Receive 30% off all Monoclonal IHC antibodies with code "MONO-IHC-30"! Offer valid for US customers and available internationally through distributors.

CD3D Recombinant Antibody

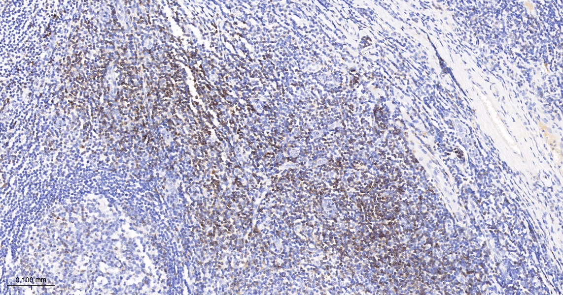
Applications

  • WB
  • IHC-P
  • IHC-F
  • IP
  • IF
  • Flow-Cyt
  • ICC/IF

Reactivity

  • Human
Overview
Catalog # bsm-52744r
Product Name CD3D Recombinant Antibody
Applications WB, IHC-P, IHC-F, IP, IF, Flow-Cyt, ICC/IF
Reactivity Human
Specifications
Conjugation Unconjugated
Host Rabbit
Source C terminus human CD3D
Clonality Recombinant
Isotype IgG
Concentration Lot dependent
Purification Purified by Protein A.
Storage Buffer 0.01M TBS (pH 7.4), 1% BSA, 0.02% Proclin 300, and 50% Glycerol
Storage Condition Store at -20°C for 12 months.
Target
Gene ID 915
Swiss Prot P04234
Synonyms T-cell surface glycoprotein CD3 delta chain, T-cell receptor T3 delta chain, CD_antigen: CD3d, CD3D
Background Part of the TCR-CD3 complex present on T-lymphocyte cell surface that plays an essential role in adaptive immune response. When antigen presenting cells (APCs) activate T-cell receptor (TCR), TCR-mediated signals are transmitted across the cell membrane by the CD3 chains CD3D, CD3E, CD3G and CD3Z. All CD3 chains contain immunoreceptor tyrosine-based activation motifs (ITAMs) in their cytoplasmic domain. Upon TCR engagement, these motifs become phosphorylated by Src family protein tyrosine kinases LCK and FYN, resulting in the activation of downstream signaling pathways (PubMed:2470098). In addition of this role of signal transduction in T-cell activation, CD3D plays an essential role in thymocyte differentiation. Indeed, participates in correct intracellular TCR-CD3 complex assembly and surface expression. In absence of a functional TCR-CD3 complex, thymocytes are unable to differentiate properly. Interacts with CD4 and CD8 and thus serves to establish a functional link between the TCR and coreceptors CD4 and CD8, which is needed for activation and positive selection of CD4 or CD8 T-cells(PubMed:12215456).
Application Dilution
WB 1:300-5000
IHC-P 1:200-400
IHC-F 1:100-500
IP 1-2ug
IF
Flow-Cyt 1ug/Test
ICC/IF 1:50-100