Receive 30% off all Monoclonal IHC antibodies with code "MONO-IHC-30"! Offer valid for US customers and available internationally through distributors.

PRNP Recombinant Antibody

Applications

  • WB
  • FCM
  • IF(ICC)
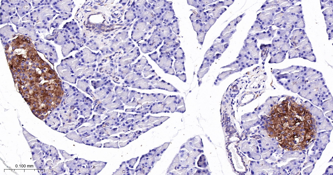
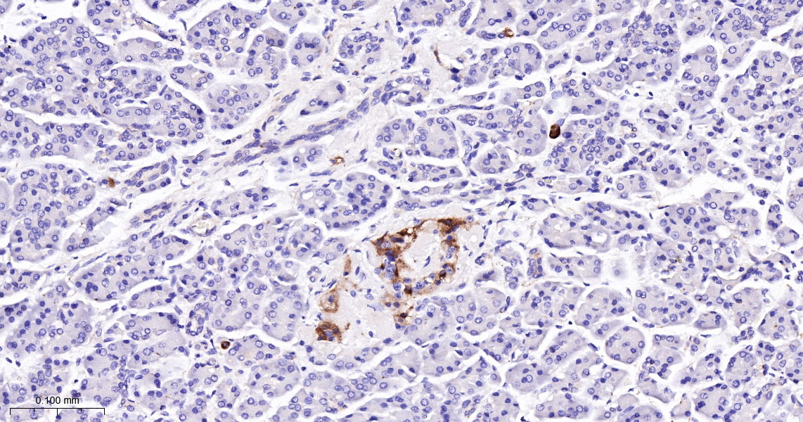
  • IHC

Reactivity

  • Human
  • Mouse
  • Rat
Overview
Catalog # bsm-52505r
Product Name PRNP Recombinant Antibody
Applications WB, FCM, IF(ICC), IHC
Reactivity Human, Mouse, Rat
Specifications
Conjugation Unconjugated
Host Rabbit
Source C terminal human Prion protein
Clonality Recombinant
Isotype IgG
Concentration 1ug/ul
Purification Purified by Protein A.
Storage Buffer 0.01M TBS (pH 7.4), 1% BSA, 0.02% Proclin 300, and 50% Glycerol
Storage Condition Store at -20°C for 12 months.
Target
Gene ID 5621
Swiss Prot P04156
Synonyms Major prion protein, ASCR, PrP27-30, PrP33-35C, CD_antigen: CD230, PrP, PRNP
Background The function of PrP is still under debate. May play a role in neuronal development and synaptic plasticity. May be required for neuronal myelin sheath maintenance. May play a role in iron uptake and iron homeostasis (By similarity). Isoform 2 may act as a growth suppressor by arresting the cell cycle at the G0/G1 phase. Soluble oligomers are toxic to cultured neuroblastoma cells and induce apoptosis (in vitro).
Application Dilution
WB 1:300-5000
FCM 1:20-100
IF(ICC) 1:50-200
IHC