RECEIVE 25% OFF PUBLISHED ANTIBODIES WITH CODE "PUB25"! Offer valid for US customers and available internationally through distributors.

GART Recombinant Antibody

Applications

  • WB
  • FCM
  • IHC-P
  • IHC-F
  • IF(IHC-P)
  • IF(ICC)

Reactivity

  • Human
  • Mouse
  • Rat
Overview
Catalog # bsm-52537r-100ul
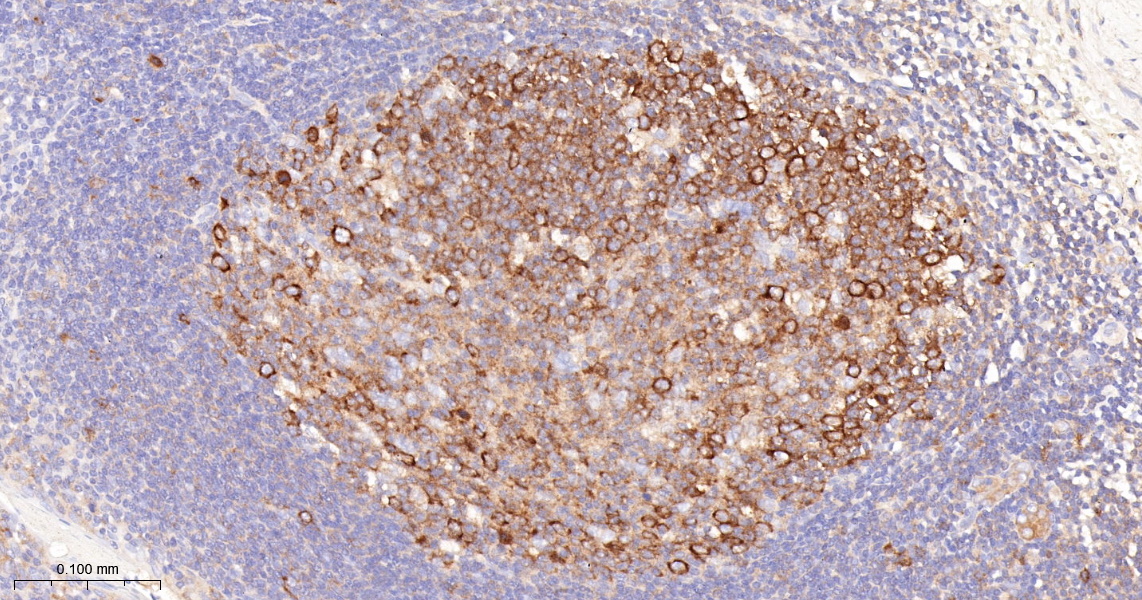
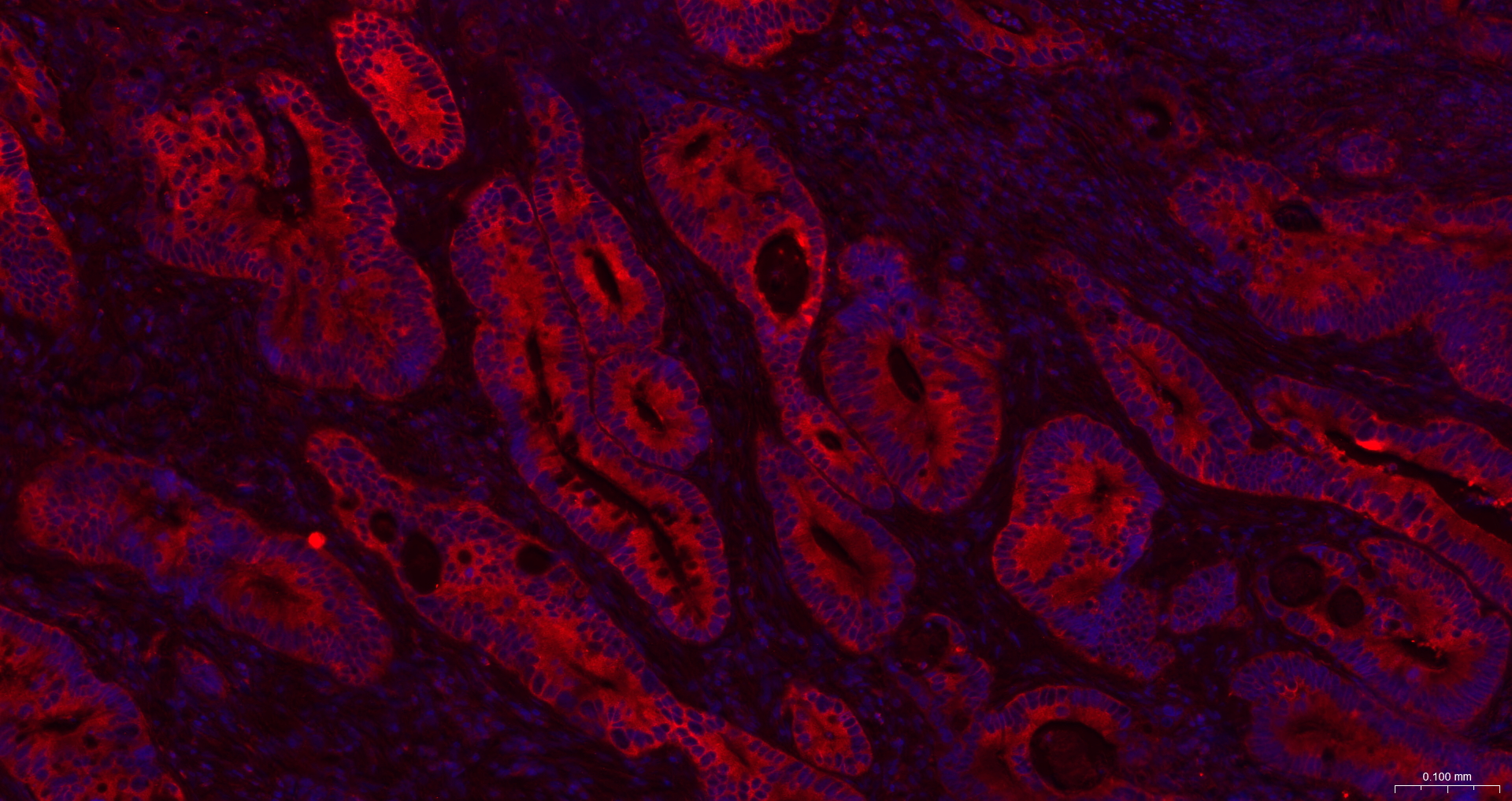
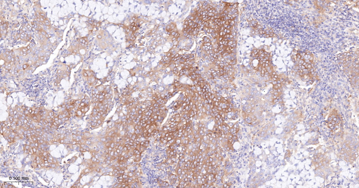
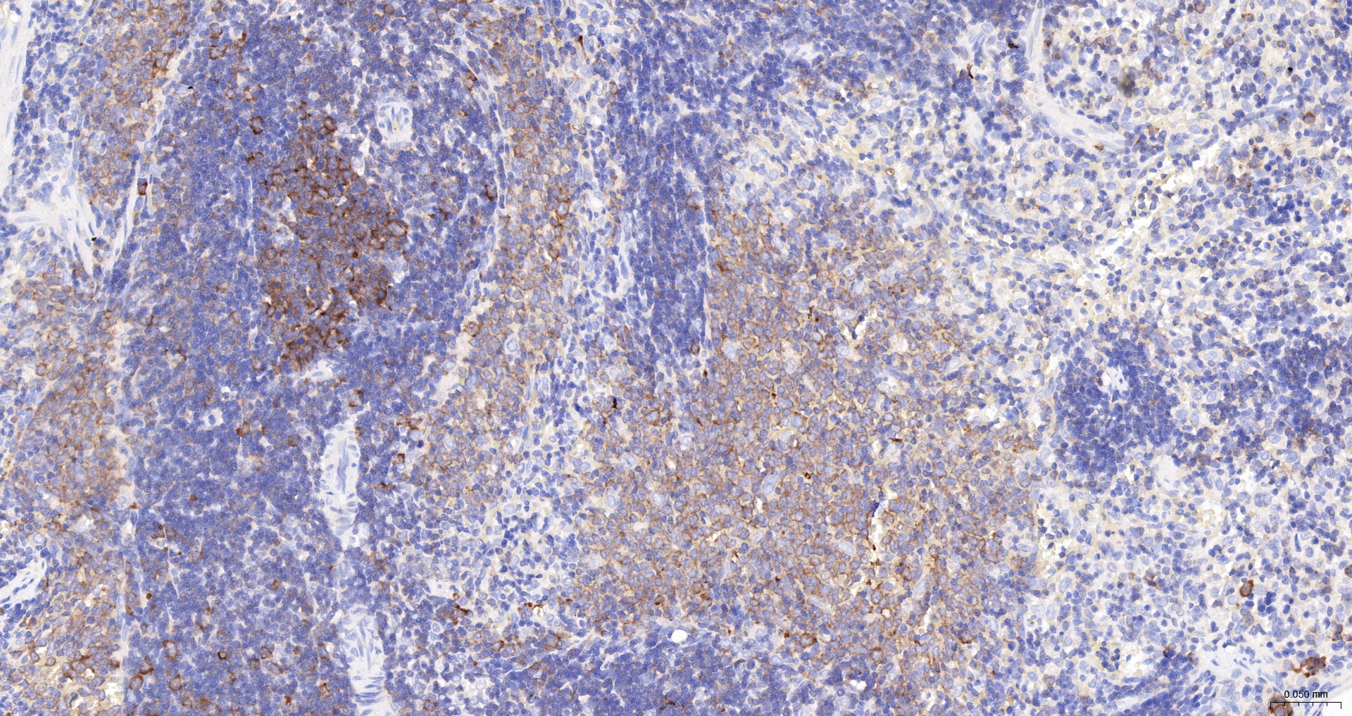
Product Name GART Recombinant Antibody
Applications WB, FCM, IHC-P, IHC-F, IF(IHC-P), IF(ICC)
Reactivity Human, Mouse, Rat
Specifications
Conjugation Unconjugated
Host Rabbit
Source Recombinant Human GART between 200-250 amino acids
Clonality Recombinant
Isotype IgG
Concentration Lot Dependent
Purification Purified by Protein A.
Storage Buffer 0.01M TBS (pH 7.4), 1% BSA, 0.02% Proclin 300, and 50% Glycerol
Storage Condition Store at -20°C for 12 months.
Target
Gene ID 2618
Swiss Prot P22102
Synonyms Trifunctional purine biosynthetic protein adenosine-3, Phosphoribosylamine--glycine ligase, Glycinamide ribonucleotide synthetase, Phosphoribosylglycinamide synthetase, Phosphoribosylformylglycinamidine cyclo-ligase, AIR synthase, Phosphoribosyl-aminoimidazole synthetase, Phosphoribosylglycinamide formyltransferase, 5'-phosphoribosylglycinamide transformylase, GAR transformylase, GARS, AIRS, GART
Background Purines are critical for energy metabolism, cell signaling and cell reproduction and also function as precursors for coenzymes, energy transfer molecules, regulatory factors and proteins involved in RNA and DNA synthesis. GART (GAR transformylase), also referred to as AIRS, GARS, PAIS, PGFT, PRGS or GARTF, is 1,010 amino acids in length and is a key folate-dependent trifunctional enzyme with phosphoribosylglycinamide formyltransferase, phosphoribosylglycinamide synthetase and AICAR (phosphoribosylaminoimidazole synthetase) activity required for de novo purine biosynthesis. Cancer cells require considerable amounts of purines to sustain their accelerated growth and GART is, therefore, a target for cancer chemotherapy. GART is highly conserved in vertebrates. Two isoforms of GART are expressed due to alternative splicing events.
Application Dilution
WB 1:500-2000
FCM FCM1:50-100
IHC-P IHC-P1:100-500
IHC-F IHC-F1:100-500
IF(IHC-P) IFIHC-P1:100-500
IF(ICC) IFICC1:50-200