RECEIVE 25% OFF PUBLISHED ANTIBODIES WITH CODE "PUB25"! Offer valid for US customers and available internationally through distributors.

CD171/L1CAM Recombinant Antibody

Applications

  • WB
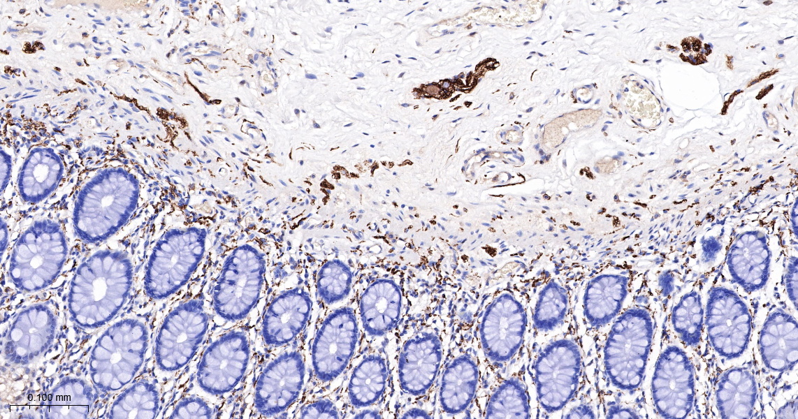
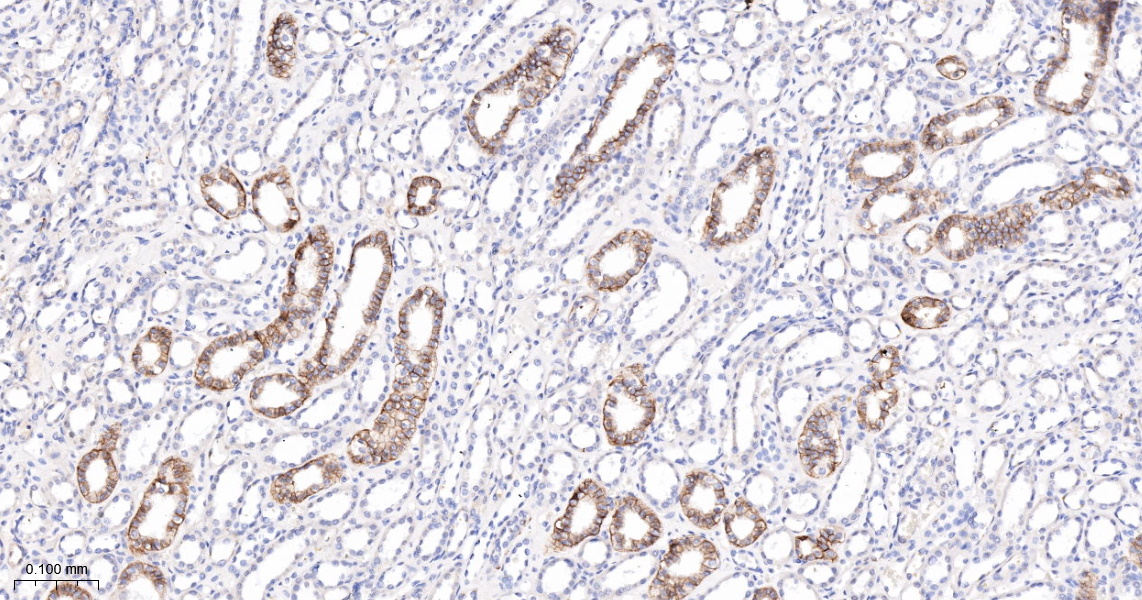
  • IHC-P
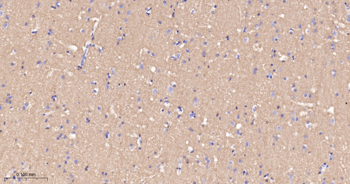
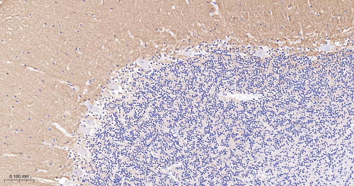
  • IHC-F
  • IF(IHC-P)

Reactivity

  • Human
Overview
Catalog # bsm-52926r-100ul
Product Name CD171/L1CAM Recombinant Antibody
Applications WB, IHC-P, IHC-F, IF(IHC-P)
Reactivity Human
Specifications
Conjugation Unconjugated
Host Rabbit
Source A synthesized peptide derived from human NCAM L1
Clonality Recombinant
Isotype IgG
Concentration 1mg/ml
Purification Purified by Protein A.
Storage Buffer 1*TBS (pH7.4), 0.05% BSA, 40% Glycerol. Preservative: 0.02% Proclin300.
Storage Condition Shipped at 4C. Store at -20C for one year. Avoid repeated freeze/thaw cycles.
Target
Gene ID 3897
Swiss Prot P32004
Subcellular location Cell membrane
Synonyms L1CAM_HUMAN; Neural cell adhesion molecule L1; CAML1; MIC5; N-CAM-L1; NCAM-L1; CD171; L1 cell adhesion molecule; S10; HSAS; MASA; SPG1; HSAS1; N-CAM-L1;
Application Dilution
WB 1:1000-5000
IHC-P IHC-P1:200-800
IHC-F IHC-F1:200-800
IF(IHC-P) IFIHC-P1:200-800