Receive 30% off all Monoclonal IHC antibodies with code "MONO-IHC-30"! Offer valid for US customers and available internationally through distributors.

TNFRSF10B (1D8) Monoclonal Antibody

Applications

  • WB
  • FCM
  • IHC-P
  • IF(IHC-P)
  • IP

Reactivity

  • Human
Overview
Catalog # bsm-54027R
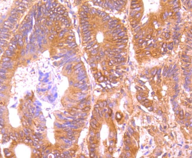
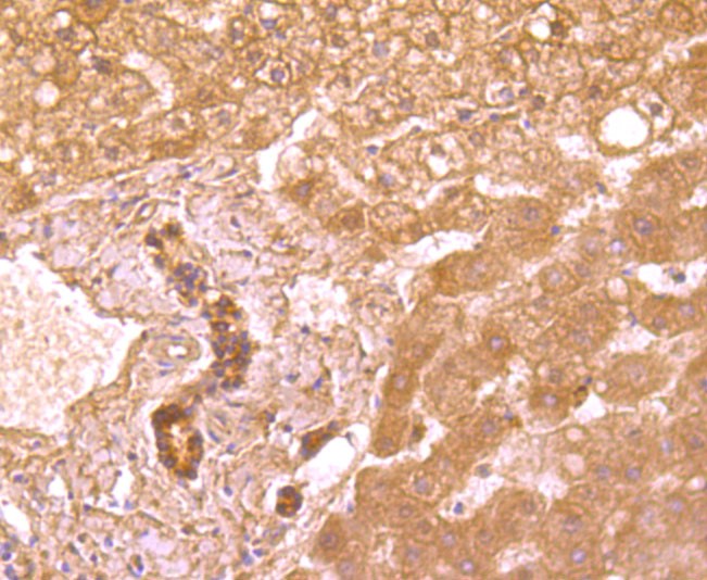
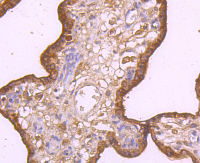
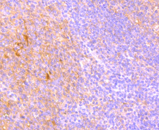
Product Name TNFRSF10B (1D8) Monoclonal Antibody
Applications WB, FCM, IHC-P, IF(IHC-P), IP
Reactivity Human
Specifications
Conjugation Unconjugated
Host Rabbit
Source Human DR5 aa 200 to the C-terminus
Clonality Monoclonal
Clone # #REF!
Isotype IgG
Concentration 1ug/ul
Purification Purified by Protein A.
Storage Buffer 0.01M TBS(pH7.4) with 1% BSA, 0.02% Proclin300 and 50% Glycerol.
Storage Condition Store at -20C for 12 months.
Target
Gene ID 8795
Swiss Prot O14763
Synonyms Tumor necrosis factor receptor superfamily member 10B, Death receptor 5, TNF-related apoptosis-inducing ligand receptor 2, TRAIL receptor 2, TRAIL-R2, CD262, TNFRSF10B, DR5, KILLER, TRAILR2, TRICK2, ZTNFR9
Background Tumor necrosis factor (TNF) is a pleiotropic cytokine whose function is mediated by two distinct cell surface receptors, designated TNF-R1 and TNF-R2, which are expressed on most cell types. TNF function is primarily mediated through TNF-R1 signaling. Both receptors belong to the growing TNF receptor superfamily which includes FAS antigen and CD40. TNF-R1 contains a cytoplasmic motif, termed the "death domain," that has been found to be necessary for the transduction of the apoptotic signal. The death domain is also found in several other receptors, including FAS, DR2 (or TRUNDD), DR3 (Death Receptor 3), DR4 and DR5. TRUNDD, DR4 and DR5 are receptors for the apoptosis-inducing cytokine TRAIL. A non-death domain-containing receptor, designated decoy receptor (DcR1 or TRID), also specifically associates with TRAIL and may play a role in cellular resistance to apoptotic stimuli.
Application Dilution
WB 1:300-5000
FCM 1:20-100
IHC-P 1:200-400
IF(IHC-P) 1:50-200
IP 1-2ug