Receive 30% off all Monoclonal IHC antibodies with code "MONO-IHC-30"! Offer valid for US customers and available internationally through distributors.

mGluR1 (2C1) Monoclonal Antibody

Applications

  • WB
  • IHC-P
  • IF(IHC-P)

Reactivity

  • Human
  • Mouse
  • Rat
Overview
Catalog # bsm-52959R
Product Name mGluR1 (2C1) Monoclonal Antibody
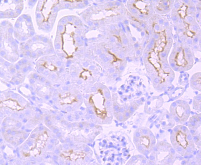
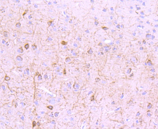
Applications WB, IHC-P, IF(IHC-P)
Reactivity Human, Mouse, Rat
Specifications
Conjugation Unconjugated
Host Rabbit
Source Human mGluR1 between 100-300 amino acids
Clonality Monoclonal
Clone # #REF!
Isotype IgG
Concentration 1ug/ul
Purification Purified by Protein A.
Storage Buffer 0.01M TBS(pH7.4) with 1% BSA, 0.02% Proclin300 and 50% Glycerol.
Storage Condition Store at -20C for 12 months.
Target
Gene ID 2911
Swiss Prot Q13255
Synonyms Metabotropic glutamate receptor 1, mGluR1, GRM1
Background G-protein coupled receptor for glutamate. Ligand binding causes a conformation change that triggers signaling via guanine nucleotide-binding proteins (G proteins) and modulates the activity of down-stream effectors. Signaling activates a phosphatidylinositol-calcium second messenger system. May participate in the central action of glutamate in the CNS, such as long-term potentiation in the hippocampus and long-term depression in the cerebellum.
Application Dilution
WB 1:300-5000
IHC-P 1:200-400
IF(IHC-P) 1:50-200