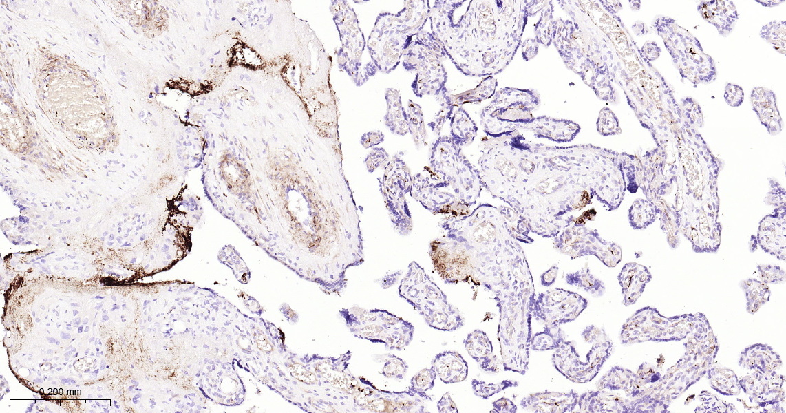
Applications

  • WB
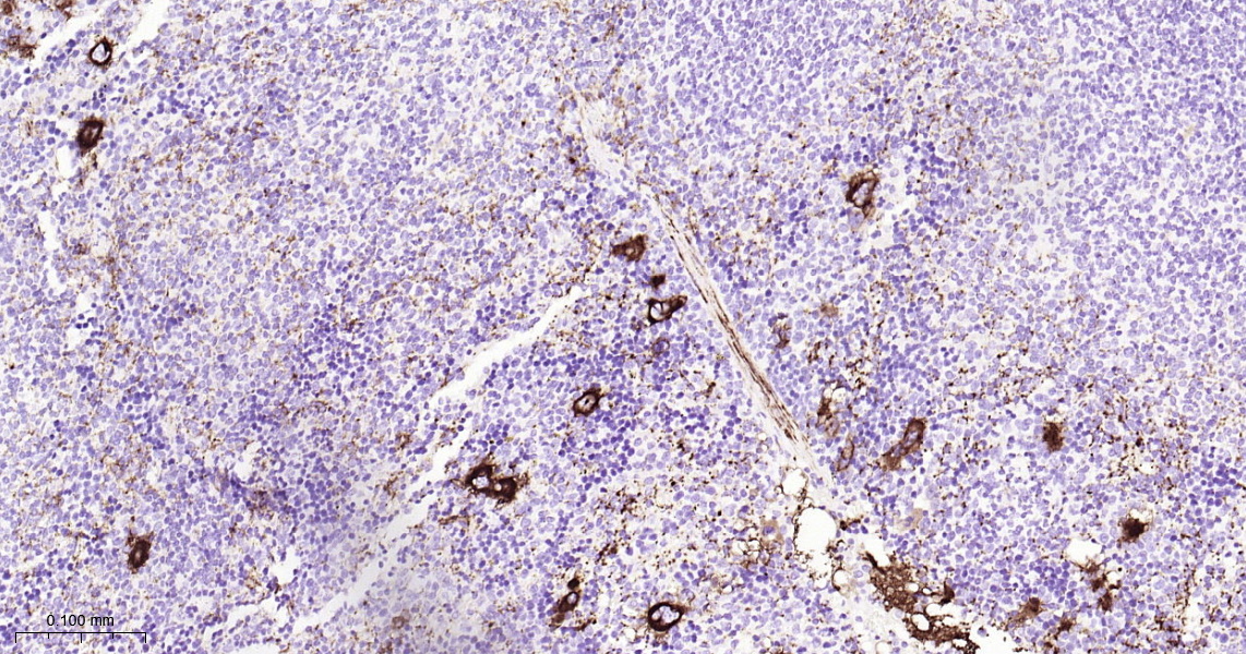
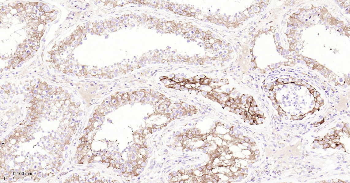
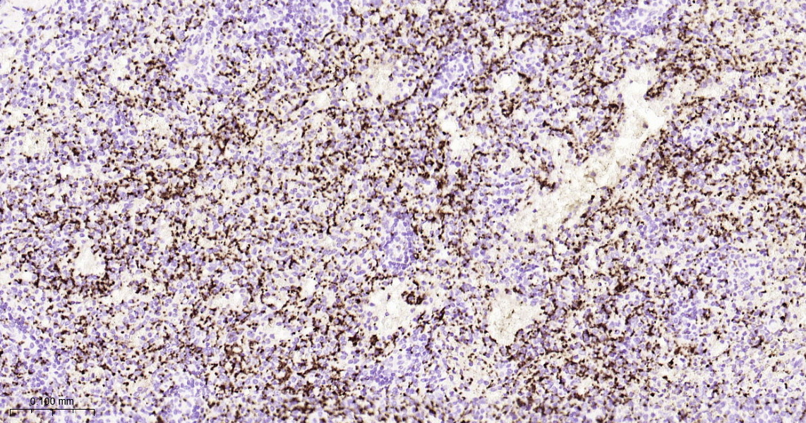
  • IHC-P
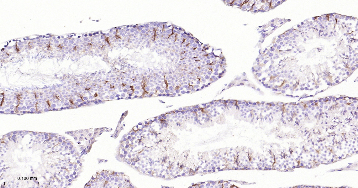
  • IHC-F
  • IF(IHC-P)

Reactivity

  • Human
  • Mouse
  • Rat
Overview
Catalog # bsm-52374r-100ul
Product Name ITGB3 Recombinant Antibody
Applications WB, IHC-P, IHC-F, IF(IHC-P)
Reactivity Human, Mouse, Rat
Specifications
Conjugation Unconjugated
Host Rabbit
Source A synthesized peptide derived from human Integrin beta 3
Clonality Recombinant
Isotype IgG
Concentration Lot dependent
Purification Purified by Protein A.
Storage Buffer 0.01M TBS(pH7.4) with 1% BSA, 0.02% Proclin300 and 50% Glycerol.
Storage Condition Shipped at 4C. Store at -20C for one year. Avoid repeated freeze/thaw cycles.
Target
Gene ID 3690
Swiss Prot P05106
Subcellular location Cell membrane
Synonyms Integrin beta-3; Integrin beta chain, β3 precursor; Integrin beta 3; CD 61; CD61; CD61 antigen; GP3A; GPIIIa; HPA 1; HPA 4; Integrin beta 3(platelet glycoprotein IIIa antigen CD61); Integrin beta chain beta 3; ITG B3; ITGB 3; NAIT; Platelet fibrinogen receptor beta subunit; Platelet glycoprotein IIIa; platelet glycoprotein IIIa precursor; Platelet membrane glycoprotein IIIa; PTP; ITB3_HUMAN.
Application Dilution
WB 1:500-2000
IHC-P IHC-P1:100-500
IHC-F IHC-F1:100-500
IF(IHC-P) IFIHC-P1:100-500