RECEIVE 25% OFF PUBLISHED ANTIBODIES WITH CODE "PUB25"! Offer valid for US customers and available internationally through distributors.

N Cadherin Recombinant Antibody

Applications

  • WB
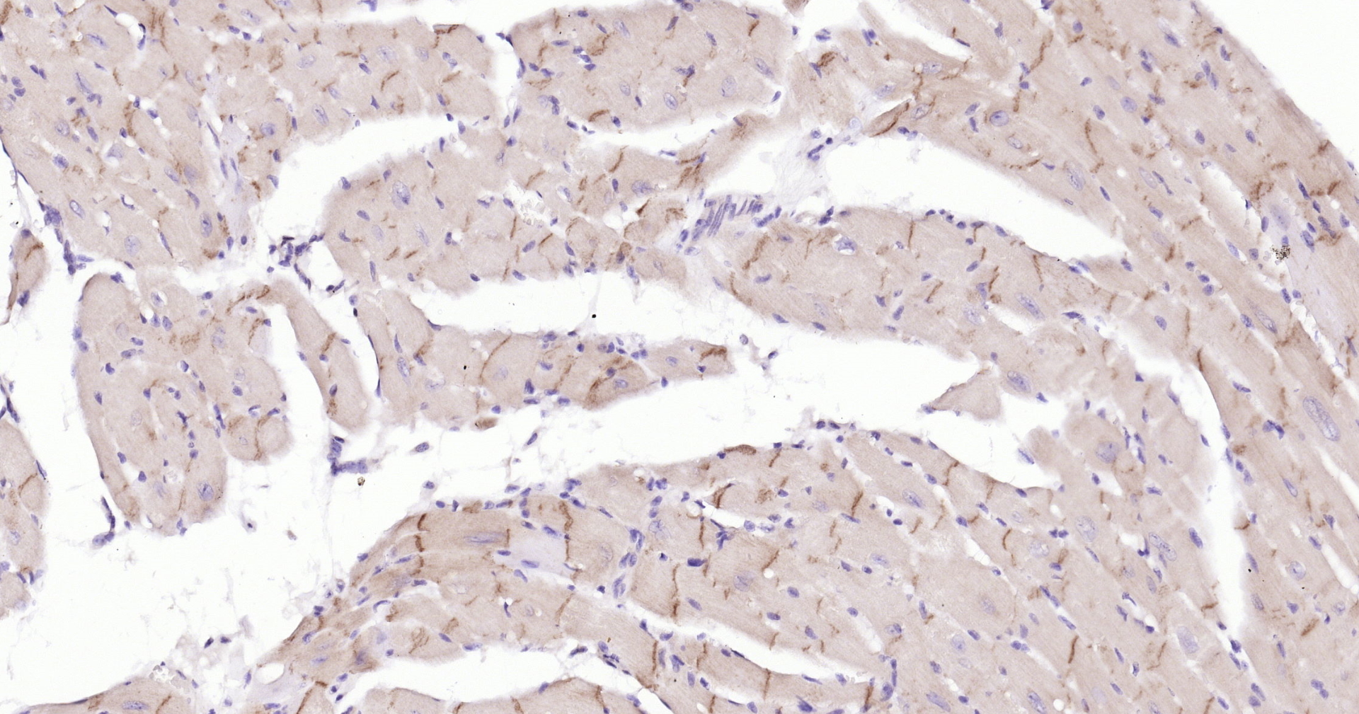
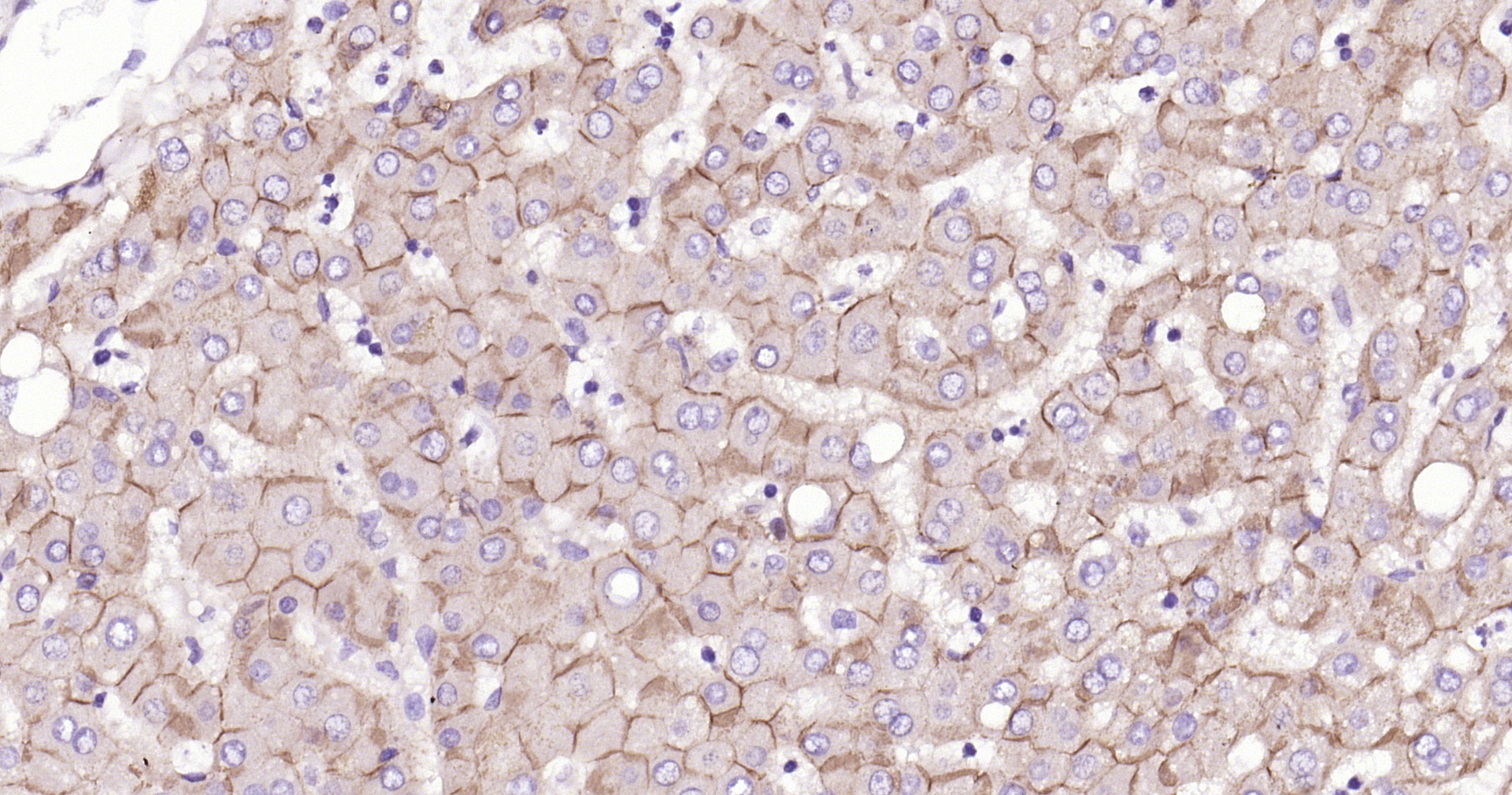
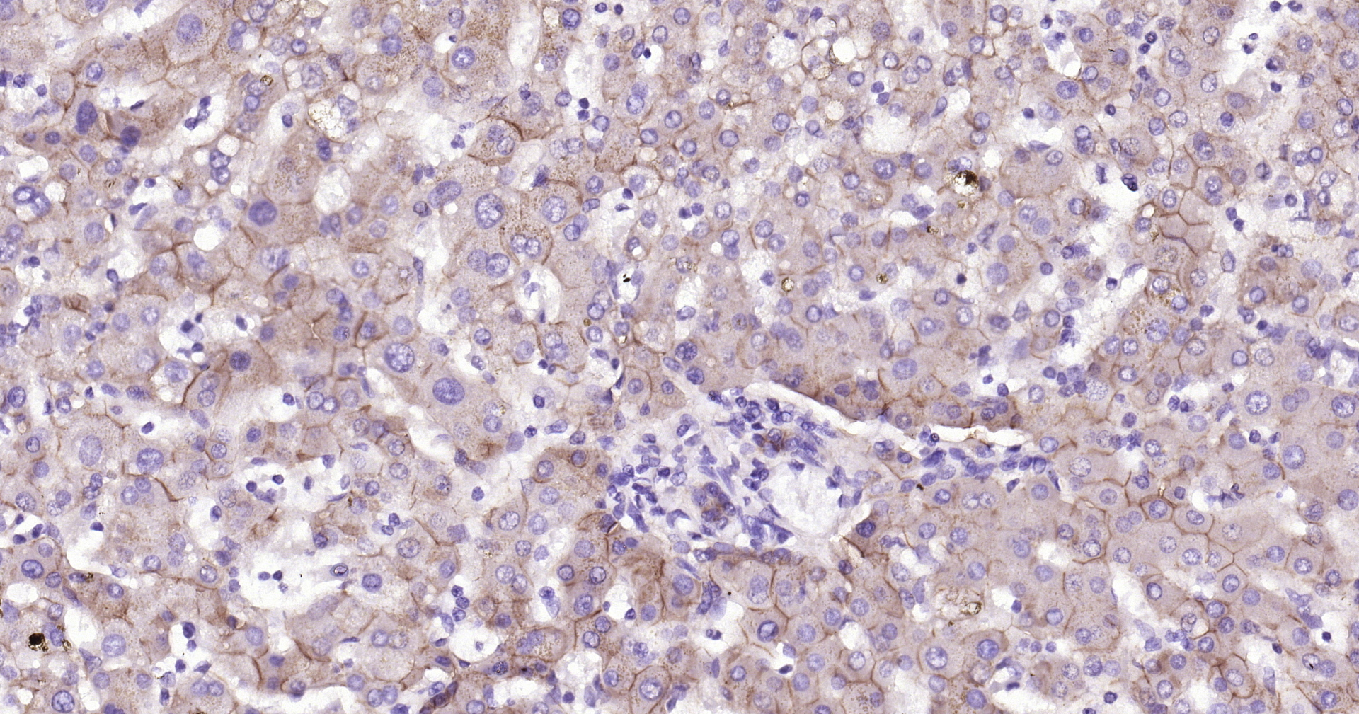
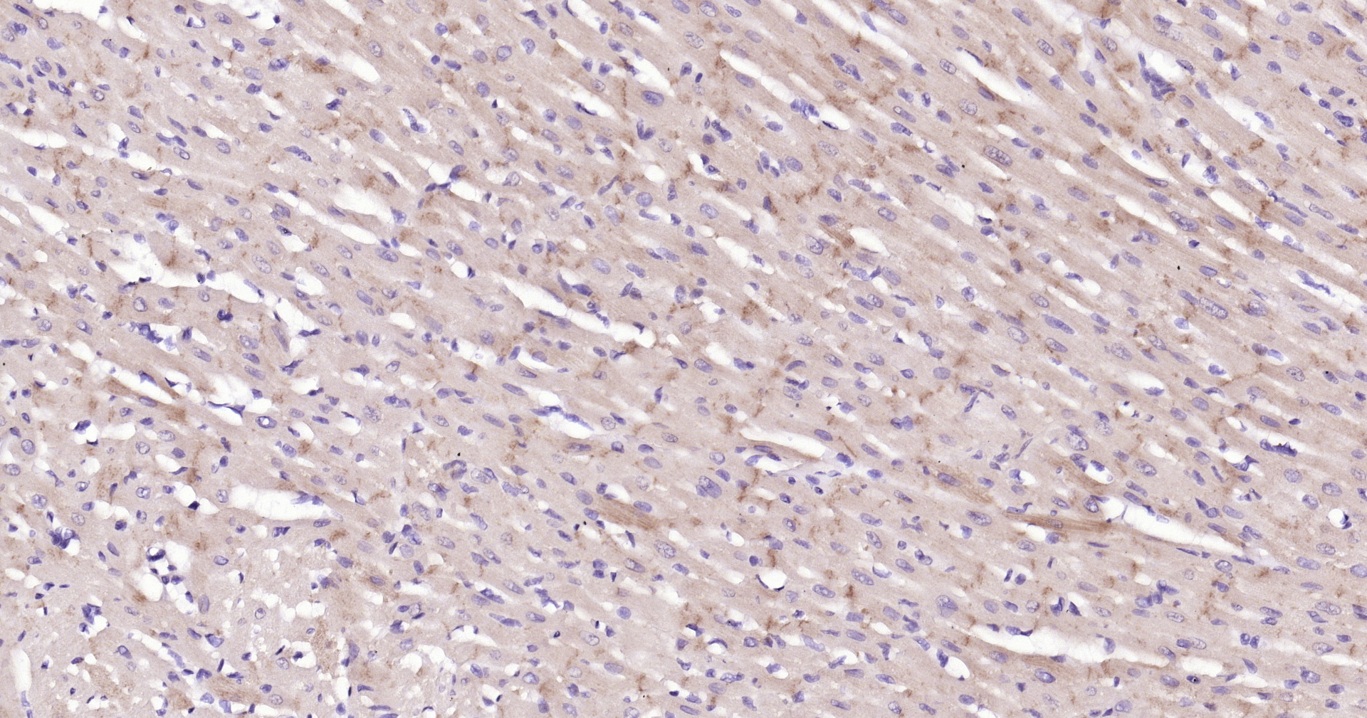
  • IHC-P
  • IHC-F
  • IF(IHC-P)

Reactivity

  • Human
  • Mouse
  • Rat
Overview
Catalog # bsm-52389r-TR
Product Name N Cadherin Recombinant Antibody
Applications WB, IHC-P, IHC-F, IF(IHC-P)
Reactivity Human, Mouse, Rat
Specifications
Conjugation Unconjugated
Host Rabbit
Source Recombinant human N Cadherin between 150 to 250 amino acids
Clonality Recombinant
Isotype IgG
Concentration Lot dependent
Purification Purified by Protein A.
Storage Buffer 0.01M TBS (pH 7.4), 1% BSA, 0.02% Proclin 300, and 50% Glycerol
Storage Condition Store at -20°C for 12 months.
Target
Gene ID 1000
Swiss Prot P19022
Synonyms Cadherin-2, CDw325, Neural cadherin, CD_antigen: CD325, N-cadherin, CDH2
Background Cadherins are calcium-dependent cell adhesion proteins. They preferentially interact with themselves in a homophilic manner in connecting cells; cadherins may thus contribute to the sorting of heterogeneous cell types. Acts as a regulator of neural stem cells quiescence by mediating anchorage of neural stem cells to ependymocytes in the adult subependymal zone: upon cleavage by MMP24, CDH2-mediated anchorage is affected, leading to modulate neural stem cell quiescence. CDH2 may be involved in neuronal recognition mechanism. In hippocampal neurons, may regulate dendritic spine density (By similarity).
Application Dilution
WB 1:500-2000
IHC-P IHC-P1:50-200
IHC-F IHC-F1:50-200
IF(IHC-P) IFIHC-P1:50-200