Receive 30% off all Monoclonal IHC antibodies with code "MONO-IHC-30"! Offer valid for US customers and available internationally through distributors.

alpha smooth muscle Actin Recombinant Antibody

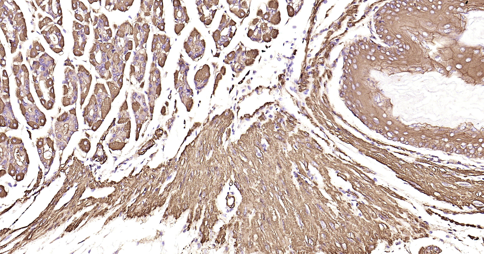
Applications

  • WB
  • FCM
  • IHC-P
  • IF(IHC-P)
  • IF(ICC)

Reactivity

  • Human
  • Mouse
  • Rat

Predicted Reactivity

  • Zebrafish
Overview
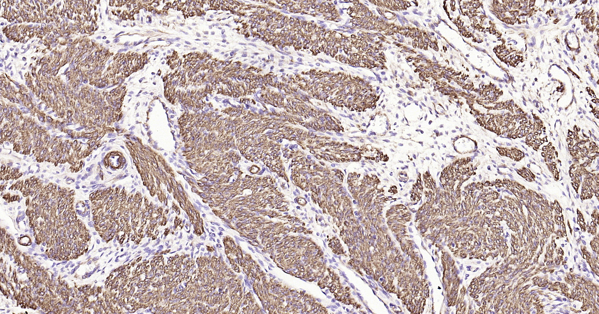
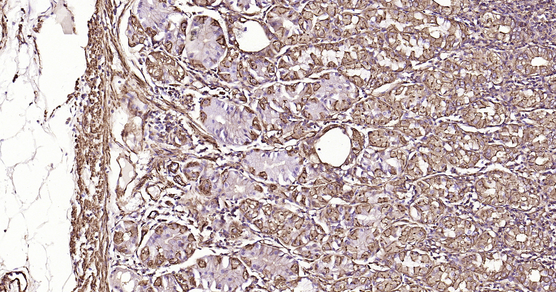
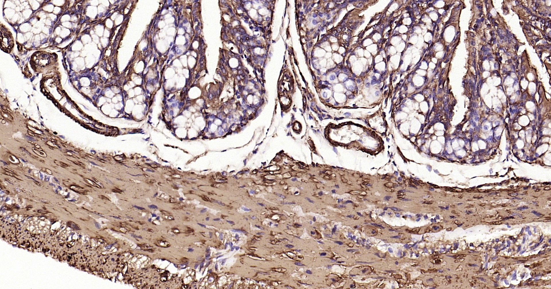
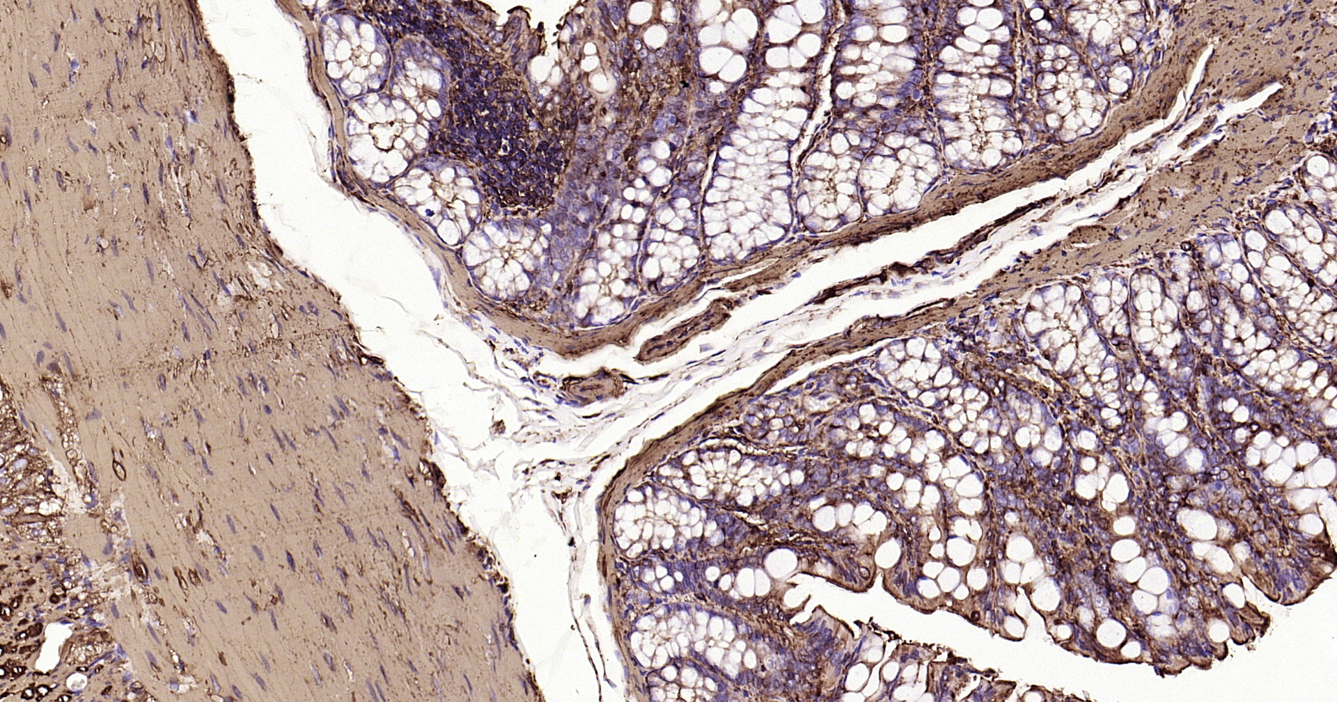
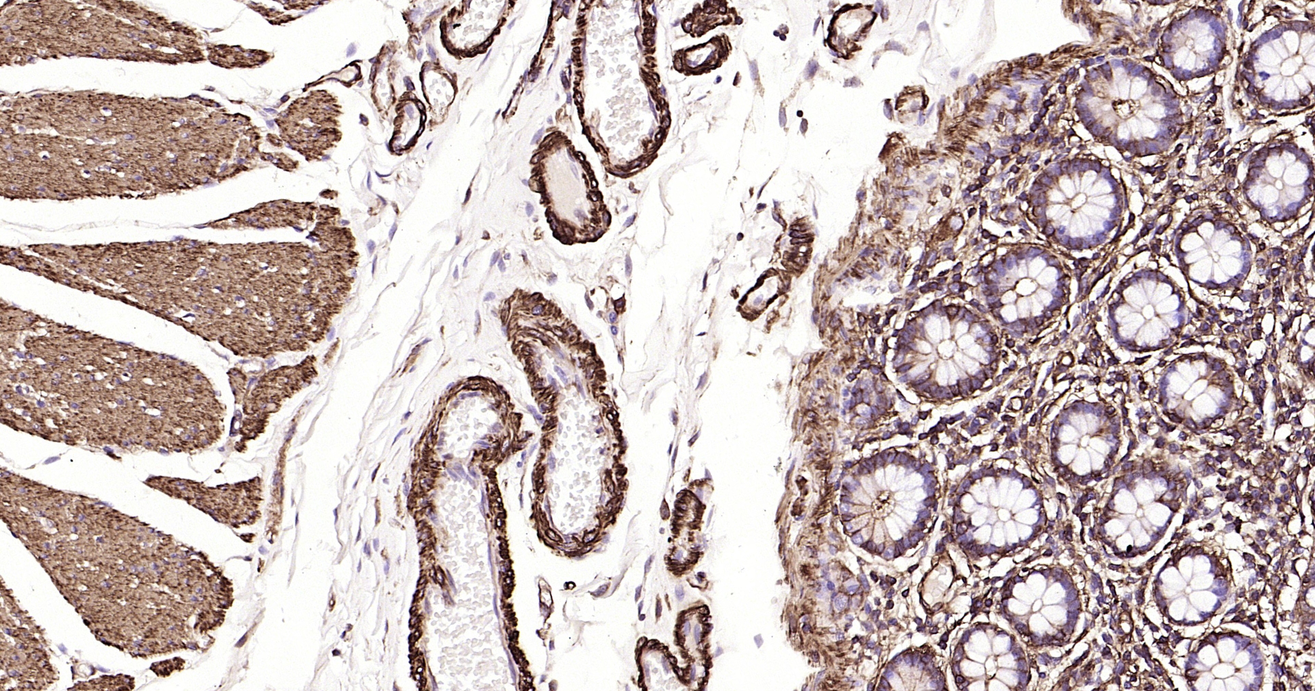
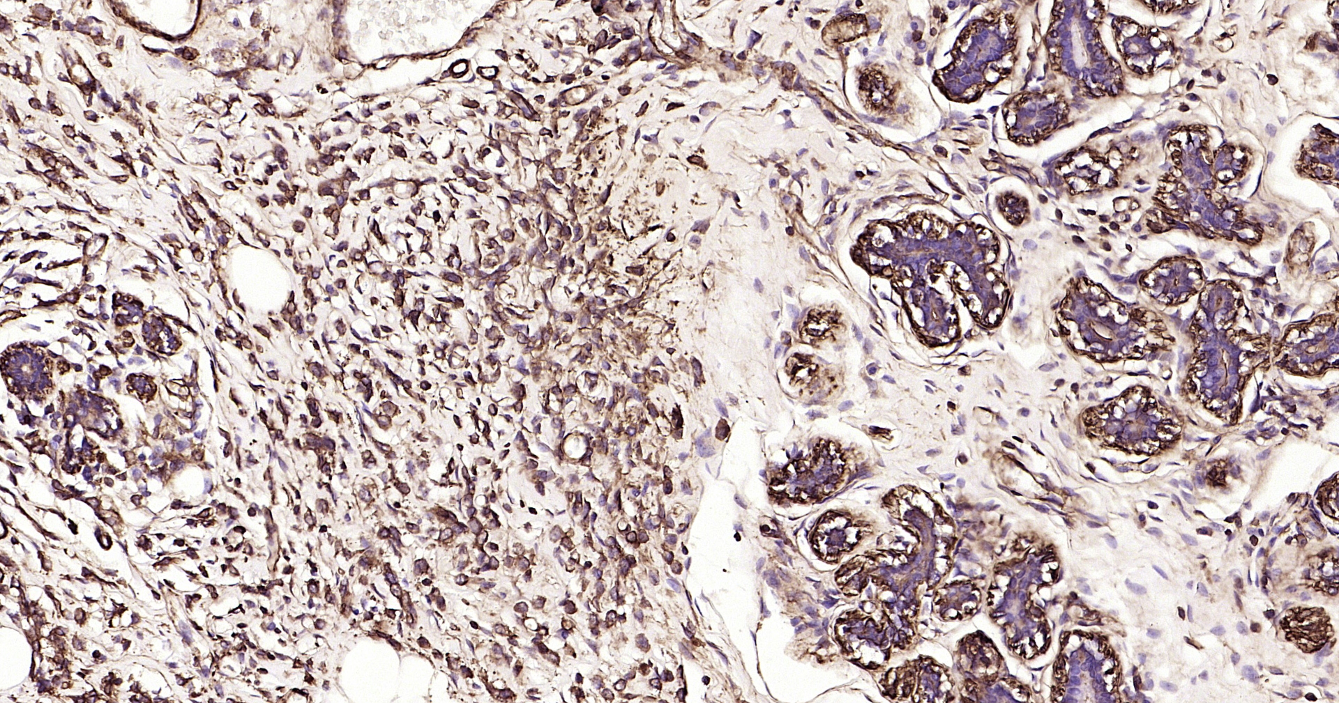
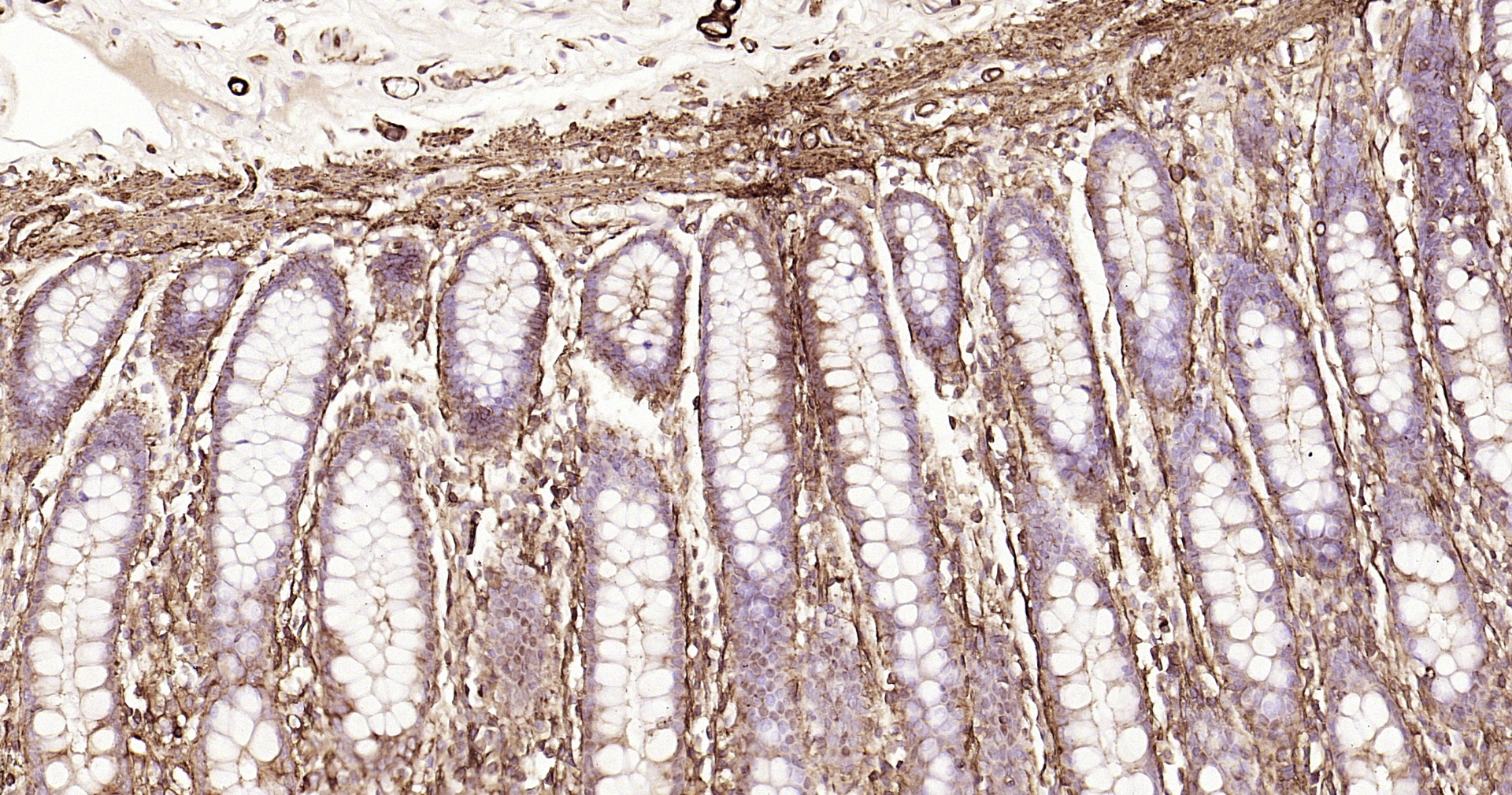
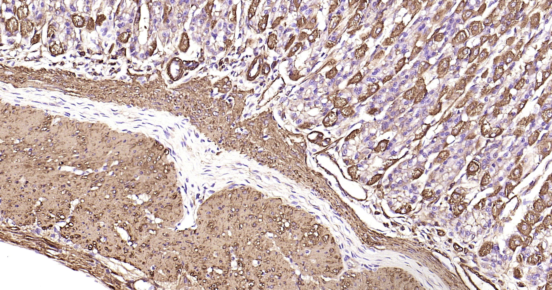
Catalog # bsm-52396r
Product Name alpha smooth muscle Actin Recombinant Antibody
Applications WB, FCM, IHC-P, IF(IHC-P), IF(ICC)
Reactivity Human, Mouse, Rat
Predicted Reactivity Zebrafish
Specifications
Conjugation Unconjugated
Host Rabbit
Source Recombinant human ACTA2 between 1 to 200
Clonality Recombinant
Isotype IgG
Concentration 1ug/ul
Purification Purified by Protein A.
Storage Buffer 0.01M TBS (pH 7.4), 1% BSA, 0.02% Proclin 300, and 50% Glycerol
Storage Condition Shipped at 4C. Store at -20C for one year. Avoid repeated freeze/thaw cycles.
Target
Gene ID 59
Swiss Prot P62736
Subcellular location Cytoskeleton
Synonyms Actin aortic smooth muscle; Alpha-actin-2; Cell growth-inhibiting gene 46 protein; ACTA2; alpha smooth muscle Actin
Background Actins are highly conserved proteins that are involved in various types of cell motility and are ubiquitously expressed in all eukaryotic cells.
Application Dilution
WB 1:300-5000
FCM 1:20-100
IHC-P 1:200-400
IF(IHC-P) 1:50-200
IF(ICC) 1:50-200