Receive 30% off all Monoclonal IHC antibodies with code "MONO-IHC-30"! Offer valid for US customers and available internationally through distributors.

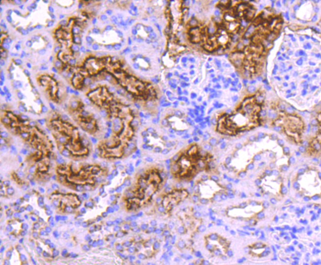
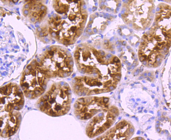
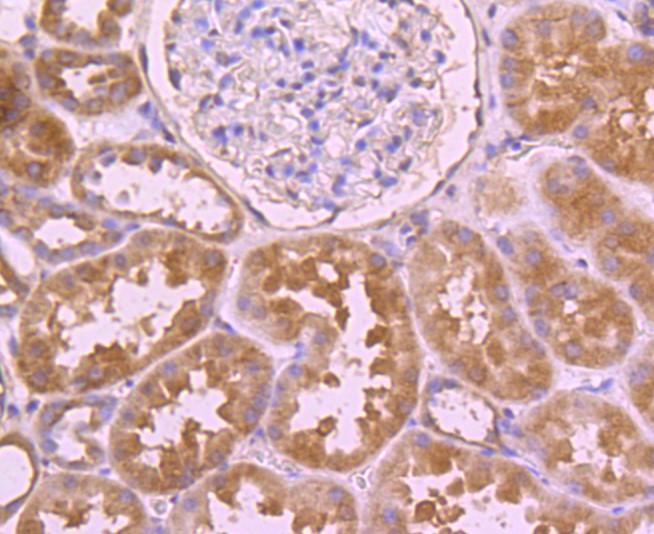
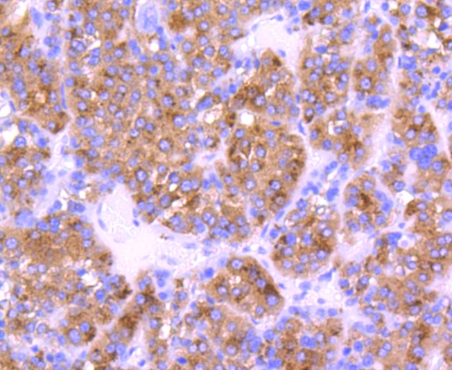
Cystatin C (5C2) Monoclonal Antibody

Applications

  • WB
  • IHC-P
  • IF(ICC)
  • IHC

Reactivity

  • Human
  • Mouse
  • Rat
Overview
Catalog # bsm-52759R
Product Name Cystatin C (5C2) Monoclonal Antibody
Applications WB, IHC-P, IF(ICC), IHC
Reactivity Human, Mouse, Rat
Specifications
Conjugation Unconjugated
Host Rabbit
Source Human Cystatin C between 1-150 amino acids
Clonality Monoclonal
Clone # #REF!
Isotype IgG
Concentration 1ug/ul
Purification Purified by Protein A.
Storage Buffer 0.01M TBS(pH7.4) with 1% BSA, 0.02% Proclin300 and 50% Glycerol.
Storage Condition Store at -20C for 12 months.
Target
Gene ID 1471
Swiss Prot P01034
Synonyms Cystatin-C, Cystatin-3, Gamma-trace, Neuroendocrine basic polypeptide, Post-gamma-globulin, CST3
Background As an inhibitor of cysteine proteinases, this protein is thought to serve an important physiological role as a local regulator of this enzyme activity.
Application Dilution
WB 1:300-5000
IHC-P 1:200-400
IF(ICC) 1:50-200
IHC