Receive 30% off all Monoclonal IHC antibodies with code "MONO-IHC-30"! Offer valid for US customers and available internationally through distributors.

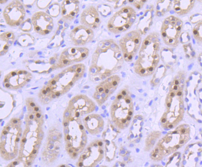
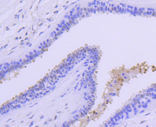
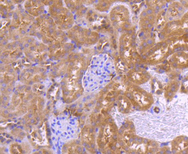
PRMT5 (28A3) Monoclonal Antibody

Applications

  • WB
  • IHC-P
  • IF(ICC)
  • IHC

Reactivity

  • Human
  • Mouse
  • Rat
Overview
Catalog # bsm-52463R
Product Name PRMT5 (28A3) Monoclonal Antibody
Applications WB, IHC-P, IF(ICC), IHC
Reactivity Human, Mouse, Rat
Specifications
Conjugation Unconjugated
Host Rabbit
Source Human PRMT5 between 50-150 amino acids
Clonality Monoclonal
Clone # #REF!
Isotype IgG
Concentration 1ug/ul
Purification Purified by Protein A.
Storage Buffer 0.01M TBS(pH7.4) with 1% BSA, 0.02% Proclin300 and 50% Glycerol.
Storage Condition Store at -20C for 12 months.
Target
Gene ID 10419
Swiss Prot O14744
Synonyms Protein arginine N-methyltransferase 5, 72 kDa ICln-binding protein, Histone-arginine N-methyltransferase PRMT5, Jak-binding protein 1, Shk1 kinase-binding protein 1 homolog, SKB1 homolog, SKB1Hs, HRMT1L5, IBP72, JBP1, SKB1
Background DescriptionThe formation of the spliceosome includes the assembly of Sm proteins in an ordered manner onto snRNAs. This process is mediated by the survival of a motor neuron (SMN) protein and is enhanced by modification of specific Arginine residues in the Sm proteins to symmetrical dimethylarginines (sDMAs). sDMA modification of Sm proteins is catalyzed by the methylosome, a complex comprised of the type II methyltransferase PRMT5, also designated JAK-binding protein 1), (JBP1), pICln, and two novel factors. PRMT5 binds the Sm proteins via their Arginine- and Glycine-rich (RG) domains, while pICln binds the Sm domains. PRMT5 is a distinct member of the protein-Arginine methyltransferase (PRMT) family, and predominantly localizes to the cytoplasm in a wide variety of tissues. PRMT5 also associates specifically with the transcription start site region of the cyclin E1 promoter, and, therefore, is involved in the control of transcription and proliferation. The gene encoding human PRMT5 maps to chromosome 14q11.
Application Dilution
WB 1:300-5000
IHC-P 1:200-400
IF(ICC) 1:50-200
IHC