Receive 30% off all Monoclonal IHC antibodies with code "MONO-IHC-30"! Offer valid for US customers and available internationally through distributors.

Bcl-2 Recombinant Antibody

Applications

  • WB
  • FCM
  • IHC-P
  • IF(ICC)
  • IHC

Reactivity

  • Human
  • Mouse
Overview
Catalog # bsm-52833R
Product Name Bcl-2 Recombinant Antibody
Applications WB, FCM, IHC-P, IF(ICC), IHC
Reactivity Human, Mouse
Specifications
Conjugation Unconjugated
Host Rabbit
Source Full length protein
Clonality Monoclonal
Clone # #REF!
Isotype IgG
Concentration 1ug/ul
Purification Purified by Protein A.
Storage Buffer 0.01M TBS(pH7.4) with 1% BSA, 0.02% Proclin300 and 50% Glycerol.
Storage Condition Shipped at 4_. Store at -20_ for one year. Avoid repeated freeze/thaw cycles.
Target
Gene ID 596
Swiss Prot P10415
Synonyms Apoptosis regulator Bcl-2, BCL2
Background Suppresses apoptosis in a variety of cell systems including factor-dependent lymphohematopoietic and neural cells. Regulates cell death by controlling the mitochondrial membrane permeability. Appears to function in a feedback loop system with caspases. Inhibits caspase activity either by preventing the release of cytochrome c from the mitochondria and/or by binding to the apoptosis-activating factor (APAF-1).
Application Dilution
WB 1:300-5000
FCM 1:20-100
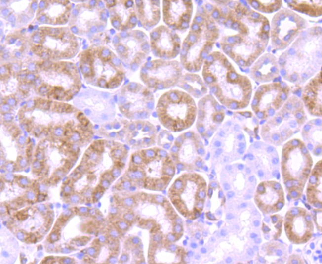
IHC-P 1:200-400
IF(ICC) 1:50-200
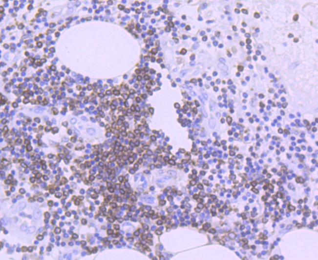
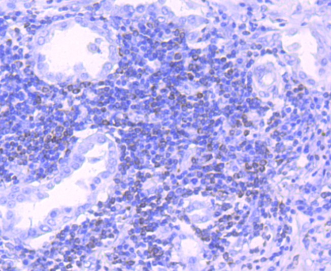
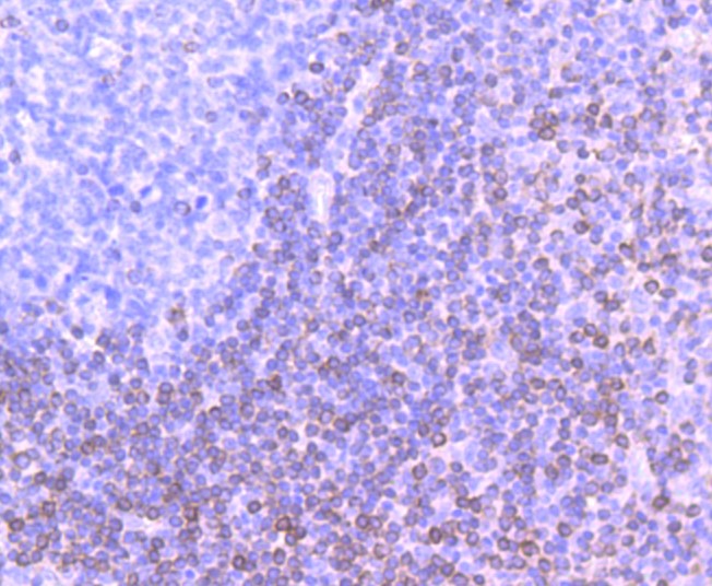
IHC