| Overview |
| bsm-52596r |
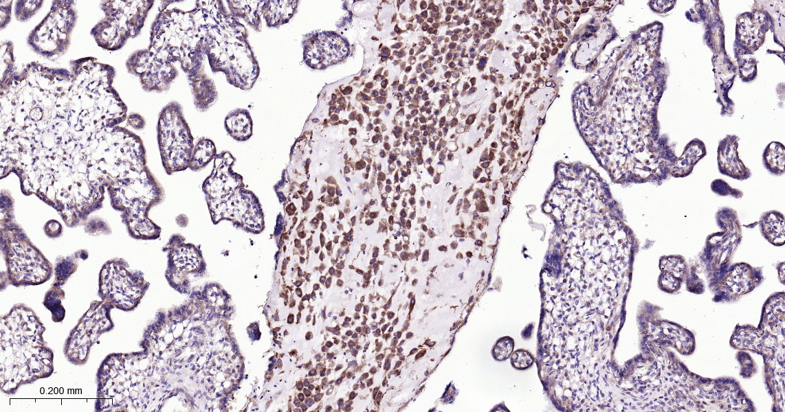
| ATG5 Recombinant Antibody |
| WB, IHC-P, IHC-F, IP, IF |
| Human, Mouse, Rat |
| Specifications |
| Unconjugated |
| Rabbit |
| Human ATG5 between 1 to 200 amino acids |
| Recombinant |
| IgG |
| Lot dependent |
| Purified by Protein A. |
| 0.01M TBS (pH 7.4), 1% BSA, 0.02% Proclin 300, and 50% Glycerol |
| Store at -20°C for 12 months. |
| Target |
| Q9H1Y0 |
| Autophagy protein 5, APG5-like, Apoptosis-specific protein, ATG5 |
| Involved in autophagic vesicle formation. Conjugation with ATG12, through a ubiquitin-like conjugating system involving ATG7 as an E1-like activating enzyme and ATG1 as an E2-like conjugating enzyme, is essential for its function. The ATG12-ATG5 conjugate acts as an E3-like enzyme which is required for lipidation of ATG8 family proteins and their association to the vesicle membranes. Involved in mitochondrial quality control after oxidative damage, and in subsequent cellular longevity. The ATG12-ATG5 conjugate also negatively regulates the innate antiviral immune response by blocking the type I IFN production pathway through direct association with RARRES3 and MAVS. Also plays a role in translation or delivery of incoming viral RNA to the translation apparatus. Plays a critical role in multiple aspects of lymphocyte development and is essential for both B and T lymphocyte survival and proliferation. Required for optimal processing and presentation of antigens for MHC II. Involved in the maintenance of axon morphology and membrane structures, as well as in normal adipocyte differentiation. Promotes primary ciliogenesis through removal of OFD1 from centriolar satellites and degradation of IFT2 via the autophagic pathway. May play an important role in the apoptotic process, possibly within the modified cytoskeleton. Its expression is a relatively late event in the apoptotic process, occurring downstream of caspase activity. Plays a crucial role in IFN-gamma-induced autophagic cell death by interacting with FADD. |
| Application Dilution |
| WB |
1:300-5000 |
| IHC-P |
1:200-400 |
| IHC-F |
1:100-500 |
| IP |
1-2ug |
| IF |
|