Receive 30% off all Monoclonal IHC antibodies with code "MONO-IHC-30"! Offer valid for US customers and available internationally through distributors.

Bmi1 (1C1) Monoclonal Antibody

Applications

  • WB
  • IHC-P
  • IF(ICC)
  • IHC

Reactivity

  • Human
  • Rat
Overview
Catalog # bsm-52777R
Product Name Bmi1 (1C1) Monoclonal Antibody
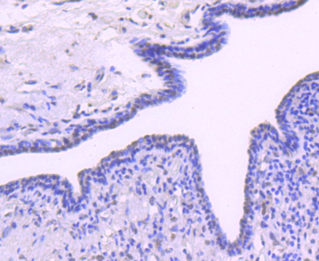
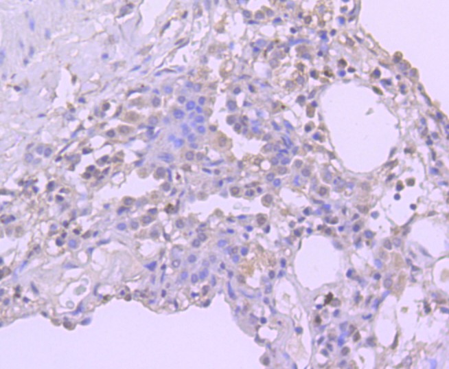
Applications WB, IHC-P, IF(ICC), IHC
Reactivity Human, Rat
Specifications
Conjugation Unconjugated
Host Rabbit
Source C terminal Human Bmi1
Clonality Monoclonal
Clone # #REF!
Isotype IgG
Concentration 1ug/ul
Purification Purified by Protein A.
Storage Buffer 0.01M TBS(pH7.4) with 1% BSA, 0.02% Proclin300 and 50% Glycerol.
Storage Condition Store at -20C for 12 months.
Target
Swiss Prot P35226
Synonyms Polycomb complex protein BMI-1, Polycomb group RING finger protein 4, RING finger protein 51, BMI1
Background Component of a Polycomb group (PcG) multiprotein PRC1-like complex, a complex class required to maintain the transcriptionally repressive state of many genes, including Hox genes, throughout development. PcG PRC1 complex acts via chromatin remodeling and modification of histones; it mediates monoubiquitination of histone H2A 'Lys-119', rendering chromatin heritably changed in its expressibility. In the PRC1 complex, it is required to stimulate the E3 ubiquitin-protein ligase activity of RNF2/RING2.
Application Dilution
WB 1:300-5000
IHC-P 1:200-400
IF(ICC) 1:50-200
IHC