Receive 30% off all Monoclonal IHC antibodies with code "MONO-IHC-30"! Offer valid for US customers and available internationally through distributors.

Trk A + B + C Recombinant Antibody

Applications

  • WB
  • IHC-P
  • IHC-F
  • IF
  • ICC/IF

Reactivity

  • Human
  • Mouse
  • Rat
Overview
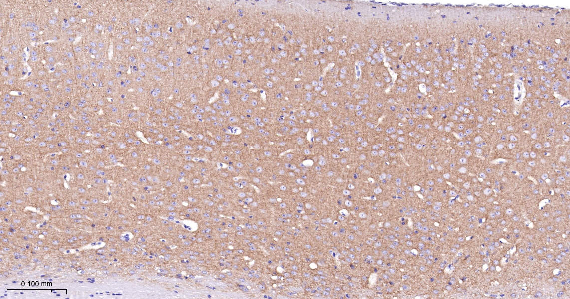
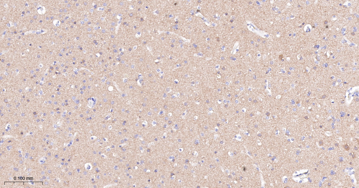
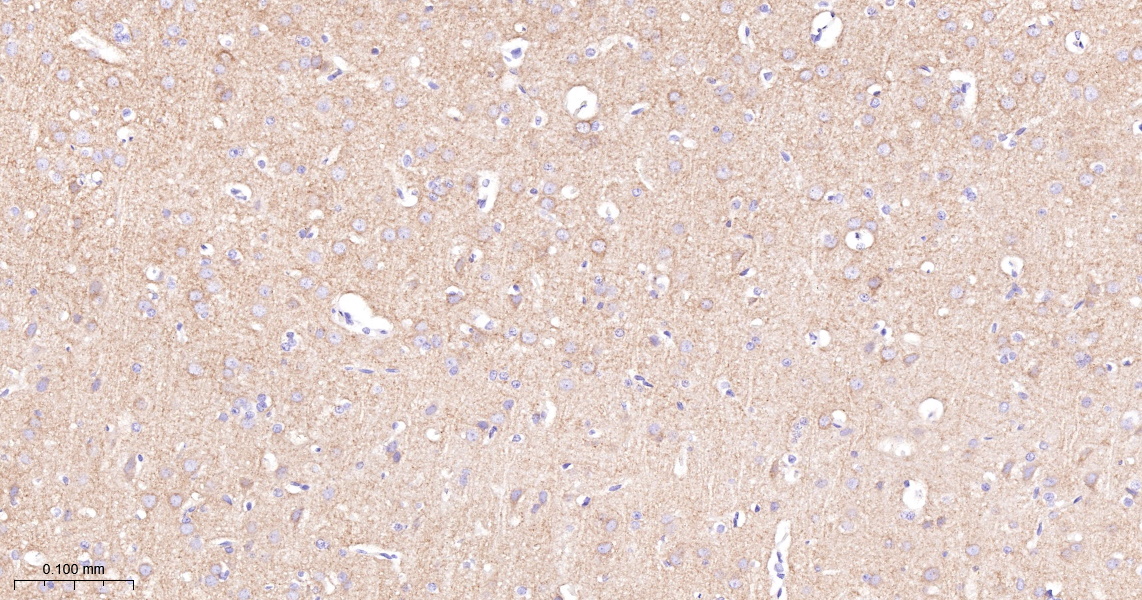
Catalog # bsm-52715r
Product Name Trk A + B + C Recombinant Antibody
Applications WB, IHC-P, IHC-F, IF, ICC/IF
Reactivity Human, Mouse, Rat
Specifications
Conjugation Unconjugated
Host Rabbit
Source KLH conjugated synthetic peptide derived from mouse Trk A
Clonality Recombinant
Isotype IgG
Concentration Lot Dependent
Purification Purified by Protein A.
Storage Buffer 0.01M TBS (pH 7.4), 1% BSA, 0.02% Proclin 300, and 50% Glycerol
Storage Condition Shipped at 4C. Store at -20C for one year. Avoid repeated freeze/thaw cycles.
Target
Swiss Prot P04629, Q16288, Q16620
Synonyms BDNF/NT-3 growth factors receptor antibody; gp140trk antibody; GP145-TrkB antibody; GP145-TrkC antibody; High affinity nerve growth factor receptor antibody; MTC antibody; Neurotrophic tyrosine kinase receptor type 1 antibody; Neurotrophic tyrosine kinase receptor type 2 antibody; Neurotrophic tyrosine kinase receptor type 3 antibody; NT-3 growth factor receptor antibody; NTRK1 antibody; NTRK2 antibody; NTRK3 antibody; p140-TrkA antibody; TRK antibody; Trk-A antibody; Trk-B antibody; Trk-C antibody
Background The family of Trk receptor tyrosine kinases consists of TrkA, TrkB, and TrkC. While the sequence of these family members is highly conserved, they are activated by different neurotrophins: TrkA by NGF, TrkB by BDNF or NT4, and TrkC by NT3. In the adult nervous system, the Trk receptors regulate synaptic strength and plasticity. TrkA regulates proliferation and is important for development and maturation of the nervous system. Point mutations, deletions, and chromosomal rearrangements (chimeras) cause ligand-independent receptor dimerization and activation of TrkA. TrkA is activated in many malignancies including breast, ovarian, prostate, and thyroid carcinomas. TrkB is overexpressed in tumors such as neuroblastoma, prostate adenocarcinoma and pancreatic ductal adenocarcinoma. In neuroblastomas overexpression of TrkB correlates with unfavorable disease outcome when autocrine loops signaling tumor survival are potentiated by additional overexpression of brain-derived neurotrophic factor (BDNF). An alternatively spliced truncated TrkB isoform lacking the kinase domain is overexpressed in Wilms tumors and this isoform may act as a dominant-negative to TrkB signaling. Altered TrkC expression and corresponding gene mutations are seen in various forms of cancer, with increased expression a positive prognostic indicator in patients with medulloblastoma.
Application Dilution
WB 1:300-5000
IHC-P 1:200-400
IHC-F 1:100-500
IF
ICC/IF 1:50-100