| Overview |
| bsm-52436r |
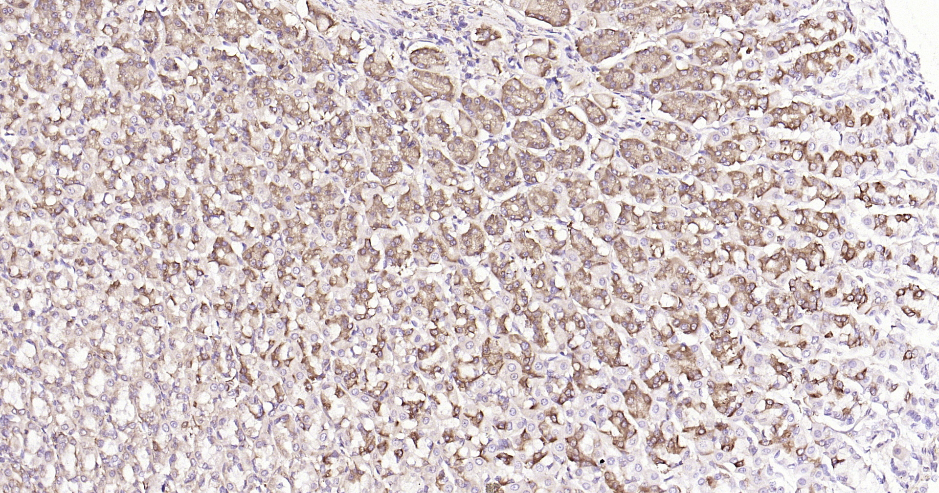
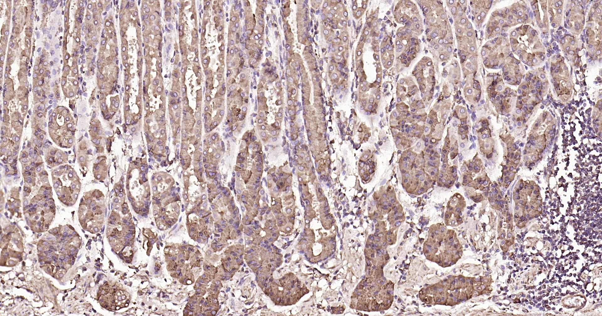
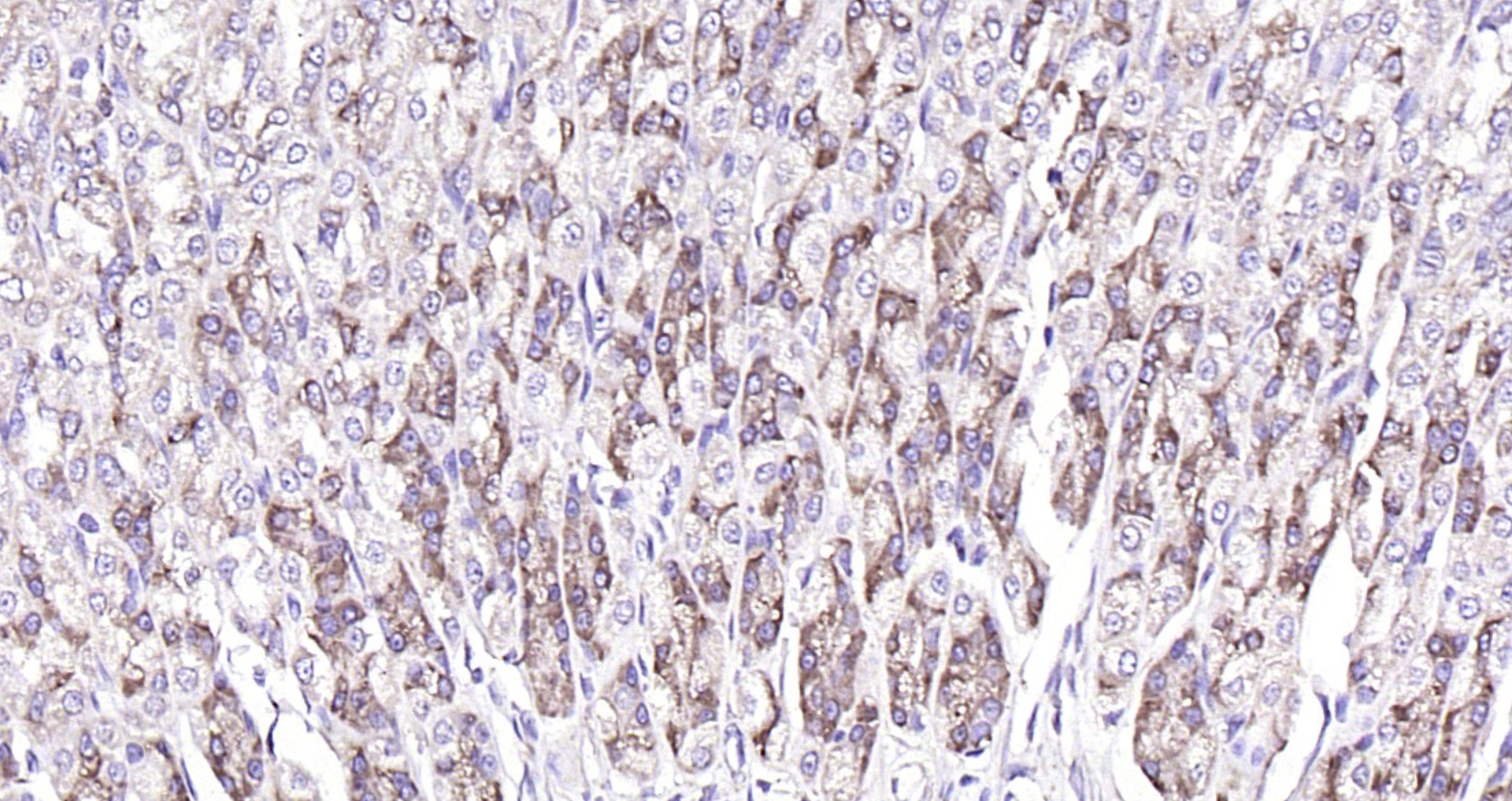
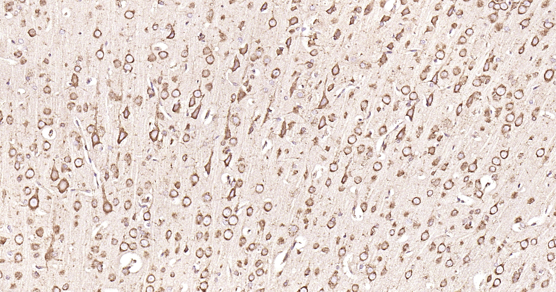
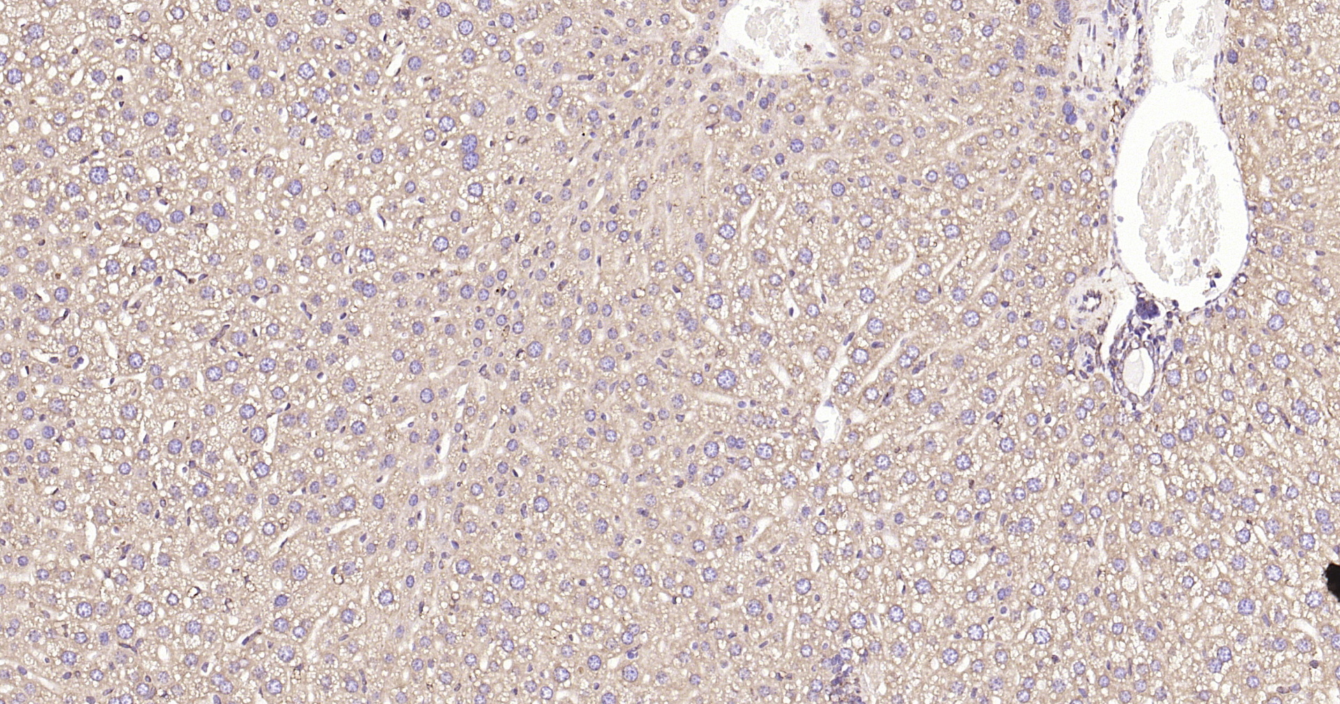
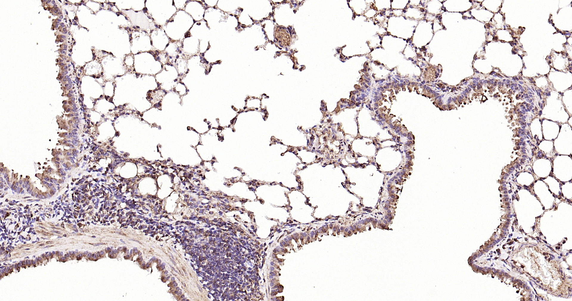
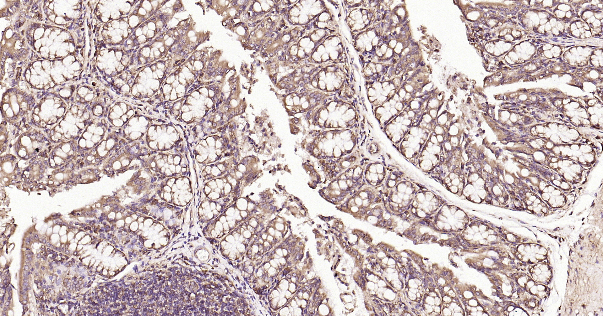
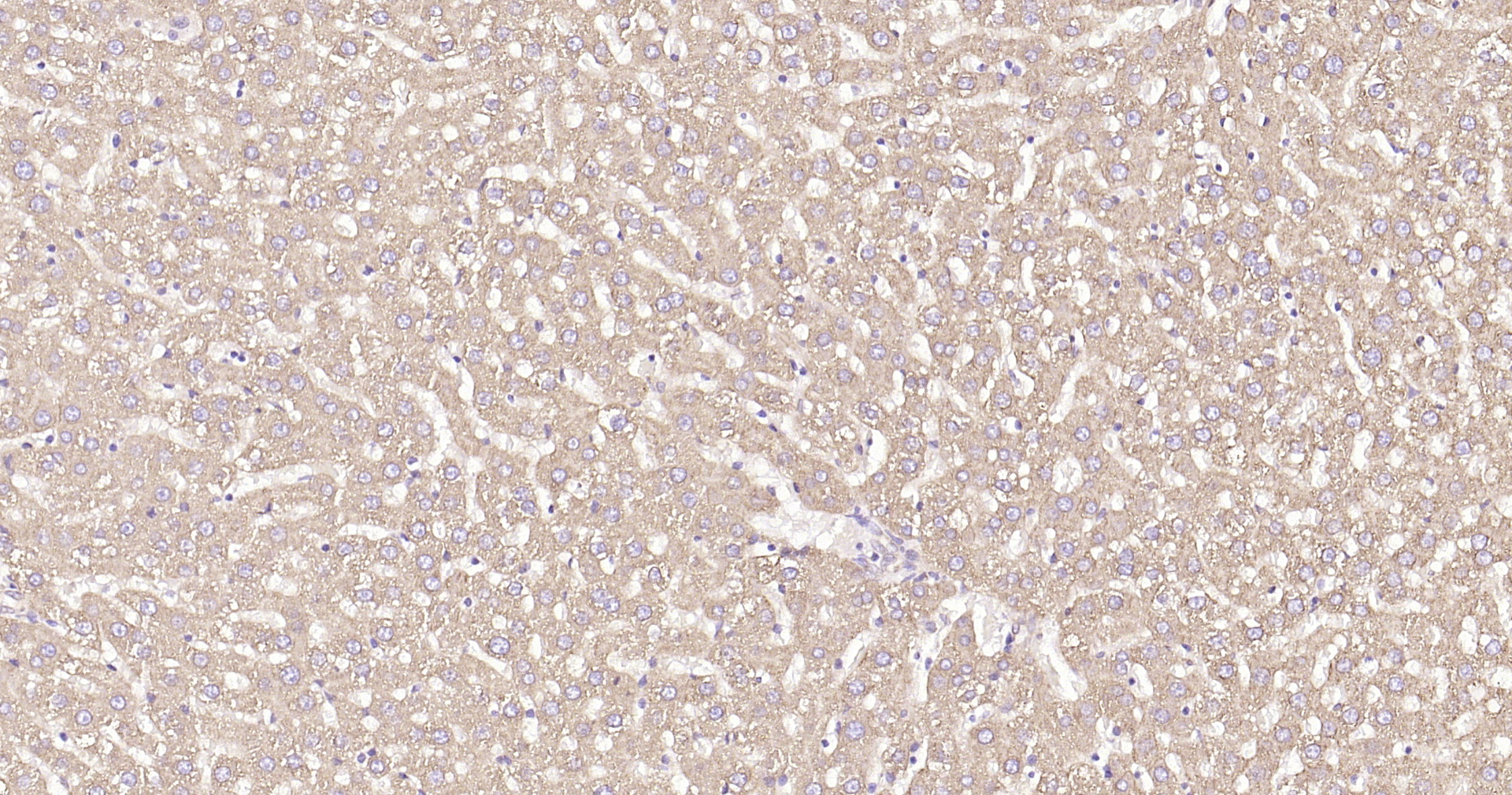
| Calreticulin Recombinant Antibody |
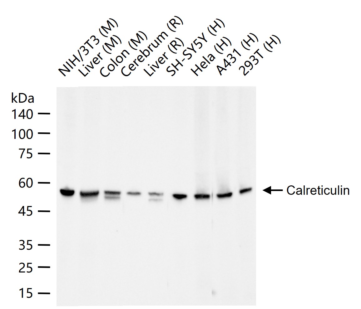
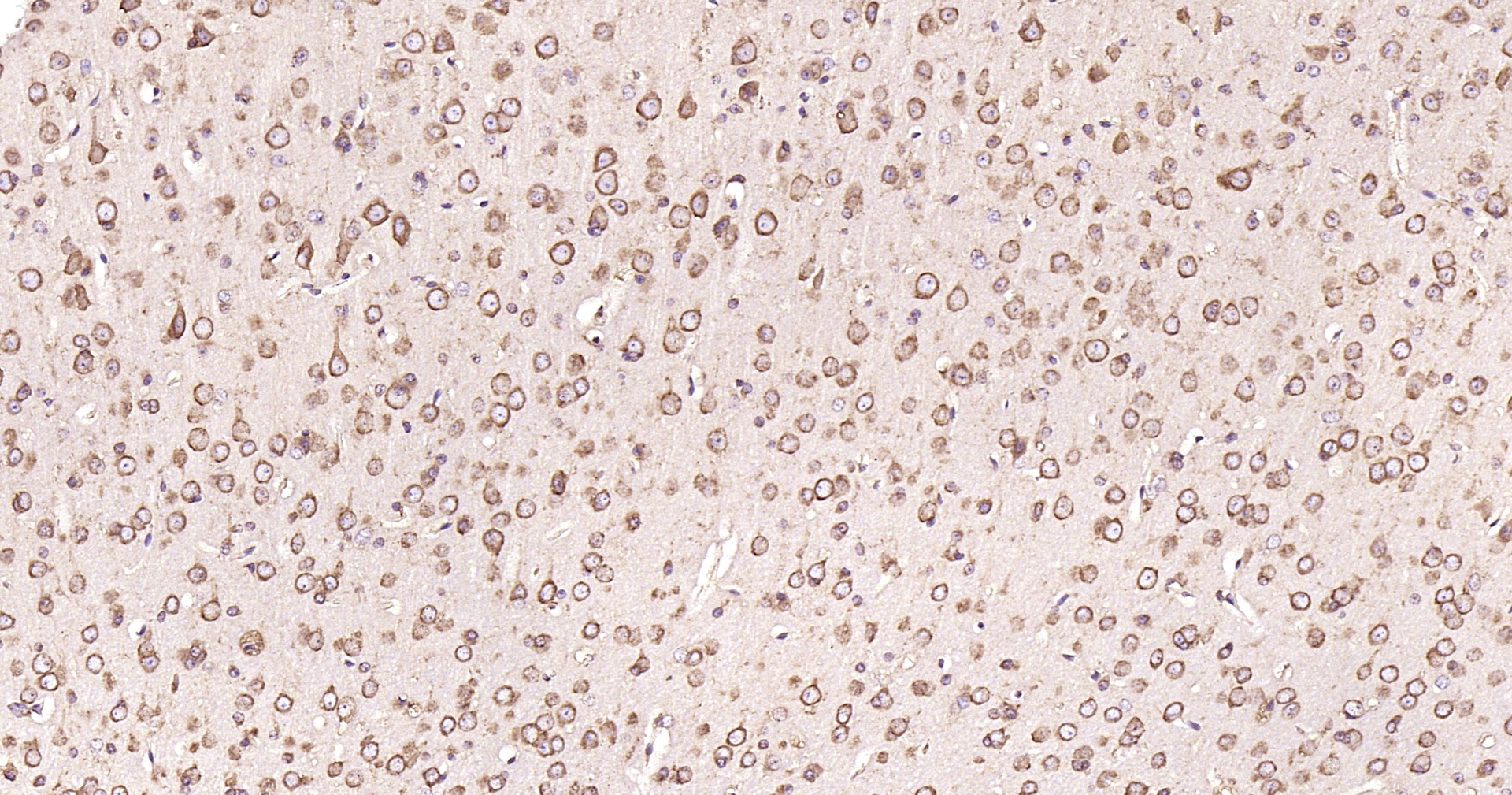
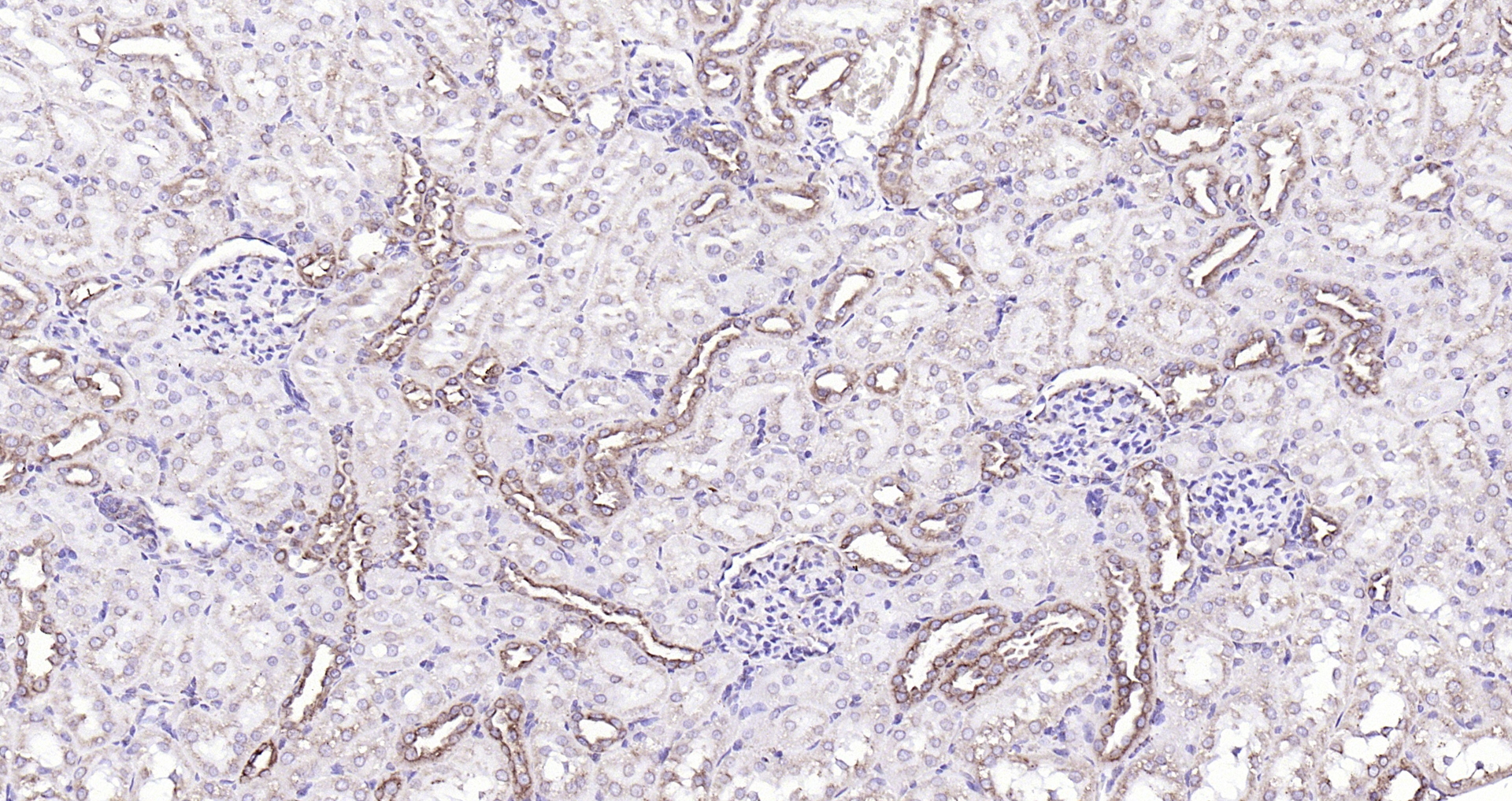
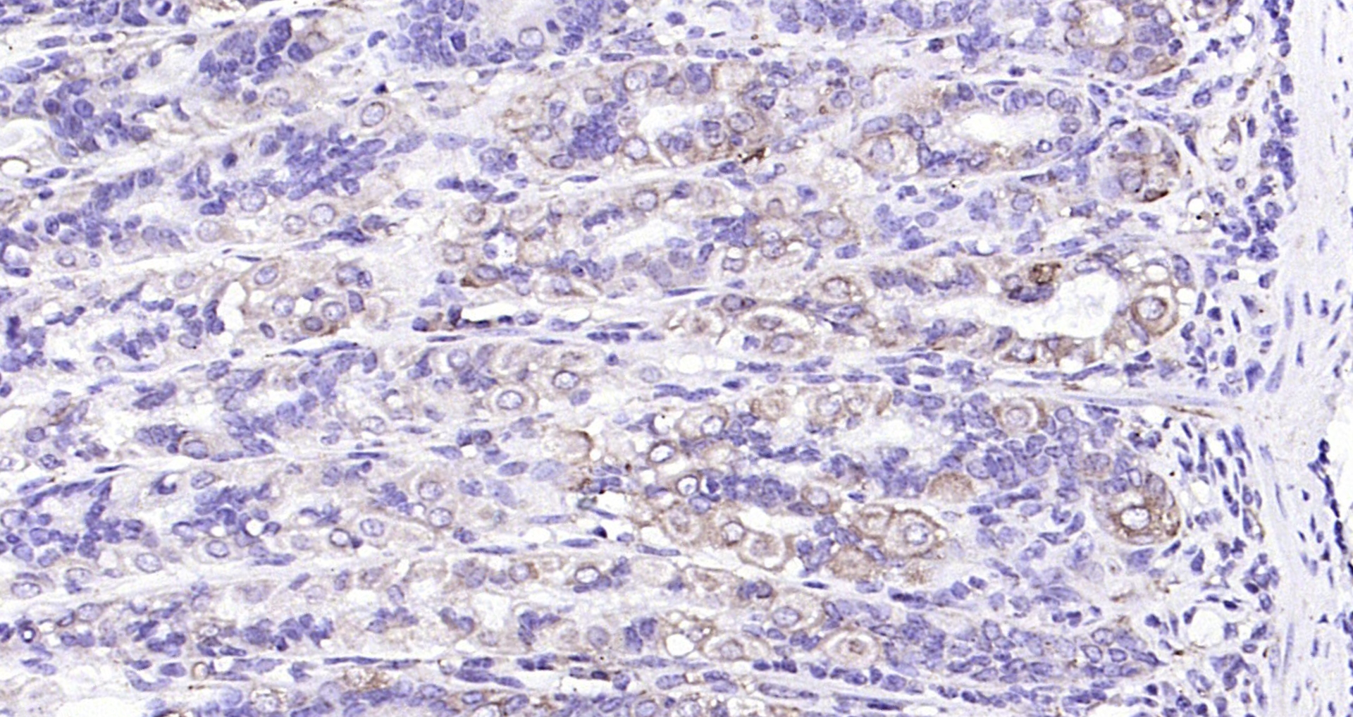
| WB, IHC-P, IHC-F, IF, ICC/IF |
| Human, Mouse, Rat |
| Specifications |
| Unconjugated |
| Rabbit |
| A synthesized peptide derived from human Calreticulin |
| Recombinant |
| IgG |
| 1mg/ml |
| Purified by Protein A. |
| 1*TBS (pH7.4), 0.05% BSA, 40% Glycerol. Preservative: 0.02% Proclin300. |
| Shipped at 4C. Store at -20C for one year. Avoid repeated freeze/thaw cycles. |
| Target |
| 811 |
| P27797 |
| Cytoplasm, Secreted, Cell membrane, Extracellular matrix |
| Autoantigen RO; CALR; CALR protein; CALR_HUMAN; cC1qR; CRP55; CRTC; Endoplasmic reticulum resident protein 60; ERp60; grp60; HACBP; RO; Sicca syndrome antigen A; SSA. |
| Application Dilution |
| WB |
1:300-5000 |
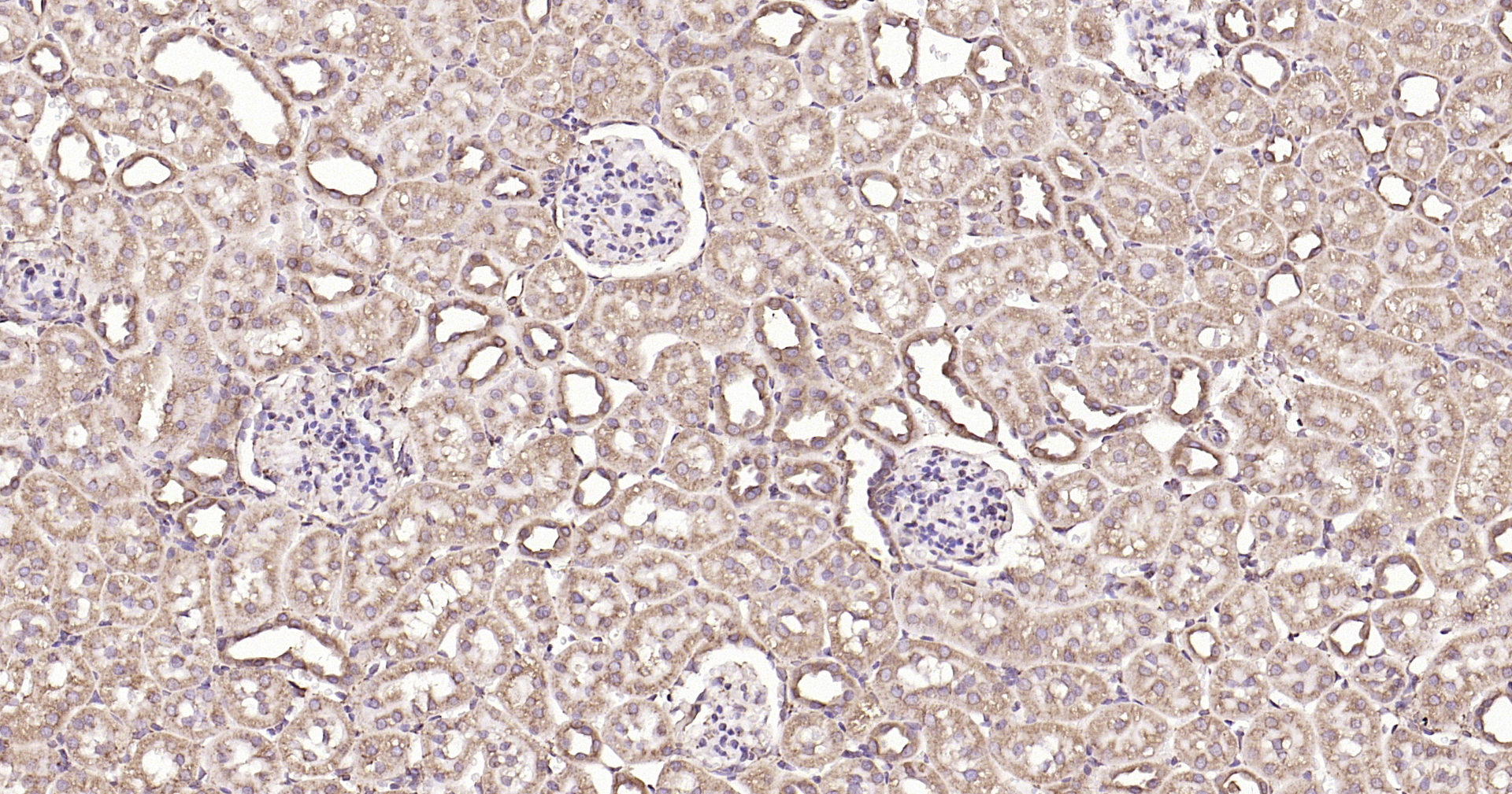
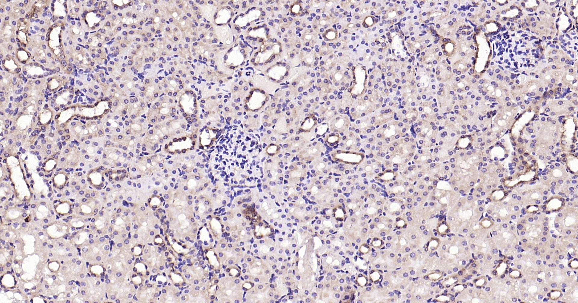
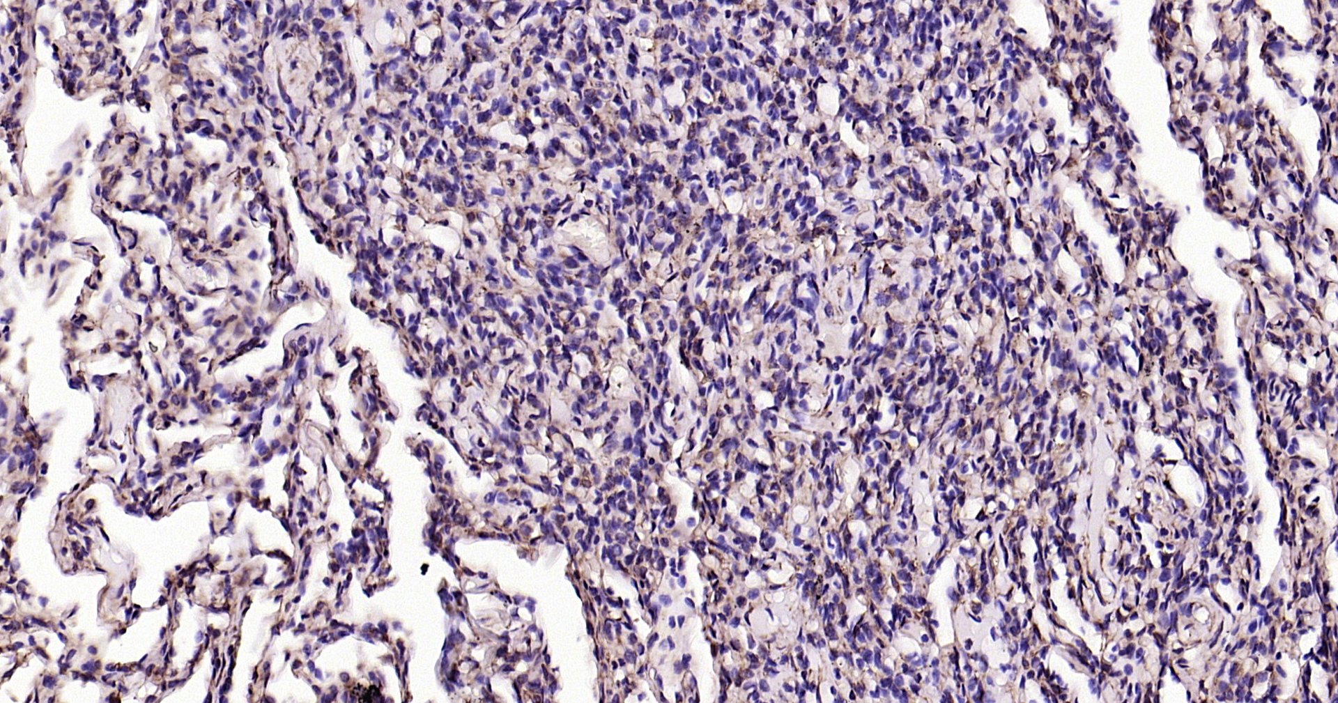
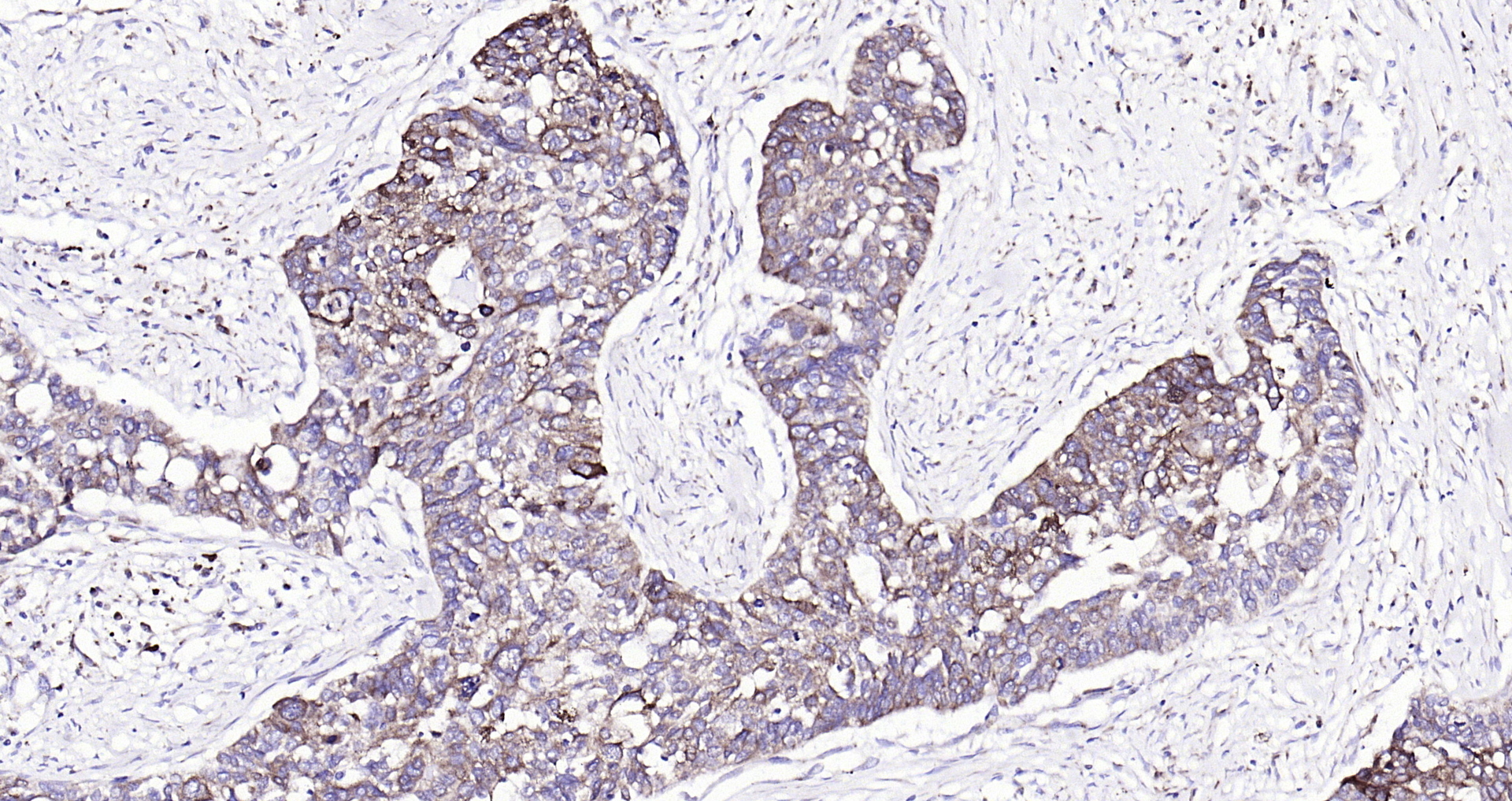
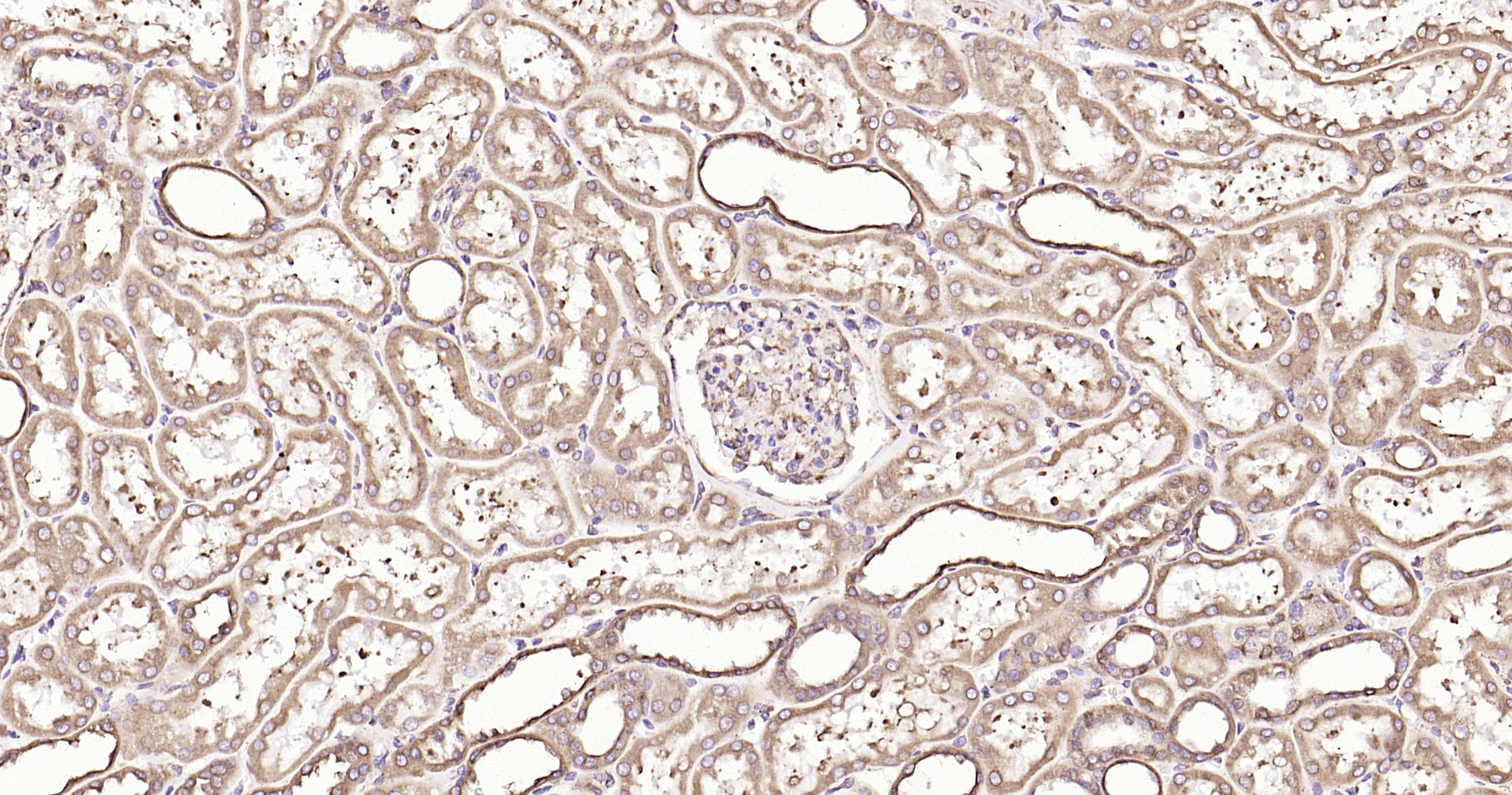
| IHC-P |
1:200-400 |
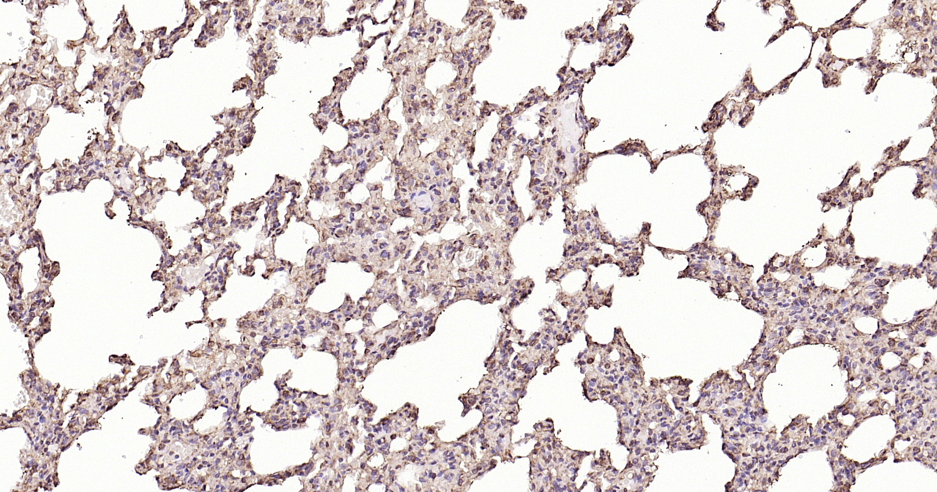
| IHC-F |
1:100-500 |
| IF |
|
| ICC/IF |
1:50-100 |