Receive 30% off all Monoclonal IHC antibodies with code "MONO-IHC-30"! Offer valid for US customers and available internationally through distributors.

IGF2 Recombinant Antibody

Applications

  • WB
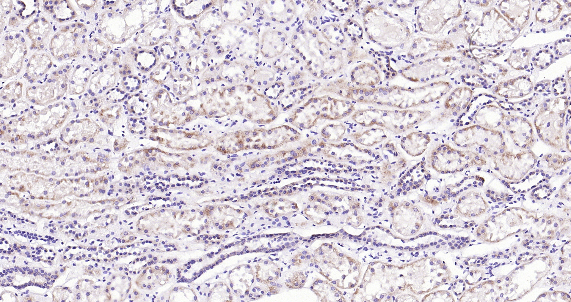
  • IHC-P
  • IF(ICC)
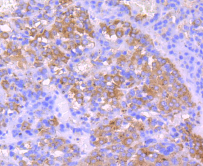
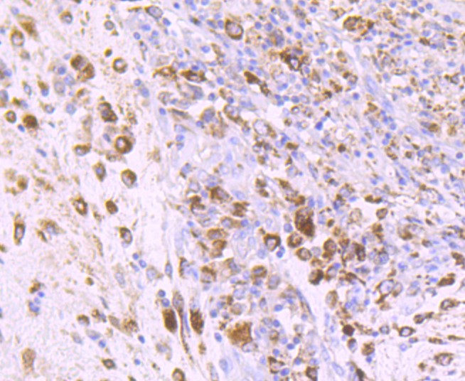
  • IHC

Reactivity

  • Human
Overview
Catalog # bsm-52776r
Product Name IGF2 Recombinant Antibody
Applications WB, IHC-P, IF(ICC), IHC
Reactivity Human
Specifications
Conjugation Unconjugated
Host Rabbit
Source Recombinant protein within Human IGF2 aa 50-150
Clonality Recombinant
Isotype IgG
Concentration 1ug/ul
Purification Purified by Protein A.
Storage Buffer 0.01M TBS (pH 7.4), 1% BSA, 0.02% Proclin 300, and 50% Glycerol
Storage Condition Shipped at 4C. Store at -20C for one year. Avoid repeated freeze/thaw cycles.
Target
Gene ID 3481
Swiss Prot P01344
Synonyms Insulin-like growth factor II, Somatomedin-A, T3M-11-derived growth factor, IGF-II
Background The insulin-like growth factors possess growth-promoting activity. In vitro, they are potent mitogens for cultured cells. IGF-II is influenced by placental lactogen and may play a role in fetal development. Preptin undergoes glucose-mediated co-secretion with insulin, and acts as physiological amplifier of glucose-mediated insulin secretion. Exhibits osteogenic properties by increasing osteoblast mitogenic activity through phosphoactivation of MAPK1 and MAPK3.
Application Dilution
WB 1:300-5000
IHC-P 1:200-400
IF(ICC) 1:50-200
IHC