Receive 30% off all Monoclonal IHC antibodies with code "MONO-IHC-30"! Offer valid for US customers and available internationally through distributors.

CD73 Recombinant Antibody

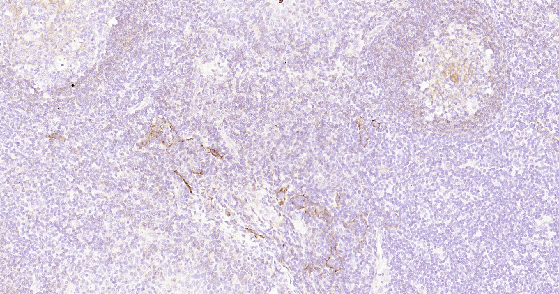
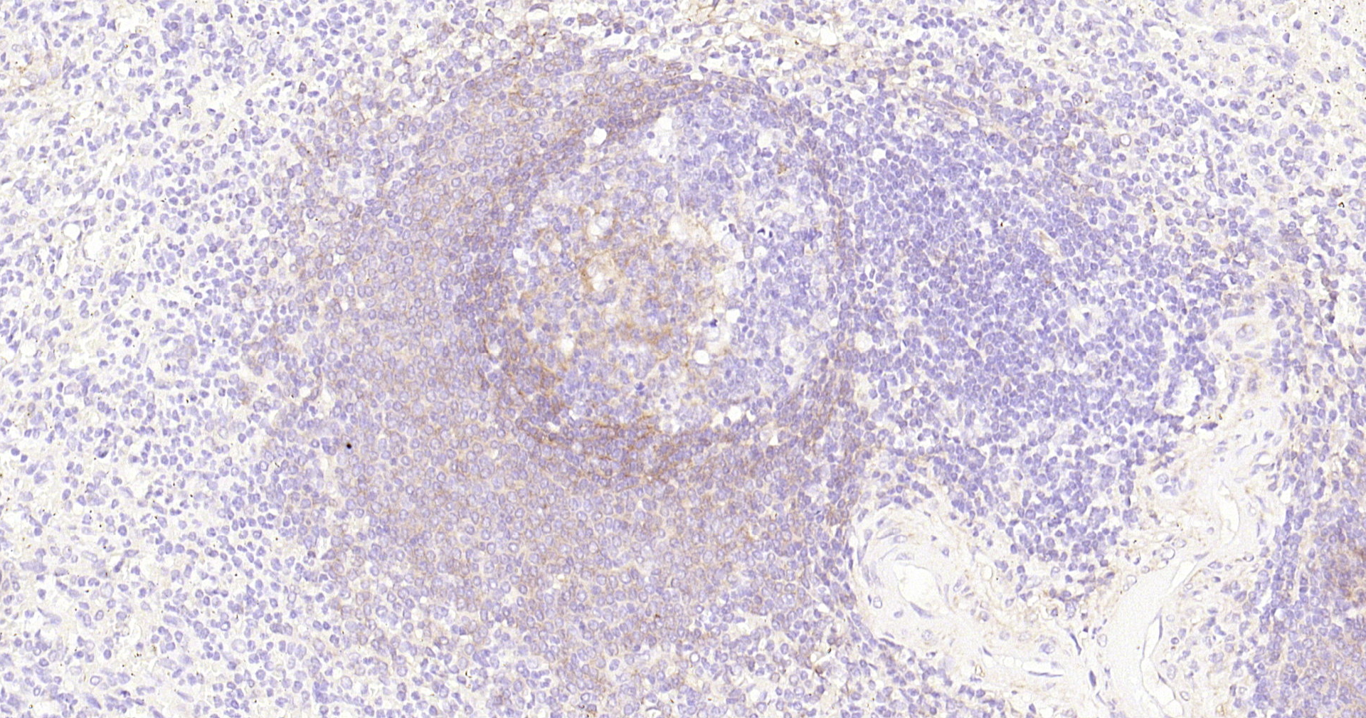
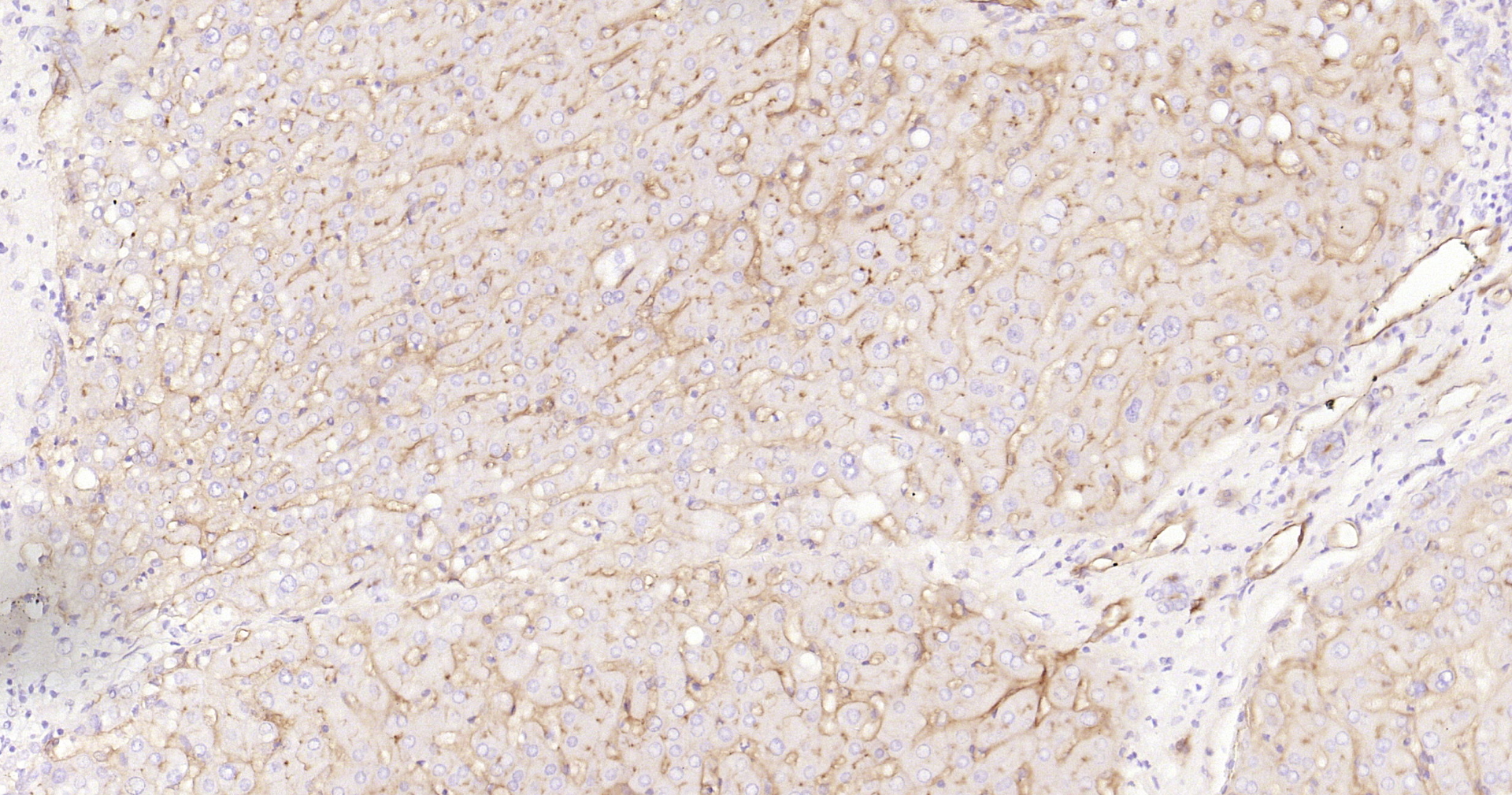
Applications

  • WB
  • FCM
  • IHC-P
  • IF(ICC)

Reactivity

  • Human
Overview
Catalog # bsm-52916r
Product Name CD73 Recombinant Antibody
Applications WB, FCM, IHC-P, IF(ICC)
Reactivity Human
Specifications
Conjugation Unconjugated
Host Rabbit
Source Human CD73 between 1 to 100 amino acids.
Clonality Recombinant
Isotype IgG
Concentration 1ug/ul
Purification Purified by Protein A.
Storage Buffer 0.01M TBS (pH 7.4), 1% BSA, 0.02% Proclin 300, and 50% Glycerol
Storage Condition Store at -20°C for 12 months.
Target
Gene ID 4907
Swiss Prot P21589
Synonyms 5'-nucleotidase, Ecto-5'-nucleotidase, 5'-NT, CD73, NT5E
Background Hydrolyzes extracellular nucleotides into membrane permeable nucleosides. Exhibits AMP-, NAD-, and NMN-nucleosidase activities.
Application Dilution
WB 1:300-5000
FCM 1:20-100
IHC-P 1:200-400
IF(ICC) 1:50-200