Receive 30% off all Monoclonal IHC antibodies with code "MONO-IHC-30"! Offer valid for US customers and available internationally through distributors.

Src (8C4) Monoclonal Antibody

Applications

  • WB
  • FCM
  • IHC-P
  • IF(ICC)
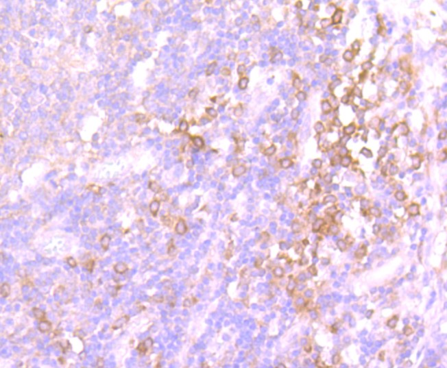
  • IHC

Reactivity

  • Human
  • Mouse
  • Rat
Overview
Catalog # bsm-52790R
Product Name Src (8C4) Monoclonal Antibody
Applications WB, FCM, IHC-P, IF(ICC), IHC
Reactivity Human, Mouse, Rat
Specifications
Conjugation Unconjugated
Host Rabbit
Source Human Src between 1 to 100 amino acids
Clonality Monoclonal
Clone # #REF!
Isotype IgG
Concentration 1ug/ul
Purification Purified by Protein A.
Storage Buffer 0.01M TBS(pH7.4) with 1% BSA, 0.02% Proclin300 and 50% Glycerol.
Storage Condition Store at -20C for 12 months.
Target
Gene ID 6714
Swiss Prot P12931
Synonyms Proto-oncogene tyrosine-protein kinase Src, Proto-oncogene c-Src, pp60c-src, p60-Src, SRC
Background This gene is highly similar to the v-src gene of Rous sarcoma virus. This proto-oncogene may play a role in the regulation of embryonic development and cell growth. The protein encoded by this gene is a tyrosine-protein kinase whose activity can be inhibited by phosphorylation by c-SRC kinase. Mutations in this gene could be involved in the malignant progression of colon cancer. Two transcript variants encoding the same protein have been found for this gene. [provided by RefSeq, Jul 2008]
Application Dilution
WB 1:300-5000
FCM 1:20-100
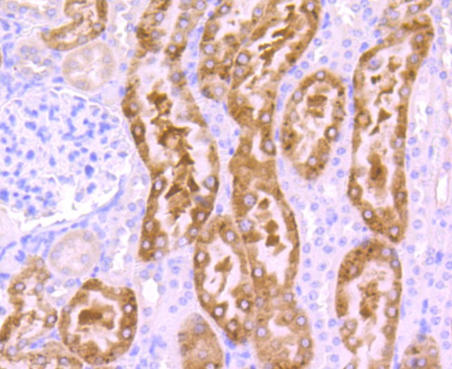
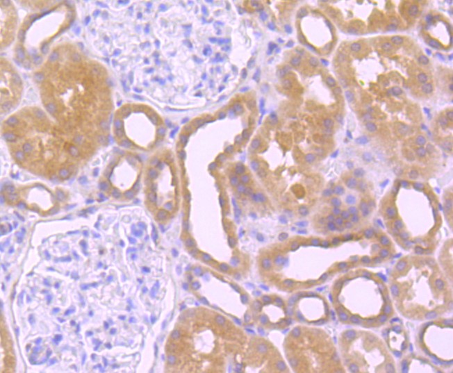
IHC-P 1:200-400
IF(ICC) 1:50-200
IHC