| Overview |
| bsm-52419r |
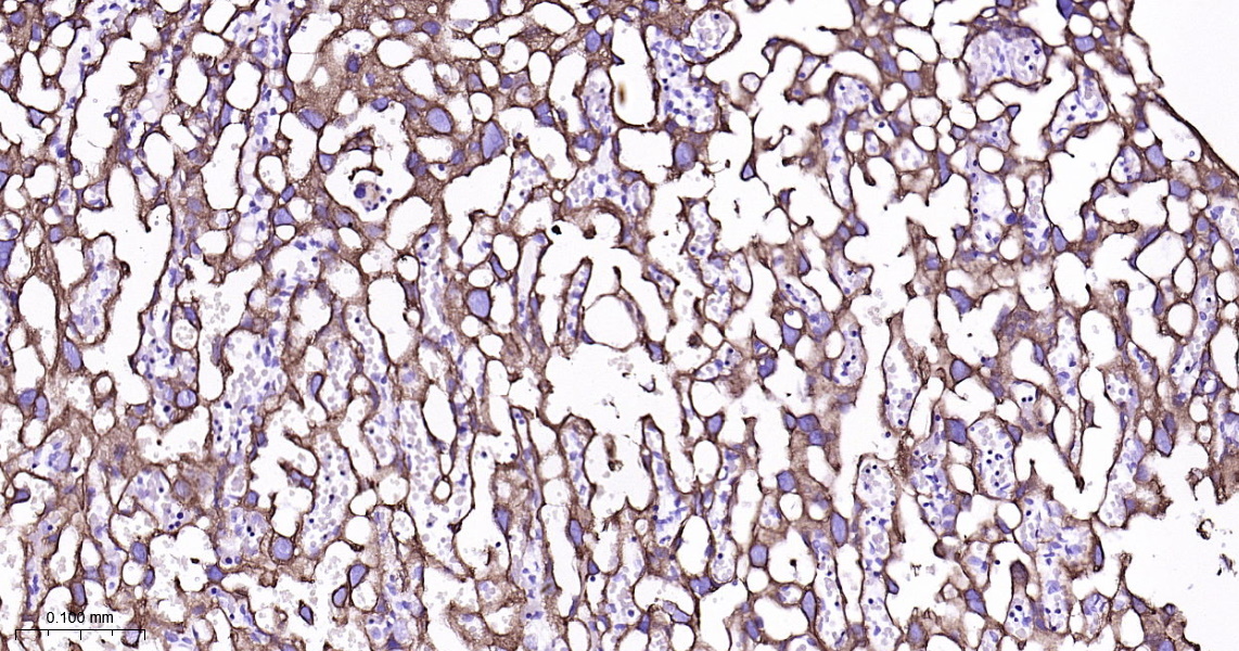
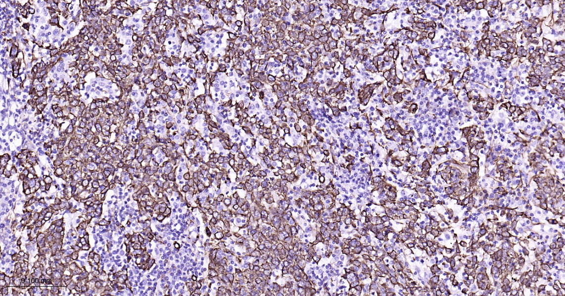
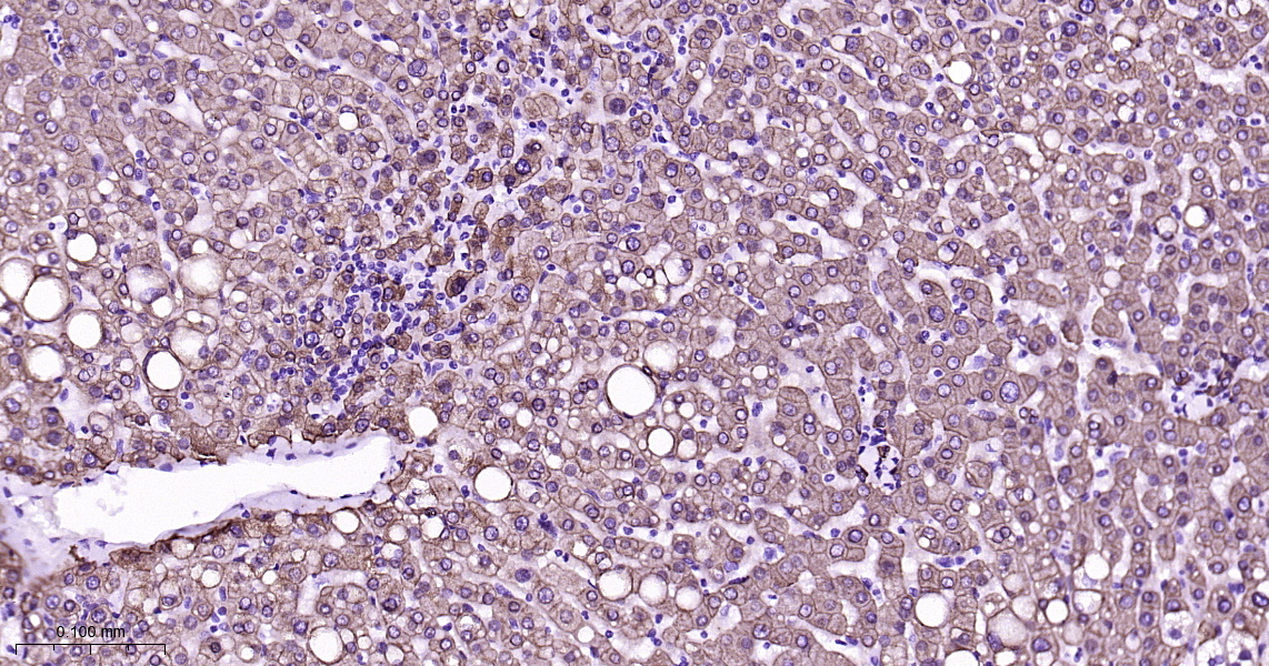
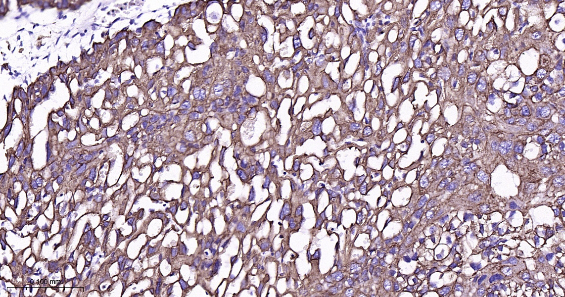
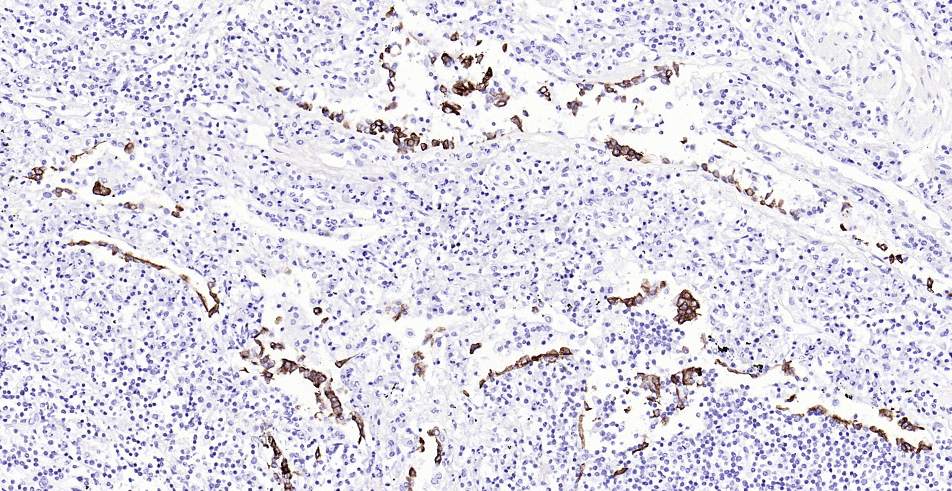
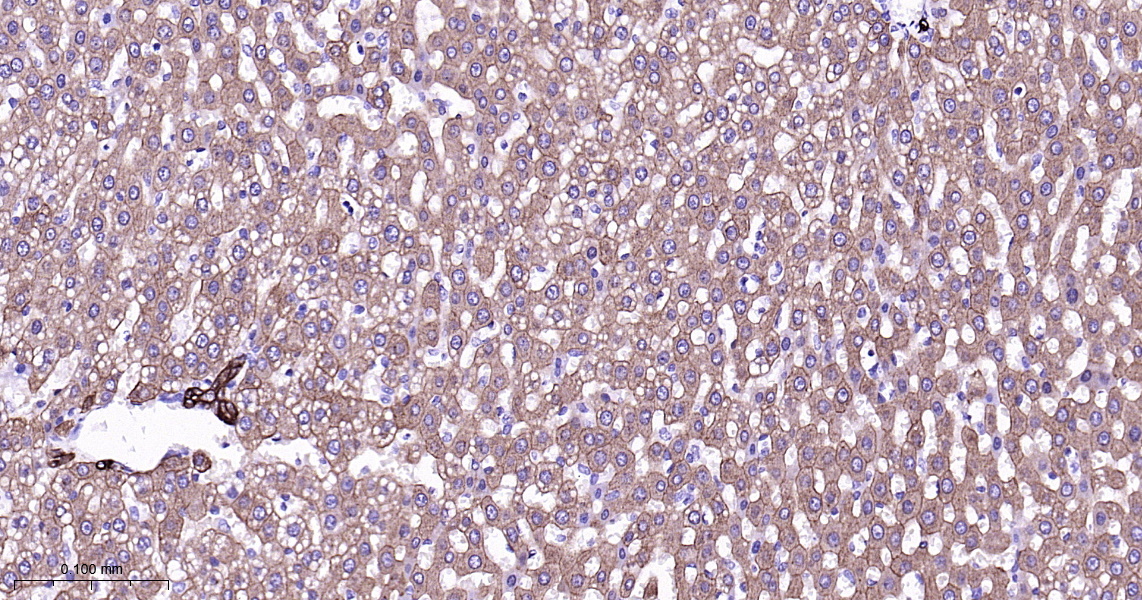
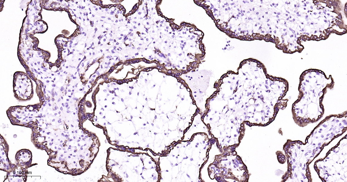
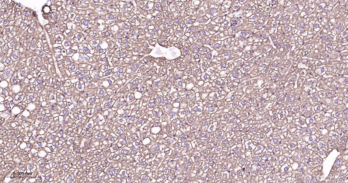
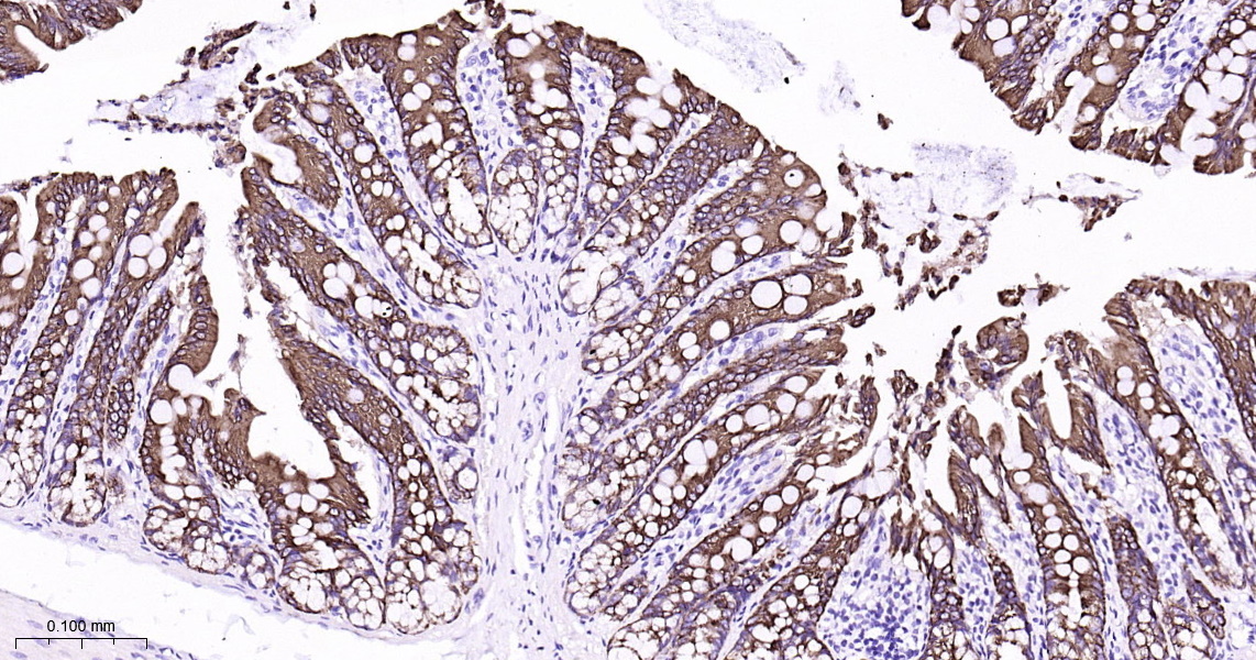
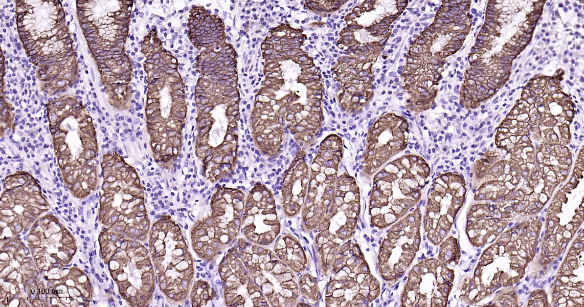
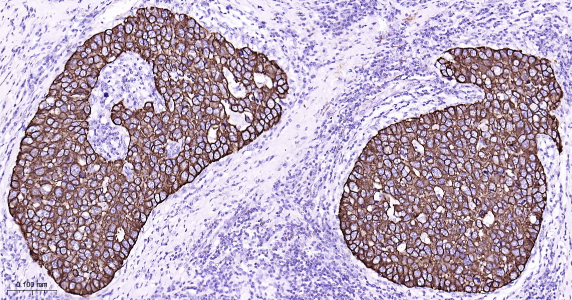
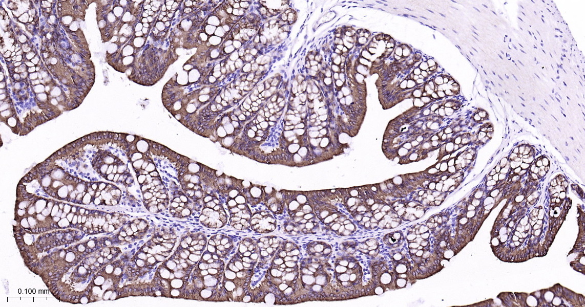
| Cytokeratin 8 Recombinant Antibody |
| WB, IHC-P, IHC-F, IF, ICC/IF |
| Human, Mouse, Rat |
| Specifications |
| Unconjugated |
| Rabbit |
| A synthesized peptide derived from human Cytokeratin 8 |
| Recombinant |
| IgG |
| 1mg/ml |
| Purified by Protein A. |
| 0.01M TBS (pH7.4) with 1% BSA, 0.02% Proclin300 and 50% Glycerol. |
| Shipped at 4C. Store at -20C for one year. Avoid repeated freeze/thaw cycles. |
| Target |
| 3856 |
| P05787 |
| Cytoplasm, Nucleus |
| card2; Cardiac autoantigen 2 120kD; CK 8; CK8; CK-8; ck8; Cyk 8; cyk8; CYKER; Cytokeratin endo A; Cytokeratin-8; Cytokeratin8; DreK8; EndoA; k0; CYK8; k2c8; K2C8_HUMAN; k8; Keratin 8; Keratin type ii cytoskeletal 8; Keratin, type II cytoskeletal 8; Keratin-8; Keratin8; KO; Krt 2.8; Krt 8; krt8; KRT-8; MGC118110; MGC174782; MGC53564; MGC85764; sb:cb186; Type-II keratin Kb8. |
| Application Dilution |
| WB |
1:300-5000 |
| IHC-P |
1:200-400 |
| IHC-F |
1:100-500 |
| IF |
|
| ICC/IF |
1:50-100 |