Receive 30% off all Monoclonal IHC antibodies with code "MONO-IHC-30"! Offer valid for US customers and available internationally through distributors.

CD14 Recombinant Antibody

Applications

  • WB
  • IHC-P
  • IF(ICC)
  • IHC

Reactivity

  • Human
Overview
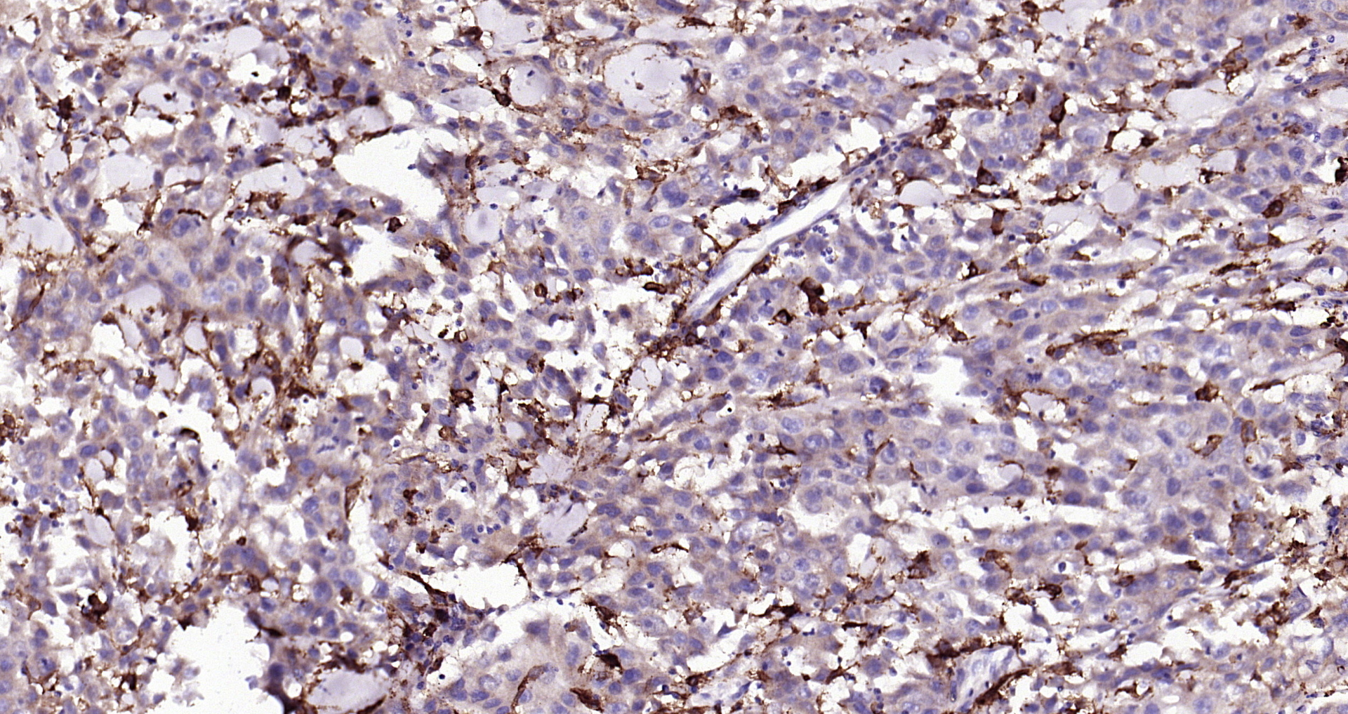
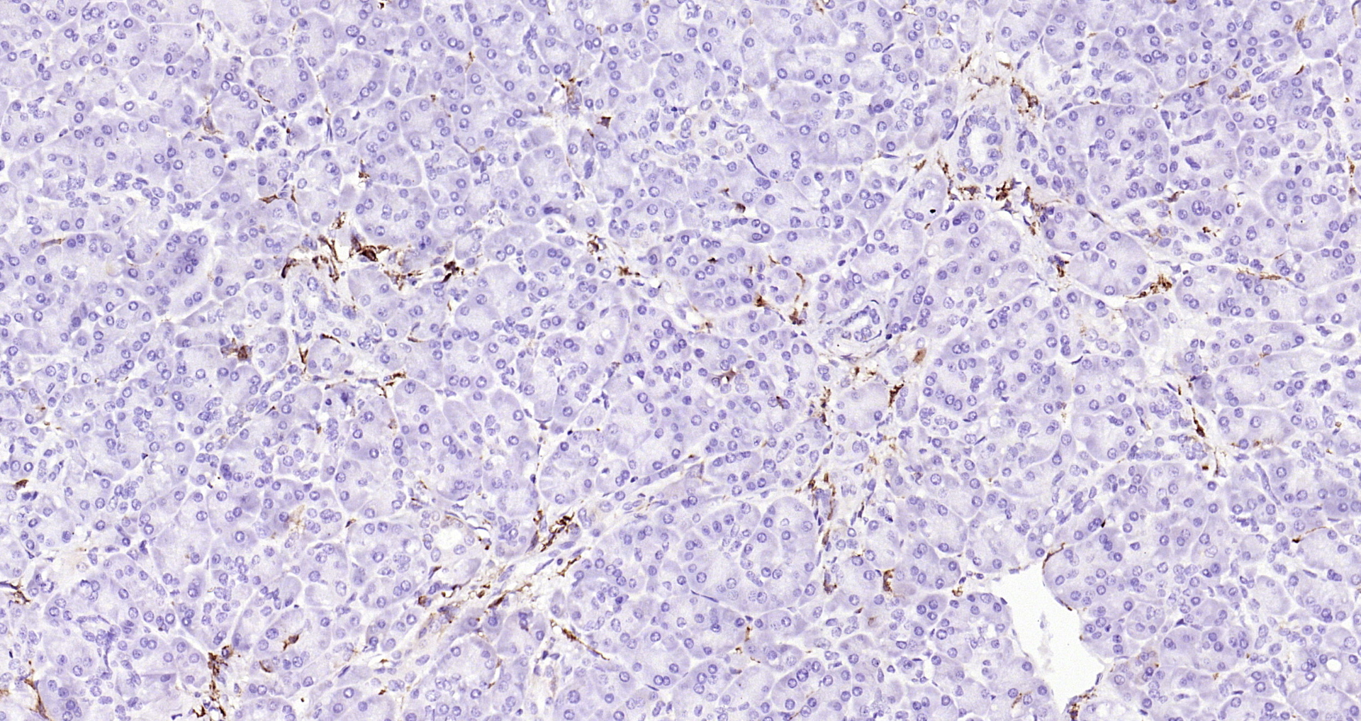
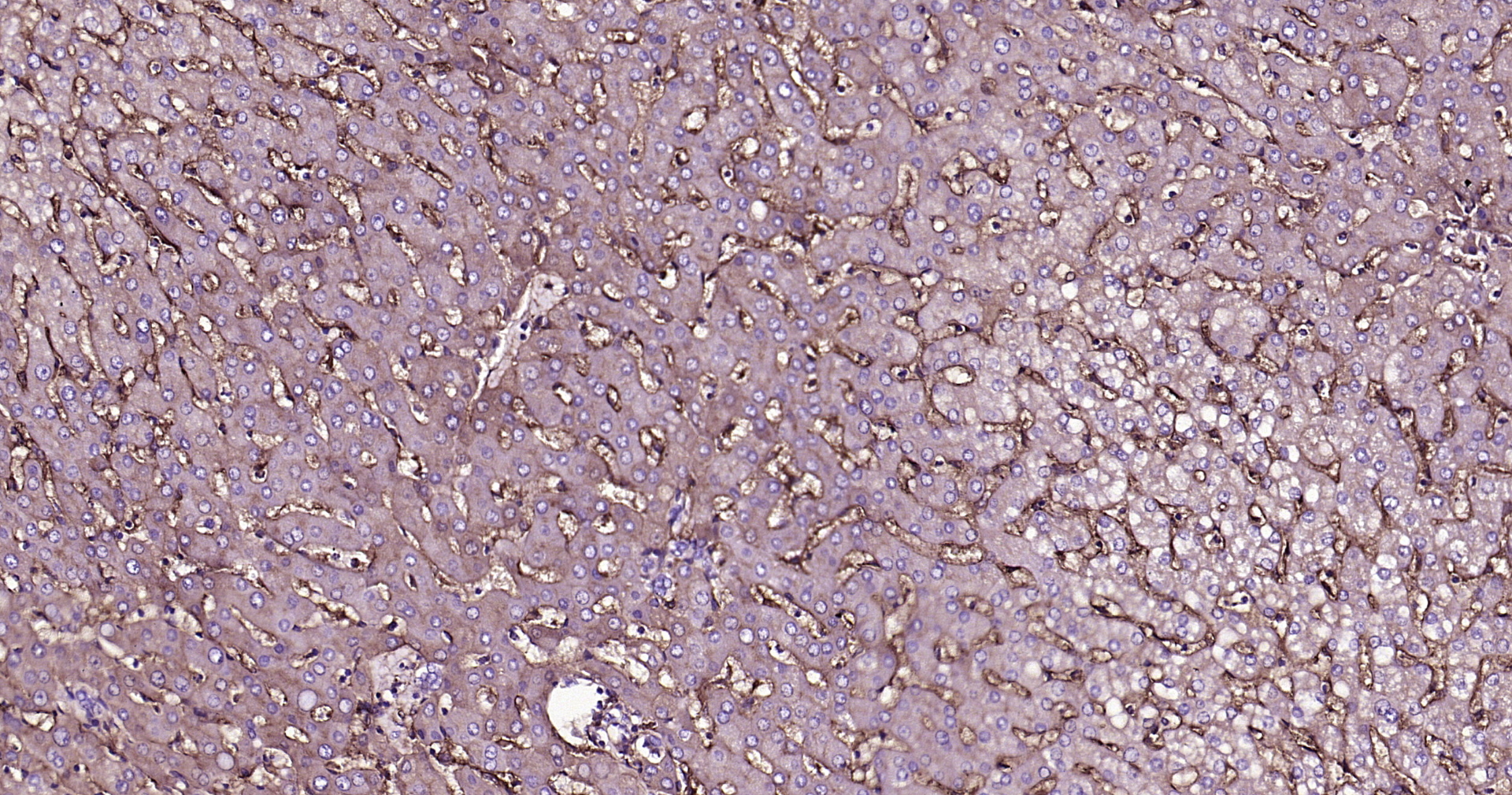
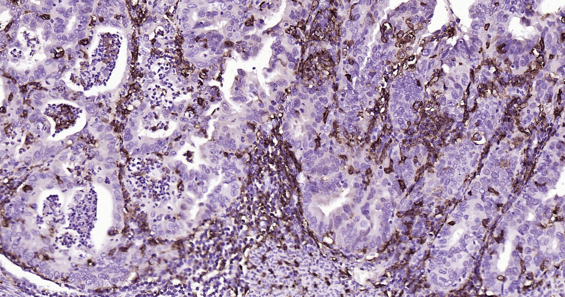
Catalog # bsm-52556r
Product Name CD14 Recombinant Antibody
Applications WB, IHC-P, IF(ICC), IHC
Reactivity Human
Specifications
Conjugation Unconjugated
Host Rabbit
Source Human CD14 between 20-350 amino acids
Clonality Recombinant
Isotype IgG
Concentration 1ug/ul
Purification Purified by Protein A.
Storage Buffer 0.01M TBS (pH 7.4), 1% BSA, 0.02% Proclin 300, and 50% Glycerol
Storage Condition Shipped at 4C. Store at -20C for one year. Avoid repeated freeze/thaw cycles.
Target
Gene ID 929
Swiss Prot P08571
Synonyms Monocyte differentiation antigen CD14, Myeloid cell-specific leucine-rich glycoprotein, CD_antigen: CD14, CD14
Background Coreceptor for bacterial lipopolysaccharide (PubMed:1698311, PubMed:23264655). In concert with LBP, binds to monomeric lipopolysaccharide and delivers it to the LY96/TLR4 complex, thereby mediating the innate immune response to bacterial lipopolysaccharide (LPS) (PubMed:20133493, PubMed:23264655). Acts via MyD88, TIRAP and TRAF6, leading to NF-kappa-B activation, cytokine secretion and the inflammatory response (PubMed:8612135). Acts as a coreceptor for TLR2:TLR6 heterodimer in response to diacylated lipopeptides and for TLR2:TLR1 heterodimer in response to triacylated lipopeptides, these clusters trigger signaling from the cell surface and subsequently are targeted to the Golgi in a lipid-raft dependent pathway (PubMed:16880211). Binds electronegative LDL (LDL-) and mediates the cytokine release induced by LDL- (PubMed:23880187).
Application Dilution
WB 1:300-5000
IHC-P 1:200-400
IF(ICC) 1:50-200
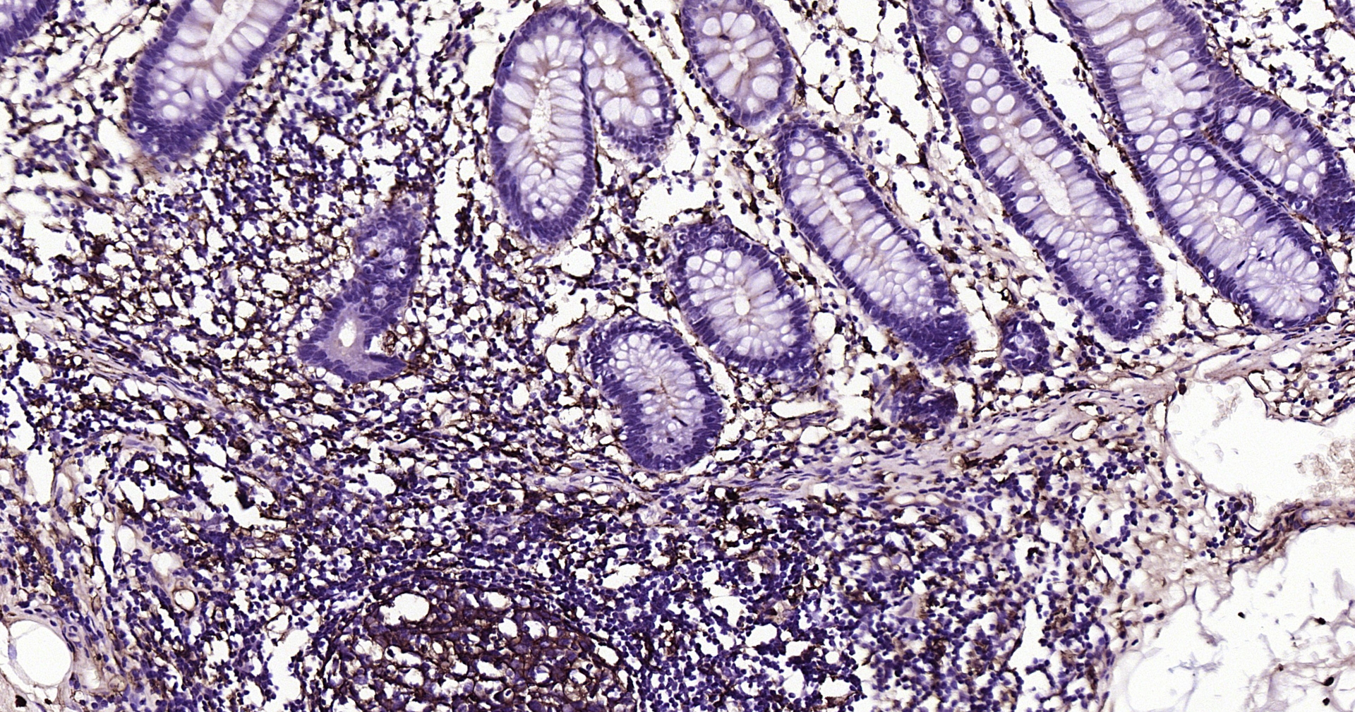
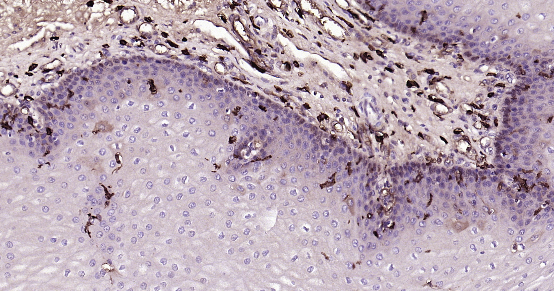
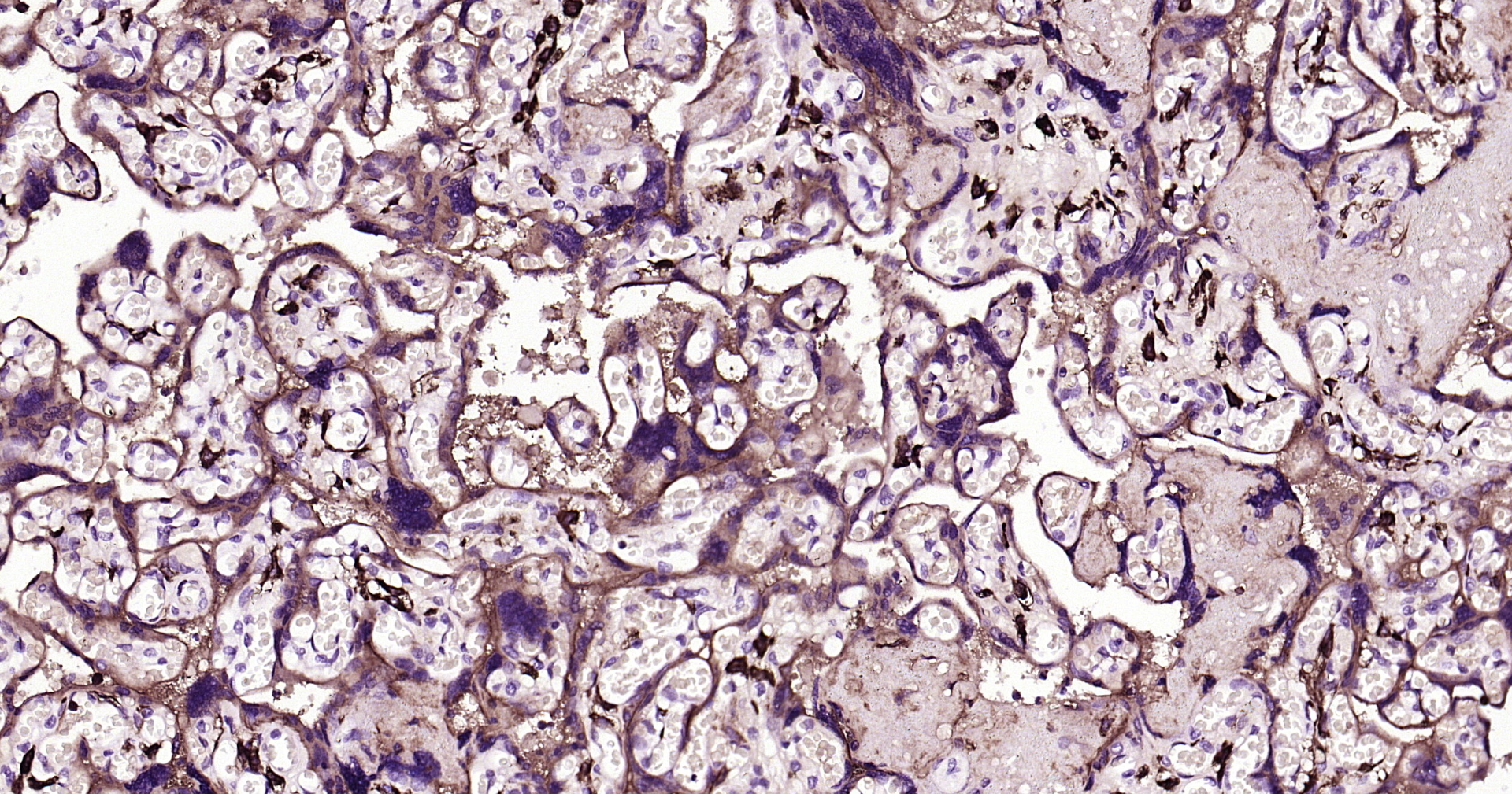
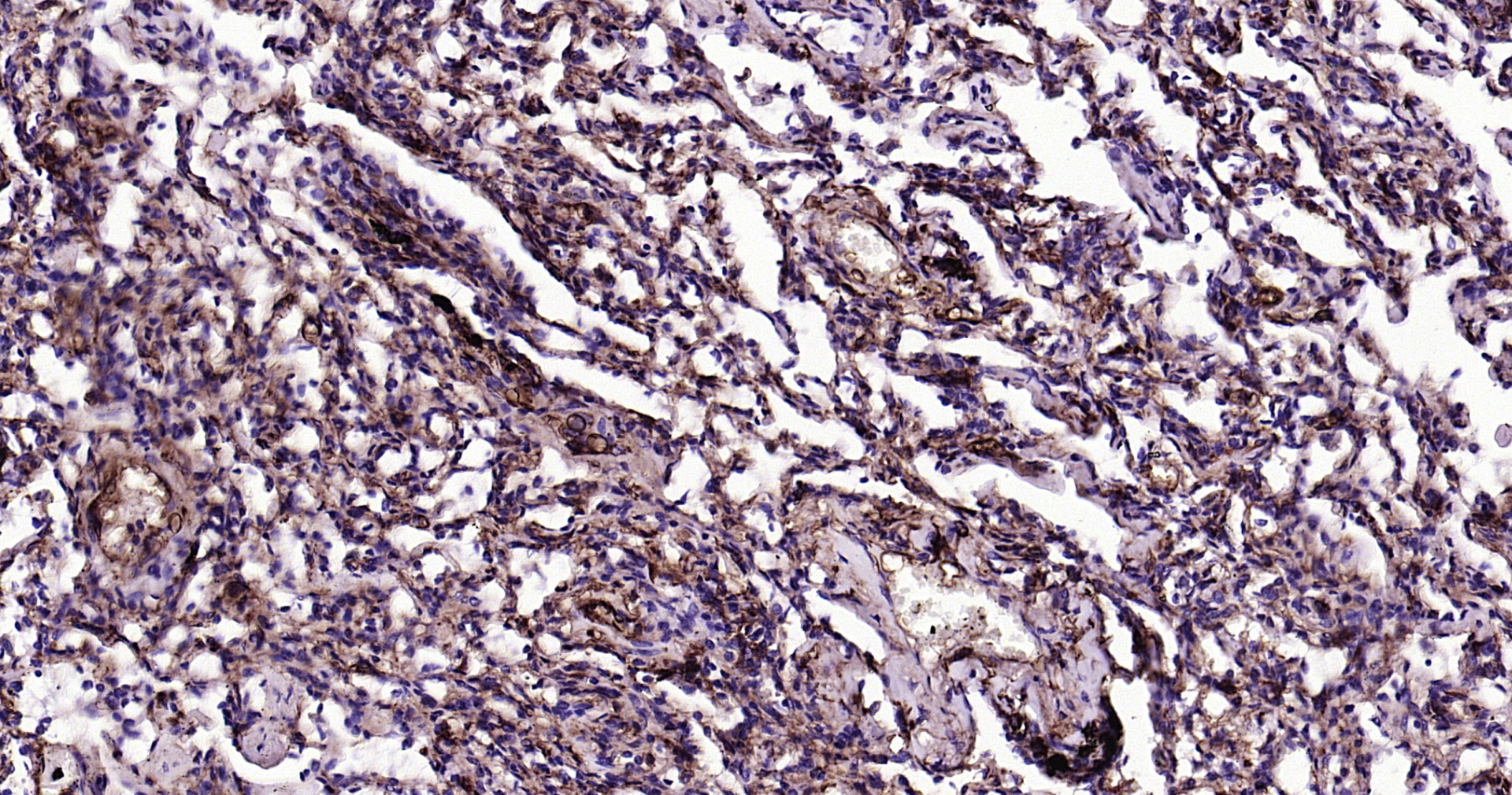
IHC