Receive 30% off all Monoclonal IHC antibodies with code "MONO-IHC-30"! Offer valid for US customers and available internationally through distributors.

Vitronectin Recombinant Antibody

Applications

  • WB
  • IHC-P
  • IF(ICC)
  • IHC

Predicted Reactivity

  • Human
  • Mouse
  • Rat
Overview
Catalog # bsm-52460r
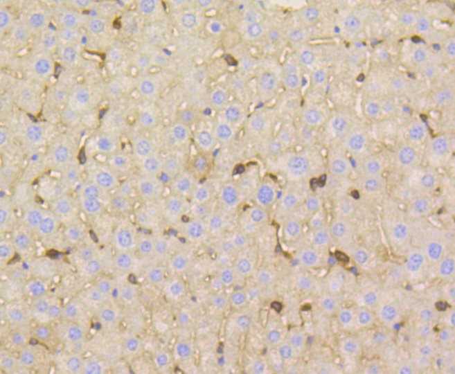
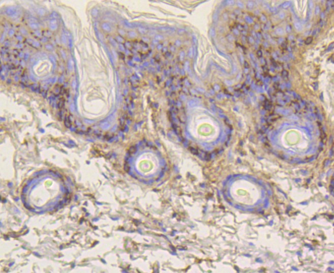
Product Name Vitronectin Recombinant Antibody
Applications WB, IHC-P, IF(ICC), IHC
Predicted Reactivity Human, Mouse, Rat
Specifications
Conjugation Unconjugated
Host Rabbit
Source Human Vitronectin between 100 to 200 amino acids
Clonality Recombinant
Isotype IgG
Concentration 1ug/ul
Purification Purified by Protein A.
Storage Buffer 0.01M TBS (pH 7.4), 1% BSA, 0.02% Proclin 300, and 50% Glycerol
Storage Condition Store at -20°C for 12 months.
Target
Gene ID 7448
Swiss Prot P04004
Synonyms Vitronectin, S-protein, Serum-spreading factor, V75, VN, VTN
Background Vitronectin is a cell adhesion and spreading factor found in serum and tissues. Vitronectin interact with glycosaminoglycans and proteoglycans. Is recognized by certain members of the integrin family and serves as a cell-to-substrate adhesion molecule. Inhibitor of the membrane-damaging effect of the terminal cytolytic complement pathway. Somatomedin-B is a growth hormone-dependent serum factor with protease-inhibiting activity.
Application Dilution
WB 1:300-5000
IHC-P 1:200-400
IF(ICC) 1:50-200
IHC