Receive 30% off all Monoclonal IHC antibodies with code "MONO-IHC-30"! Offer valid for US customers and available internationally through distributors.

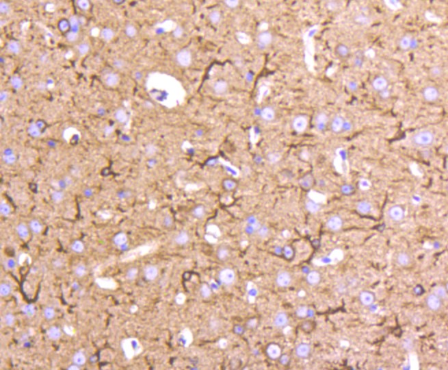
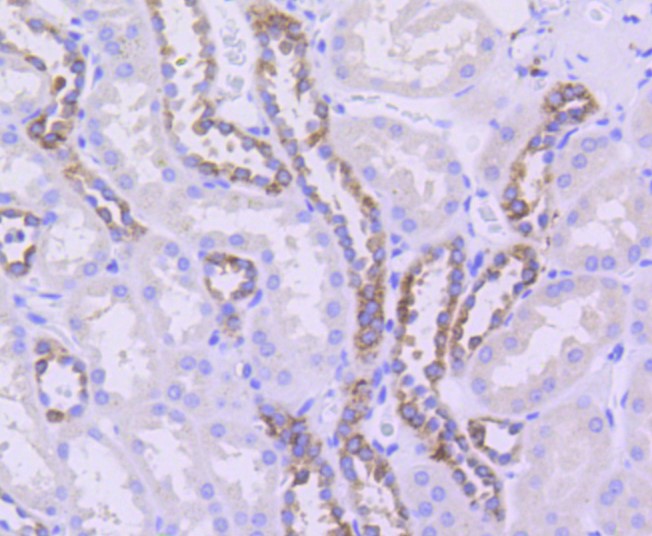
beta II Tubulin (48D2) Monoclonal Antibody

Applications

  • WB
  • IHC-P
  • IF(ICC)
  • IHC

Reactivity

  • Human
  • Mouse
  • Rat
Overview
Catalog # bsm-52467R
Product Name beta II Tubulin (48D2) Monoclonal Antibody
Applications WB, IHC-P, IF(ICC), IHC
Reactivity Human, Mouse, Rat
Specifications
Conjugation Unconjugated
Host Rabbit
Source Human beta II Tubulin between 1-300 amino acids
Clonality Monoclonal
Clone # #REF!
Isotype IgG
Concentration 1ug/ul
Purification Purified by Protein A.
Storage Buffer 0.01M TBS(pH7.4) with 1% BSA, 0.02% Proclin300 and 50% Glycerol.
Storage Condition Store at -20C for 12 months.
Target
Gene ID 10383
Swiss Prot P68371
Synonyms Tubulin beta-2B chain, Tubulin beta-2A chain, Tubulin beta class IIa, Tubulin beta-4B chain, Tubulin beta-2 chain, Tubulin beta-2C chain, TUBB2B, TUBB2A, TUBB2, TUBB4B, TUBB2C
Background Tubulin is the major constituent of microtubules. It binds two moles of GTP, one at an exchangeable site on the beta chain and one at a non-exchangeable site on the alpha chain.
Application Dilution
WB 1:300-5000
IHC-P 1:200-400
IF(ICC) 1:50-200
IHC