Receive 30% off all Monoclonal IHC antibodies with code "MONO-IHC-30"! Offer valid for US customers and available internationally through distributors.

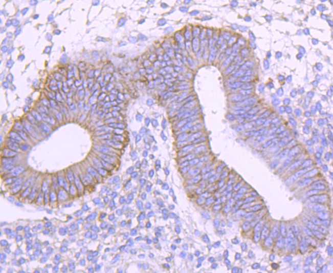
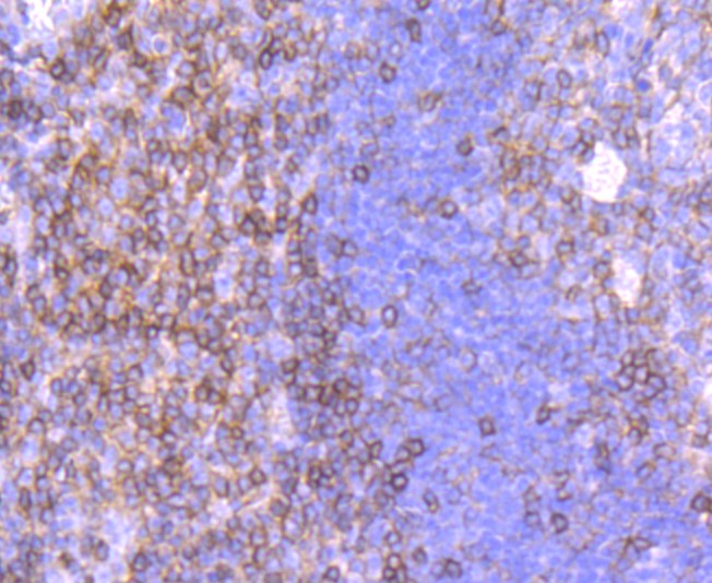
CD99 (3C3) Monoclonal Antibody

Applications

  • WB
  • FCM
  • IHC-P
  • IF(ICC)
  • IHC

Reactivity

  • Human
Overview
Catalog # bsm-52816R
Product Name CD99 (3C3) Monoclonal Antibody
Applications WB, FCM, IHC-P, IF(ICC), IHC
Reactivity Human
Specifications
Conjugation Unconjugated
Host Rabbit
Source Synthetic peptide corresponding to the extracellular domain of Human CD99
Clonality Monoclonal
Clone # #REF!
Isotype IgG
Concentration 1ug/ul
Purification Purified by Protein A.
Storage Buffer 0.01M TBS(pH7.4) with 1% BSA, 0.02% Proclin300 and 50% Glycerol.
Storage Condition Store at -20C for 12 months.
Target
Gene ID 4267
Swiss Prot P14209
Synonyms CD99 antigen, 12E7, E2 antigen, Protein MIC2, T-cell surface glycoprotein E2, CD_antigen: CD99, CD99
Background Involved in T-cell adhesion processes and in spontaneous rosette formation with erythrocytes. Plays a role in a late step of leukocyte extravasation helping leukocytes to overcome the endothelial basement membrane. Acts at the same site as, but independently of, PECAM1. Involved in T-cell adhesion processes (By similarity).
Application Dilution
WB 1:300-5000
FCM 1:20-100
IHC-P 1:200-400
IF(ICC) 1:50-200
IHC