Receive 30% off all Monoclonal IHC antibodies with code "MONO-IHC-30"! Offer valid for US customers and available internationally through distributors.

RUNX1+RUNX2+RUNX3 (1C3) Monoclonal Antibody

Applications

  • WB
  • FCM
  • IHC-P
  • IF(ICC)
  • IHC

Reactivity

  • Human
  • Mouse
  • Rat
Overview
Catalog # bsm-52674R
Product Name RUNX1+RUNX2+RUNX3 (1C3) Monoclonal Antibody
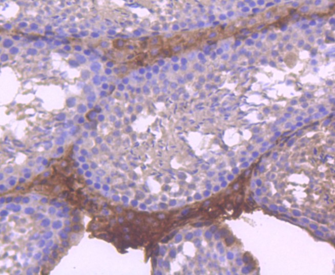
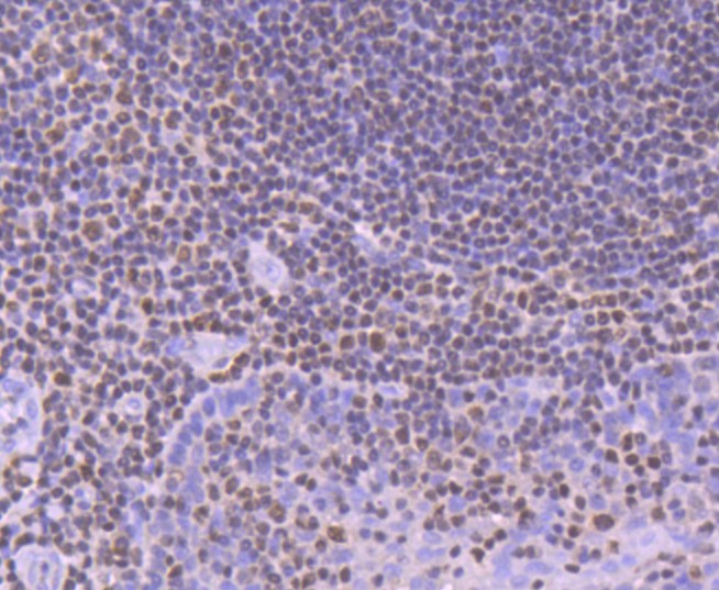
Applications WB, FCM, IHC-P, IF(ICC), IHC
Reactivity Human, Mouse, Rat
Specifications
Conjugation Unconjugated
Host Rabbit
Source C terminus Human RUNX1
Clonality Monoclonal
Clone # #REF!
Isotype IgG
Concentration 1ug/ul
Purification Purified by Protein A.
Storage Buffer 0.01M TBS(pH7.4) with 1% BSA, 0.02% Proclin300 and 50% Glycerol.
Storage Condition Store at -20C for 12 months.
Target
Swiss Prot Q01196, Q13761, Q13950
Synonyms Runt-related transcription factor 1, Acute myeloid leukemia 1 protein, Core-binding factor subunit alpha-2, Oncogene AML-1, Polyomavirus enhancer-binding protein 2 alpha B subunit, SL3-3 enhancer factor 1 alpha B subunit, SL3/AKV core-binding factor alpha B subunit, Runt-related transcription factor 2, Acute myeloid leukemia 3 protein, Core-binding factor subunit alpha-1, Oncogene AML-3, Osteoblast-specific transcription factor 2, Polyomavirus enhancer-binding protein 2 alpha A subunit, SL3-3 enhancer factor 1 alpha A subunit, SL3/AKV core-binding factor alpha A subunit, Runt-related transcription factor 3, Acute myeloid leukemia 2 protein, Core-binding factor subunit alpha-3, Oncogene AML-2, Polyomavirus enhancer-binding protein 2 alpha C subunit, SL3-3 enhancer factor 1 alpha C subunit, SL3/AKV core-binding factor alpha C subunit, CBF-alpha-2, PEA2-alpha B, PEBP2-alpha B, RUNX1, CBF-alpha-1, OSF-2, PEA2-alpha A, PEBP2-alpha A, RUNX2, CBF-alpha-3, PEA2-alpha C, PEBP2-alpha C, RUNX3
Background CBF binds to the core site, 5'-PYGPYGGT-3', of a number of enhancers and promoters, including murine leukemia virus, polyomavirus enhancer, T-cell receptor enhancers, LCK, IL-3 and GM-CSF promoters. The alpha subunit binds DNA and appears to have a role in the development of normal hematopoiesis. Isoform AML-1L interferes with the transactivation activity of RUNX1. Acts synergistically with ELF4 to transactivate the IL-3 promoter and with ELF2 to transactivate the mouse BLK promoter. Inhibits KAT6B-dependent transcriptional activation. Controls the anergy and suppressive function of regulatory T-cells (Treg) by associating with FOXP3. Activates the expression of IL2 and IFNG and down-regulates the expression of TNFRSF18, IL2RA and CTLA4, in conventional T-cells (PubMed:17377532).
Application Dilution
WB 1:300-5000
FCM 1:20-100
IHC-P 1:200-400
IF(ICC) 1:50-200
IHC