Receive 30% off all Monoclonal IHC antibodies with code "MONO-IHC-30"! Offer valid for US customers and available internationally through distributors.

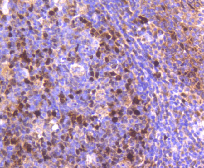
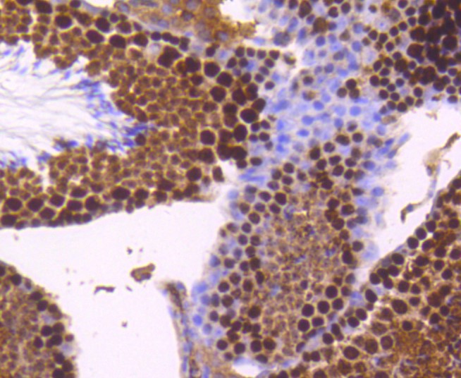
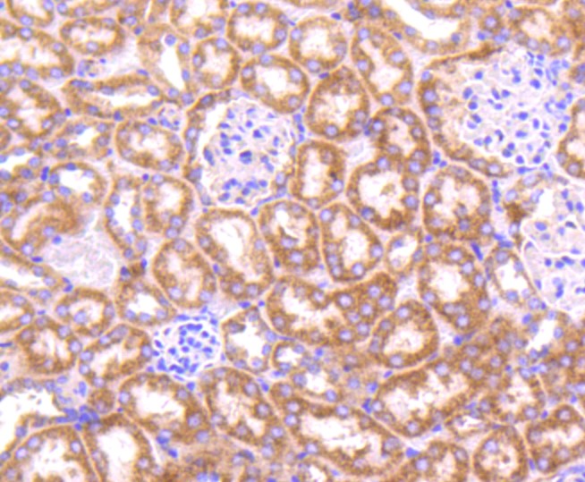
Topoisomerase II alpha (3F10) Monoclonal Antibody

Applications

  • WB
  • IHC-P
  • IHC

Reactivity

  • Human
  • Mouse
  • Rat
Overview
Catalog # bsm-52398R
Product Name Topoisomerase II alpha (3F10) Monoclonal Antibody
Applications WB, IHC-P, IHC
Reactivity Human, Mouse, Rat
Specifications
Conjugation Unconjugated
Host Rabbit
Source Recombinant human Topoisomerase II beta between 50 to 150 amino acids
Clonality Monoclonal
Clone # #REF!
Isotype IgG
Concentration 1ug/ul
Purification Purified by Protein A.
Storage Buffer 0.01M TBS(pH7.4) with 1% BSA, 0.02% Proclin300 and 50% Glycerol.
Storage Condition Store at -20C for 12 months.
Target
Gene ID 7153
Swiss Prot P11388
Synonyms DNA topoisomerase 2-alpha, DNA topoisomerase II, alpha isozyme, TOP2A, TOP2
Background Control of topological states of DNA by transient breakage and subsequent rejoining of DNA strands. Topoisomerase II makes double-strand breaks. Essential during mitosis and meiosis for proper segregation of daughter chromosomes. May play a role in regulating the period length of ARNTL/BMAL1 transcriptional oscillation (By similarity).
Application Dilution
WB 1:300-5000
IHC-P 1:200-400
IHC