RECEIVE 25% OFF PUBLISHED ANTIBODIES WITH CODE "PUB25"! Offer valid for US customers and available internationally through distributors.

YAP1 Recombinant Antibody

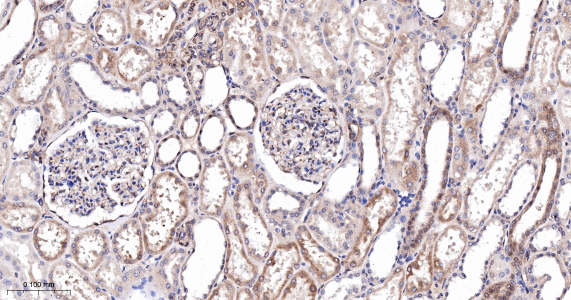
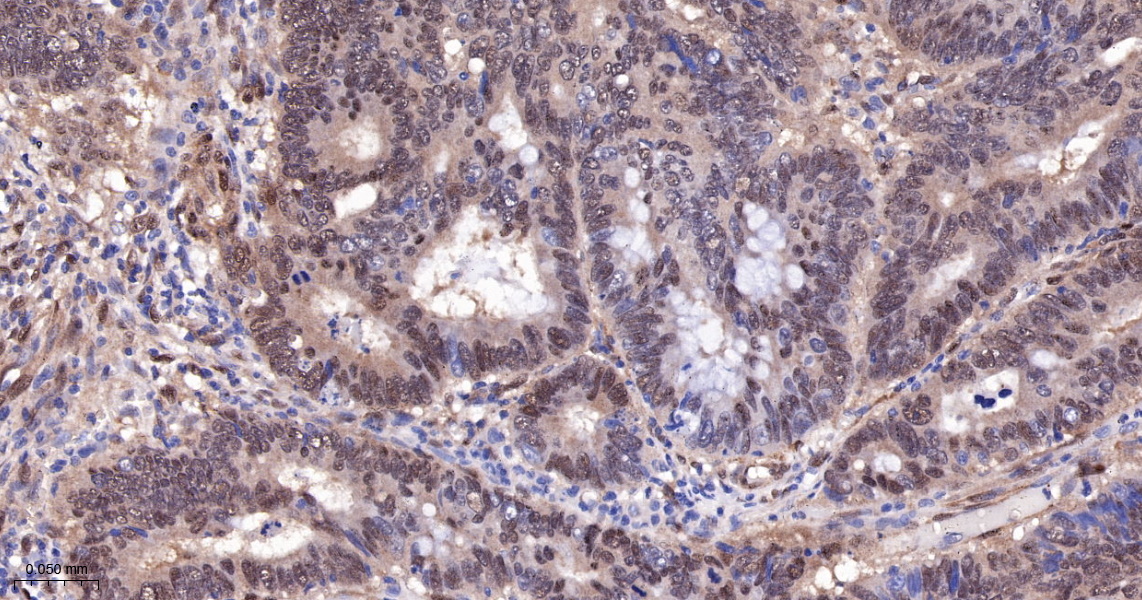
Applications

  • WB
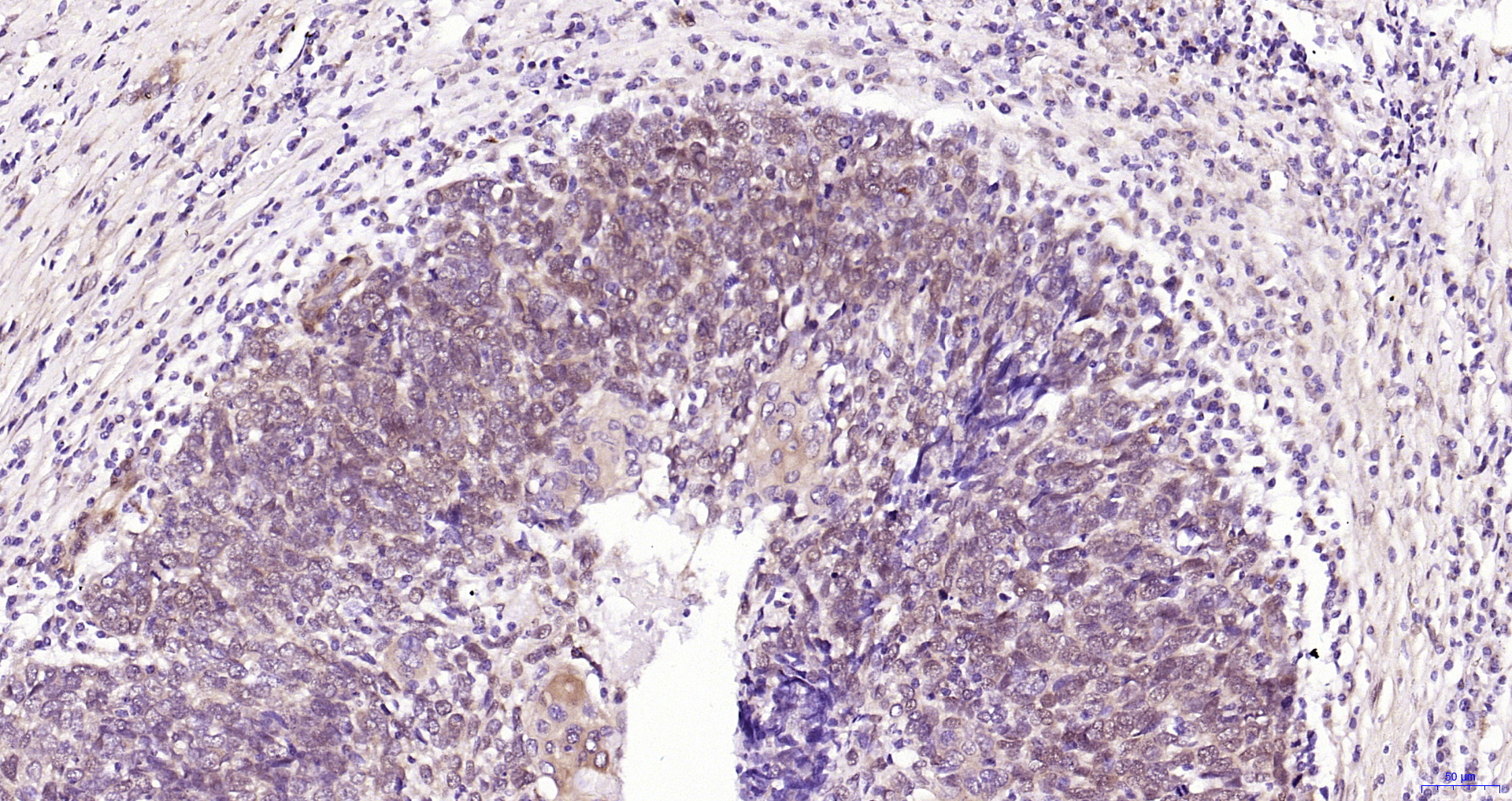
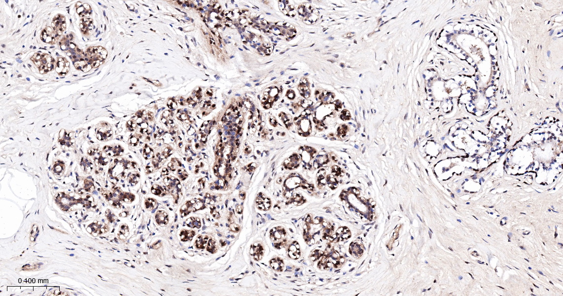
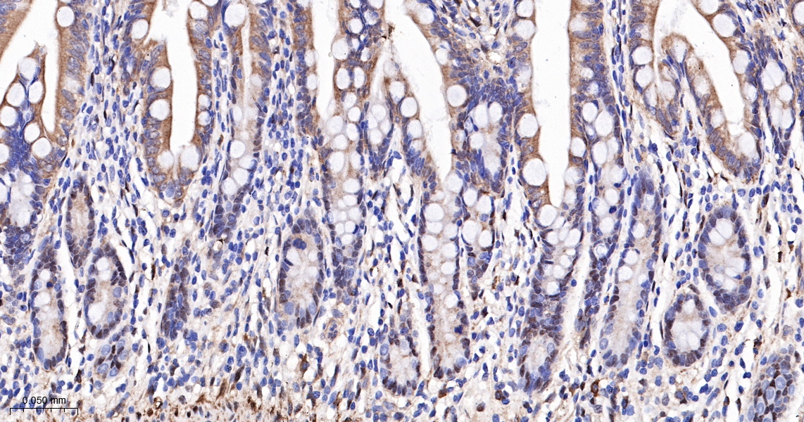
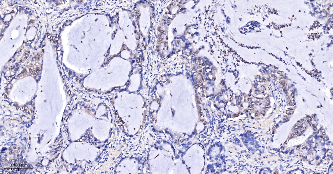
  • IHC-P
  • IHC-F
  • IF
  • Flow-Cyt

Reactivity

  • Human
Overview
Catalog # bsm-52418r
Product Name YAP1 Recombinant Antibody
Applications WB, IHC-P, IHC-F, IF, Flow-Cyt
Reactivity Human
Specifications
Conjugation Unconjugated
Host Rabbit
Source A synthesized peptide derived from human YAP1
Clonality Recombinant
Isotype IgG
Concentration 1mg/ml
Purification Purified by Protein A.
Storage Buffer 0.01M TBS (pH7.4) with 1% BSA, 0.02% Proclin300 and 50% Glycerol.
Storage Condition Shipped at 4C. Store at -20C for one year. Avoid repeated freeze/thaw cycles.
Target
Gene ID 10413
Swiss Prot P46937
Subcellular location Cytoplasm, Nucleus
Synonyms 65 kDa Yes associated protein; YAp 1; YAP 65; YAP; YAP2; YAP65; Yes associated protein 1 65kDa; Yes associated protein 1; Yes associated protein 2; YKI; Transcriptional coactivator YAP1; Yes-associated protein 1; Protein yorkie homolog; Yes-associated protein YAP65 homolog; YAP1_HUMAN.
Application Dilution
WB 1:300-5000
IHC-P 1:200-400
IHC-F 1:100-500
IF
Flow-Cyt 1ug/Test