Receive 30% off all Monoclonal IHC antibodies with code "MONO-IHC-30"! Offer valid for US customers and available internationally through distributors.

MEKK2 (9A2) Monoclonal Antibody

Applications

  • WB
  • FCM
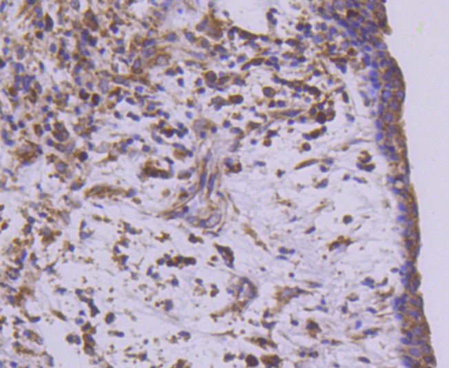
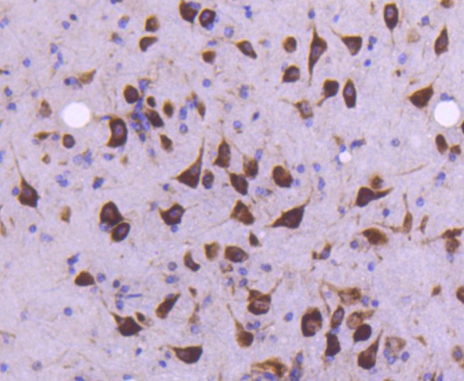
  • IHC-P
  • IF(ICC)

Reactivity

  • Human
  • Mouse
  • Rat
Overview
Catalog # bsm-52540R
Product Name MEKK2 (9A2) Monoclonal Antibody
Applications WB, FCM, IHC-P, IF(ICC)
Reactivity Human, Mouse, Rat
Specifications
Conjugation Unconjugated
Host Rabbit
Source Human MEKK2 aa 1-100
Clonality Monoclonal
Clone # #REF!
Isotype IgG
Concentration 1ug/ul
Purification Purified by Protein A.
Storage Buffer 0.01M TBS(pH7.4) with 1% BSA, 0.02% Proclin300 and 50% Glycerol.
Storage Condition Store at -20C for 12 months.
Target
Gene ID 10746
Swiss Prot Q9Y2U5
Synonyms Mitogen-activated protein kinase kinase kinase 2, MAPK/ERK kinase kinase 2, MEK kinase 2, MEKK 2, MAP3K2
Background Component of a protein kinase signal transduction cascade. Regulates the JNK and ERK5 pathways by phosphorylating and activating MAP2K5 and MAP2K7 (By similarity). Plays a role in caveolae kiss-and-run dynamics.
Application Dilution
WB 1:300-5000
FCM 1:20-100
IHC-P 1:200-400
IF(ICC) 1:50-200