Receive 30% off all Monoclonal IHC antibodies with code "MONO-IHC-30"! Offer valid for US customers and available internationally through distributors.

NMDAR1 Recombinant Antibody

Applications

  • WB
  • IHC-P
  • IHC-F
  • IF

Reactivity

  • Human
  • Mouse
  • Rat
Overview
Catalog # bsm-52950r
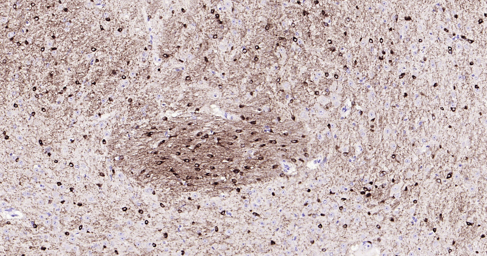
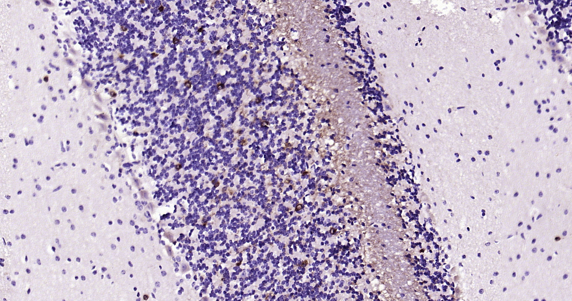
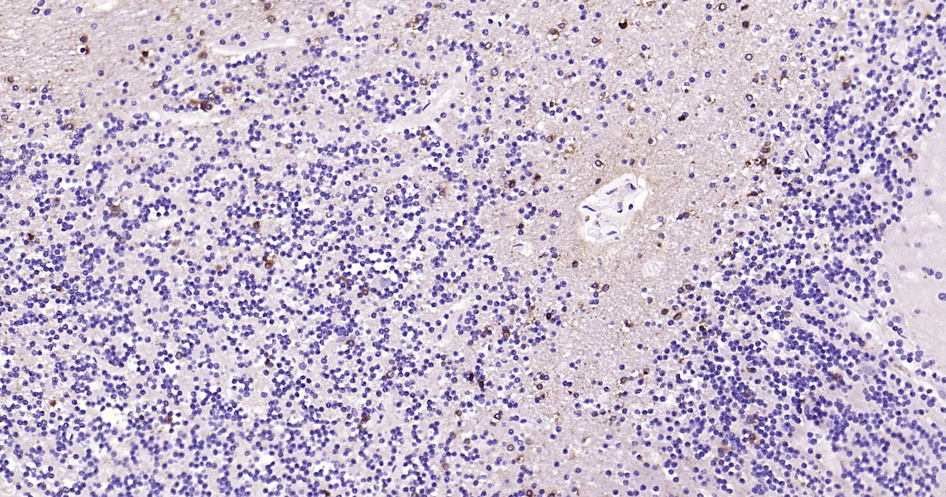
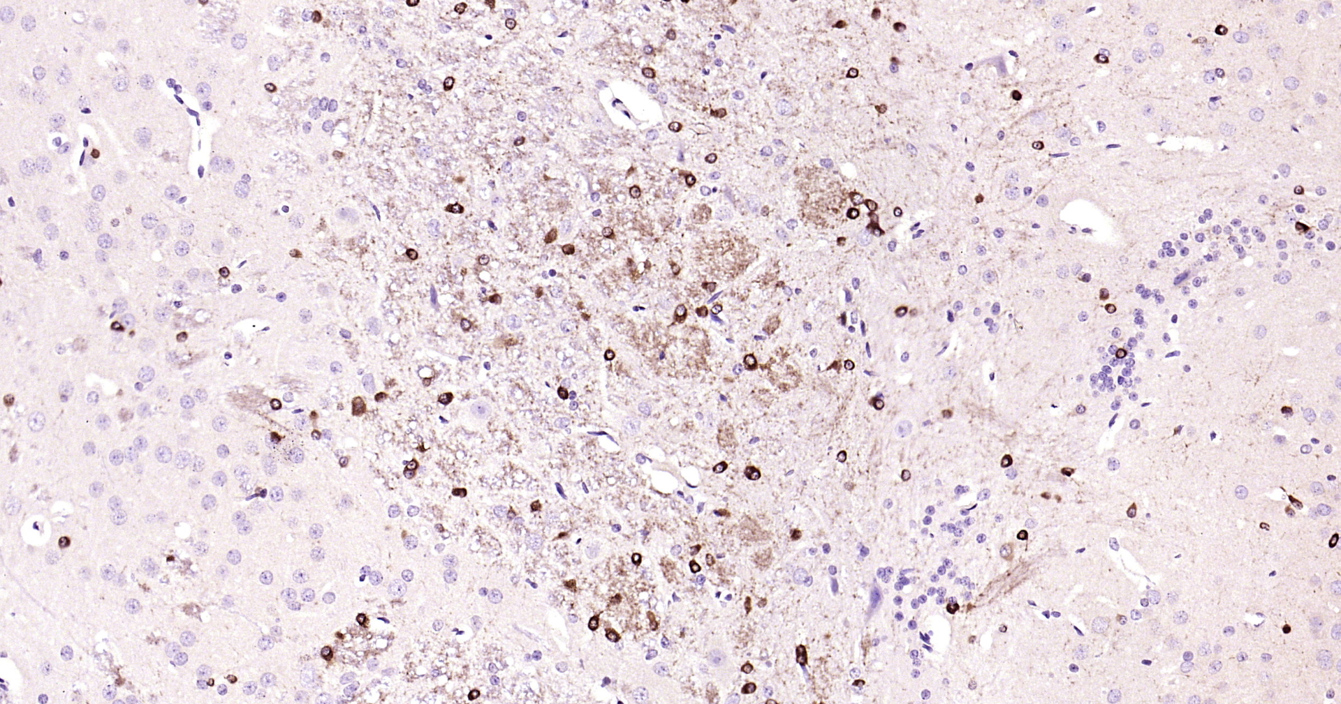
Product Name NMDAR1 Recombinant Antibody
Applications WB, IHC-P, IHC-F, IF
Reactivity Human, Mouse, Rat
Specifications
Conjugation Unconjugated
Host Rabbit
Source C terminus human NMDAR1
Clonality Recombinant
Isotype IgG
Concentration Lot dependent
Purification Purified by Protein A.
Storage Buffer 0.01M TBS (pH 7.4), 1% BSA, 0.02% Proclin 300, and 50% Glycerol
Storage Condition Shipped at 4°. Store at -20°C for one year. Avoid repeated freeze/thaw cycles.
Target
Gene ID 2902
Swiss Prot Q05586
Synonyms Glutamate receptor ionotropic, NMDA 1, Glutamate [NMDA] receptor subunit zeta-1, N-methyl-D-aspartate receptor subunit NR1, GluN1, NMD-R1
Background NMDA receptor subtype of glutamate-gated ion channels with high calcium permeability and voltage-dependent sensitivity to magnesium. Mediated by glycine. This protein plays a key role in synaptic plasticity, synaptogenesis, excitotoxicity, memory acquisition and learning. It mediates neuronal functions in glutamate neurotransmission. Is involved in the cell surface targeting of NMDA receptors (By similarity).
Application Dilution
WB 1:300-5000
IHC-P 1:200-400
IHC-F 1:100-500
IF