Receive 30% off all Monoclonal IHC antibodies with code "MONO-IHC-30"! Offer valid for US customers and available internationally through distributors.

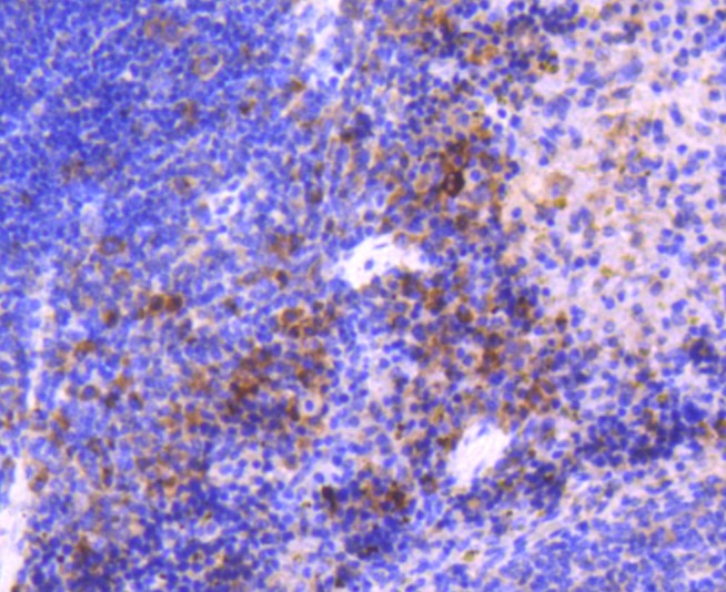
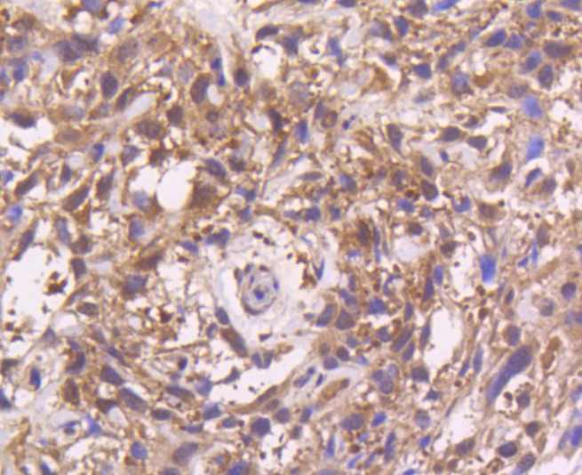
MEK3 (4C1) Monoclonal Antibody

Applications

  • WB
  • FCM
  • IHC-P
  • IF(ICC)
  • IHC

Reactivity

  • Human
  • Mouse
  • Rat
Overview
Catalog # bsm-52658R
Product Name MEK3 (4C1) Monoclonal Antibody
Applications WB, FCM, IHC-P, IF(ICC), IHC
Reactivity Human, Mouse, Rat
Specifications
Conjugation Unconjugated
Host Rabbit
Source Human MEK3 aa 150 to the C-terminus
Clonality Monoclonal
Clone # #REF!
Isotype IgG
Concentration 1ug/ul
Purification Purified by Protein A.
Storage Buffer 0.01M TBS(pH7.4) with 1% BSA, 0.02% Proclin300 and 50% Glycerol.
Storage Condition Store at -20C for 12 months.
Target
Gene ID 5606
Swiss Prot P46734
Synonyms Dual specificity mitogen-activated protein kinase kinase 3, MAPK/ERK kinase 3, Stress-activated protein kinase kinase 2, MAP kinase kinase 3, MAPKK 3, MEK 3, SAPK kinase 2, SAPKK-2, SAPKK2, MAP2K3
Background Dual specificity kinase. Is activated by cytokines and environmental stress in vivo. Catalyzes the concomitant phosphorylation of a threonine and a tyrosine residue in the MAP kinase p38. Part of a signaling cascade that begins with the activation of the adrenergic receptor ADRA1B and leads to the activation of MAPK14.
Application Dilution
WB 1:300-5000
FCM 1:20-100
IHC-P 1:200-400
IF(ICC) 1:50-200
IHC