Receive 30% off all Monoclonal IHC antibodies with code "MONO-IHC-30"! Offer valid for US customers and available internationally through distributors.

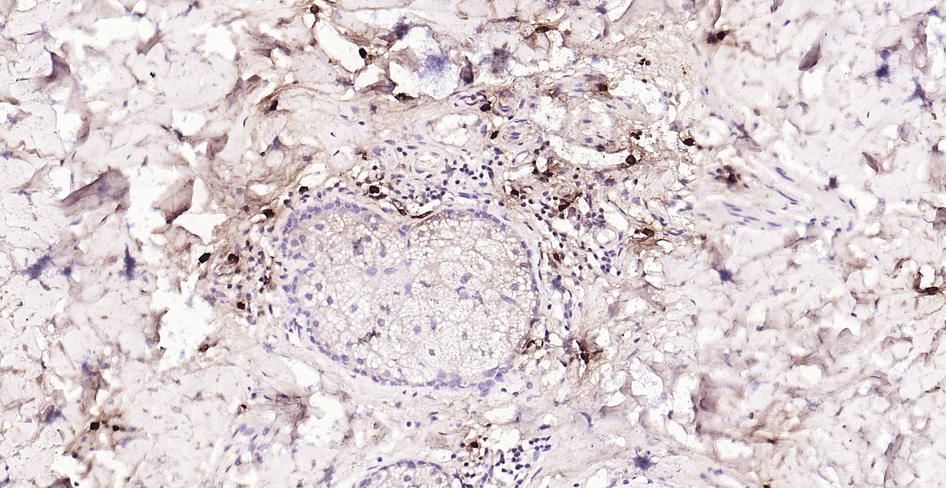
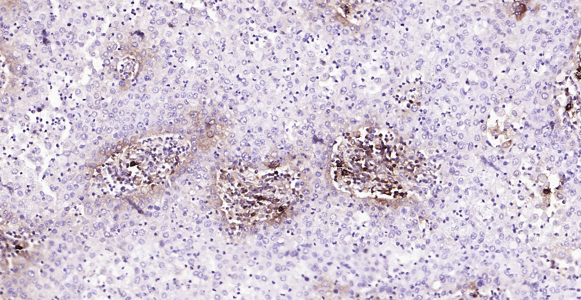
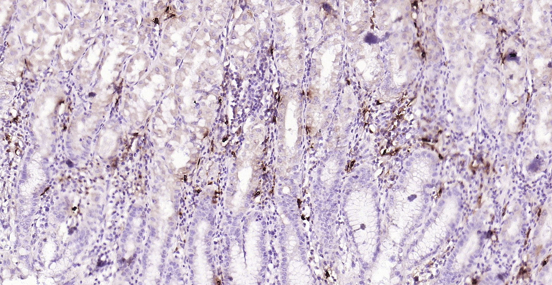
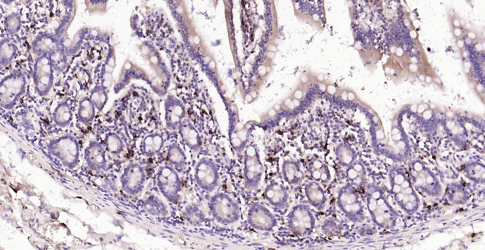
Mast Cell Tryptase Recombinant Antibody

Applications

  • WB
  • IHC-P
  • IHC-F
  • IF

Reactivity

  • Human
  • Mouse
Overview
Catalog # bsm-52533r
Product Name Mast Cell Tryptase Recombinant Antibody
Applications WB, IHC-P, IHC-F, IF
Reactivity Human, Mouse
Specifications
Conjugation Unconjugated
Host Rabbit
Source A synthesized peptide derived from human Tryptase 1
Clonality Recombinant
Isotype IgG
Concentration 1mg/ml
Purification Purified by Protein A.
Storage Buffer 0.01M TBS (pH7.4) with 1% BSA, 0.02% Proclin300 and 50% Glycerol.
Storage Condition Shipped at 4C. Store at -20C for one year. Avoid repeated freeze/thaw cycles.
Target
Gene ID 7177
Swiss Prot Q15661
Subcellular location Secreted
Synonyms Tryptase delta; delta-tryptase; HmMCP-3-like tryptase III; Mast cell mMCP-7-like; Tryptase-3; TPSD1; MCP7L1; MMCP-7L; MCP7-LIKE; EC 3.4.21.59; MGC95428; TRYD; Tryptase3; alpha II; EC 3.4.21.59; Lung tryptase; Mast cell alpha II tryptase; Mast cell beta I tryptase; Mast cell protease 7; Mast cell protease II; MCP 7; MMCP 7; Pituitary tryptase; Skin tryptase; TPS 1; TPS1; TPS2; TPSAB1; TPSAB1 protein; TPSB1; Tryptase 1; Tryptase alpha 1; tryptase alpha I included; Tryptase alpha II; tryptase alpha II included; tryptase alpha included; tryptase alpha/beta 1; Tryptase beta 1; tryptase beta I included; Tryptase I; tryptase I included; Tryptase III; Tryptase skin; Tryptase beta-2; TRYB1_HUMAN; TRYB2_HUMAN; TRYD_HUMAN.
Application Dilution
WB 1:300-5000
IHC-P 1:200-400
IHC-F 1:100-500
IF