RECEIVE 25% OFF PUBLISHED ANTIBODIES WITH CODE "PUB25"! Offer valid for US customers and available internationally through distributors.

Glucose 6 Phosphate Dehydrogenase (4F7) Monoclonal Antibody

Applications

  • WB
  • FCM
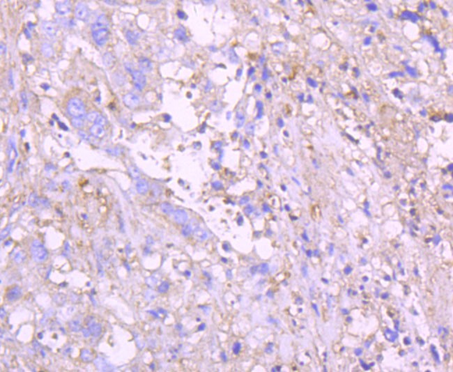
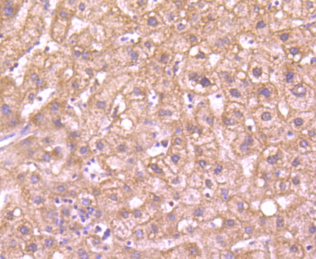
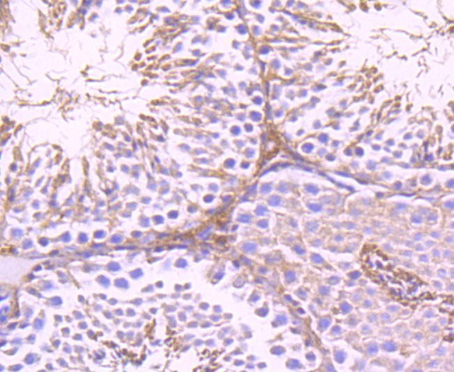
  • IHC-P
  • IHC-F
  • IF(IHC-P)
  • IF(ICC)

Reactivity

  • Human
  • Mouse
Overview
Catalog # bsm-54011R
Product Name Glucose 6 Phosphate Dehydrogenase (4F7) Monoclonal Antibody
Applications WB, FCM, IHC-P, IHC-F, IF(IHC-P), IF(ICC)
Reactivity Human, Mouse
Specifications
Conjugation Unconjugated
Host Rabbit
Source Human Glucose 6 Phosphate Dehydrogenase aa 1-300
Clonality Monoclonal
Clone # #REF!
Isotype IgG
Concentration 1ug/ul
Purification Purified by Protein A.
Storage Buffer 0.01M TBS(pH7.4) with 1% BSA, 0.02% Proclin300 and 50% Glycerol.
Storage Condition Store at -20C for 12 months.
Target
Gene ID 2539
Swiss Prot P11413
Subcellular location Cytoplasm, Nucleus, Cell membrane, Cytoplasmic domain
Synonyms Glucose-6-phosphate 1-dehydrogenase; G6PD; G6PD1
Background Catalyzes the rate-limiting step of the oxidative pentose-phosphate pathway, which represents a route for the dissimilation of carbohydrates besides glycolysis. The main function of this enzyme is to provide reducing power (NADPH) and pentose phosphates for fatty acid and nucleic acid synthesis.
Application Dilution
WB 1:300-5000
FCM 1:20-100
IHC-P 1:200-400
IHC-F 1:100-500
IF(IHC-P) 1:50-200
IF(ICC) 1:50-200