Receive 30% off all Monoclonal IHC antibodies with code "MONO-IHC-30"! Offer valid for US customers and available internationally through distributors.

PRP19 (7H10) Monoclonal Antibody

Applications

  • WB
  • FCM
  • IHC-P
  • IF(ICC)
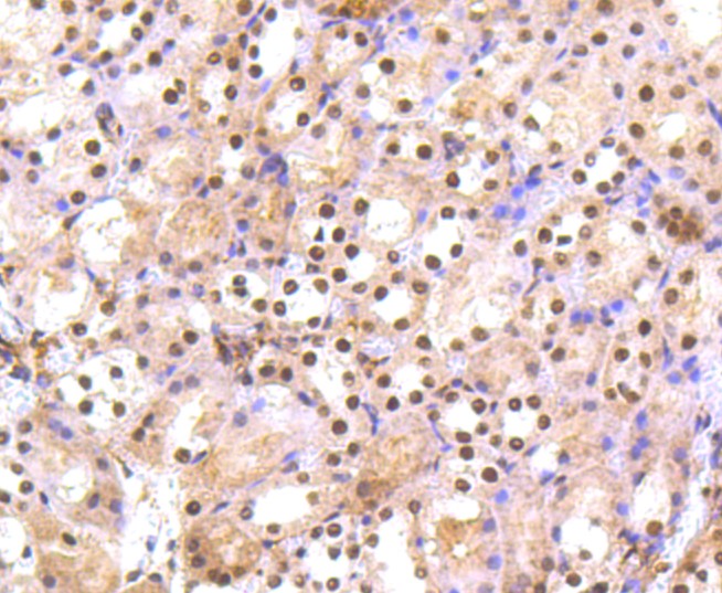
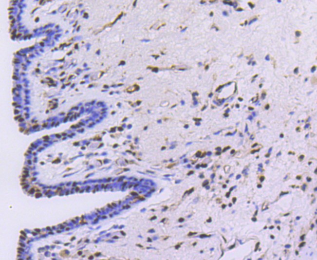
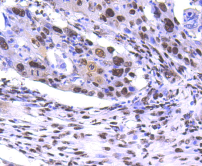
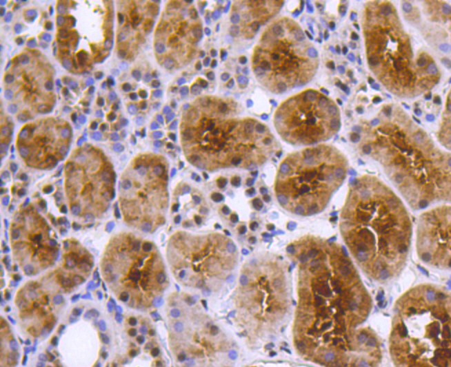
  • IHC

Reactivity

  • Human
  • Mouse
  • Rat
Overview
Catalog # bsm-52524R
Product Name PRP19 (7H10) Monoclonal Antibody
Applications WB, FCM, IHC-P, IF(ICC), IHC
Reactivity Human, Mouse, Rat
Specifications
Conjugation Unconjugated
Host Rabbit
Source Human PRP19 between 450-550 amino acids
Clonality Monoclonal
Clone # #REF!
Isotype IgG
Concentration 1ug/ul
Purification Purified by Protein A.
Storage Buffer 0.01M TBS(pH7.4) with 1% BSA, 0.02% Proclin300 and 50% Glycerol.
Storage Condition Store at -20C for 12 months.
Target
Gene ID 27339
Swiss Prot Q9UMS4
Synonyms Pre-mRNA-processing factor 19, Nuclear matrix protein 200, PRP19/PSO4 homolog, Senescence evasion factor, hPso4, PRPF19
Background Ubiquitin-protein ligase which is a core component of several complexes mainly involved pre-mRNA splicing and DNA repair. Core component of the PRP19C/Prp19 complex/NTC/Nineteen complex which is part of the spliceosome and participates in its assembly, its remodeling and is required for its activity. During assembly of the spliceosome, mediates 'Lys-63'-linked polyubiquitination of the U4 spliceosomal protein PRPF3. Ubiquitination of PRPF3 allows its recognition by the U5 component PRPF8 and stabilizes the U4/U5/U6 tri-snRNP spliceosomal complex (PubMed:20595234). Recruited to RNA polymerase II C-terminal domain (CTD) and the pre-mRNA, it may also couple the transcriptional and spliceosomal machineries (PubMed:21536736). The XAB2 complex, which contains PRPF19, is also involved in pre-mRNA splicing, transcription and transcription-coupled repair (PubMed:17981804). Beside its role in pre-mRNA splicing PRPF19, as part of the PRP19-CDC5L complex, plays a role in the DNA damage response/DDR. It is recruited to the sites of DNA damage by the RPA complex where PRPF19 directly ubiquitinates RPA1 and RPA2. 'Lys-63'-linked polyubiquitination of the RPA complex allows the recruitment of the ATR-ATRIP complex and the activation of ATR, a master regulator of the DNA damage response (PubMed:24332808). May also play a role in DNA double-strand break (DSB) repair by recruiting the repair factor SETMAR to altered DNA (PubMed:18263876). As part of the PSO4 complex may also be involved in the DNA interstrand cross-links/ICLs repair process (PubMed:16223718). In addition, may also mediate 'Lys-48'-linked polyubiquitination of substrates and play a role in proteasomal degradation (PubMed:11435423). May play a role in the biogenesis of lipid droplets (By similarity). May play a role in neural differentiation possibly through its function as part of the spliceosome (By similarity).
Application Dilution
WB 1:300-5000
FCM 1:20-100
IHC-P 1:200-400
IF(ICC) 1:50-200
IHC