Receive 30% off all Monoclonal IHC antibodies with code "MONO-IHC-30"! Offer valid for US customers and available internationally through distributors.

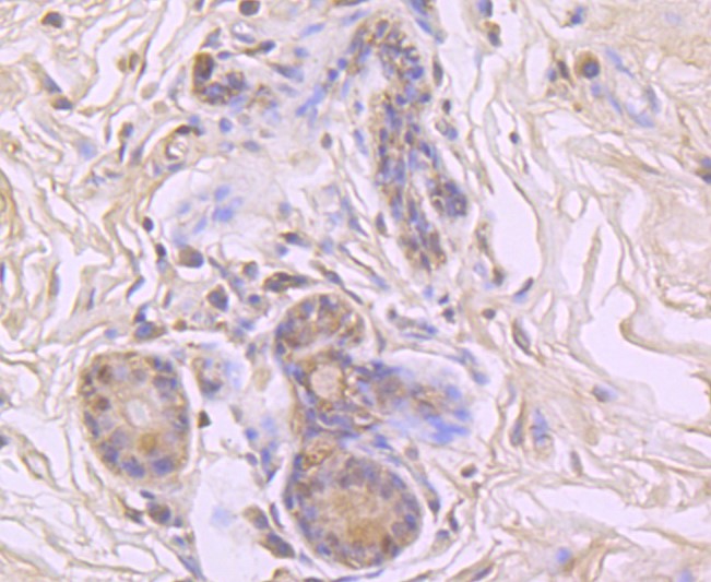
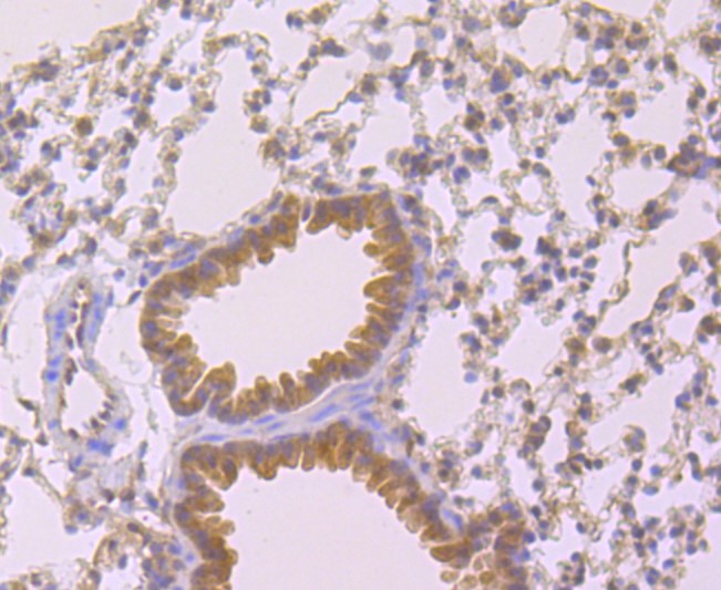
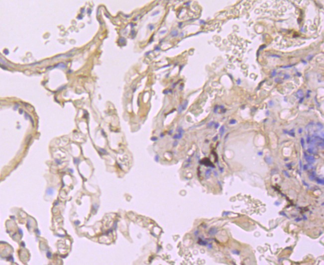
Cyclophilin A (1C6) Monoclonal Antibody

Applications

  • WB
  • IHC-P

Reactivity

  • Human
  • Mouse
  • Rat
Overview
Catalog # bsm-52908R
Product Name Cyclophilin A (1C6) Monoclonal Antibody
Applications WB, IHC-P
Reactivity Human, Mouse, Rat
Specifications
Conjugation Unconjugated
Host Rabbit
Source N terminus human Cyclophilin A
Clonality Monoclonal
Clone # #REF!
Isotype IgG
Concentration 1ug/ul
Purification Purified by Protein A.
Storage Buffer 0.01M TBS(pH7.4) with 1% BSA, 0.02% Proclin300 and 50% Glycerol.
Storage Condition Store at -20C for 12 months.
Target
Gene ID 5478
Swiss Prot P62937
Synonyms Peptidyl-prolyl cis-trans isomerase A, Cyclophilin A, Cyclosporin A-binding protein, Rotamase A, Peptidyl-prolyl cis-trans isomerase A, N-terminally processed, PPIase A, PPIA
Background PPIases accelerate the folding of proteins. It catalyzes the cis-trans isomerization of proline imidic peptide bonds in oligopeptides.
Application Dilution
WB 1:300-5000
IHC-P 1:200-400