Receive 30% off all Monoclonal IHC antibodies with code "MONO-IHC-30"! Offer valid for US customers and available internationally through distributors.

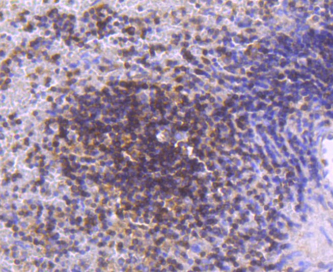
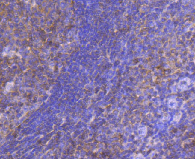
STAT5A + STAT5B (4C4) Monoclonal Antibody

Applications

  • WB
  • FCM
  • IHC-P
  • IF(ICC)
  • IHC

Reactivity

  • Human
  • Mouse
  • Rat
Overview
Catalog # bsm-52732R
Product Name STAT5A + STAT5B (4C4) Monoclonal Antibody
Applications WB, FCM, IHC-P, IF(ICC), IHC
Reactivity Human, Mouse, Rat
Specifications
Conjugation Unconjugated
Host Rabbit
Source Mouse STAT5A between 600 amino acids to C-terminus
Clonality Monoclonal
Clone # #REF!
Isotype IgG
Concentration 1ug/ul
Purification Purified by Protein A.
Storage Buffer 0.01M TBS(pH7.4) with 1% BSA, 0.02% Proclin300 and 50% Glycerol.
Storage Condition Store at -20C for 12 months.
Target
Swiss Prot P42230, P42232
Synonyms Signal transducer and activator of transcription 5A, Signal transducer and activator of transcription 5B, STAT5A, STAT5B
Background Stat5 (Signal Transducers and Activators of Transcription 5) is important in regulating T cell functions involving the receptors for Interleukin-2 (IL-2). IL-2 stimulates the rapid phosphorylation of both serine and tyrosine residues of Stat5a and Stat5b in human T lymphocytes and in several IL-2-responsive lymphocytic cell lines. IL-2 differentially induces serine phosphorylation of Stat5a and Stat5b on Ser726 and Ser731, respectively. Stat5b is preferentially phosphorylated and displays more protracted serine phosphorylation kinetics than Stat5a. Both the acid-rich region and the COOH terminus of IL-2Rb can independently mediate IL-2-induced Stat 5a/b serine phosphorylation, suggesting that Stat5a/b serine phosphorylation occurs at a postreceptor level. Stat5a is phosphorylated on Tyr694 in a prolactin-sensitive manner, whereas serine phosphorylation is constitutive. Activation of Stat5 by IL-2 may help govern the biological effects of IL-2 during the immune response.
Application Dilution
WB 1:300-5000
FCM 1:20-100
IHC-P 1:200-400
IF(ICC) 1:50-200
IHC