Receive 30% off all Monoclonal IHC antibodies with code "MONO-IHC-30"! Offer valid for US customers and available internationally through distributors.

ABCC1 (5A3) Monoclonal Antibody

Applications

  • WB
  • FCM
  • IHC-P
  • IF(IHC-P)

Reactivity

  • Human
Overview
Catalog # bsm-54028R
Product Name ABCC1 (5A3) Monoclonal Antibody
Applications WB, FCM, IHC-P, IF(IHC-P)
Reactivity Human
Specifications
Conjugation Unconjugated
Host Rabbit
Source C terminal Human MRP1
Clonality Monoclonal
Clone # #REF!
Isotype IgG
Concentration 1ug/ul
Purification Purified by Protein A.
Storage Buffer 0.01M TBS(pH7.4) with 1% BSA, 0.02% Proclin300 and 50% Glycerol.
Storage Condition Store at -20C for 12 months.
Target
Gene ID 4363
Swiss Prot P33527
Synonyms Multidrug resistance-associated protein 1, ATP-binding cassette sub-family C member 1, Leukotriene C(4) transporter, LTC4 transporter, ABCC1, MRP, MRP1
Background The two members of the large family of ABC transporters known to confer multidrug resistance in human cancer cells are the Mdr-1 P-glycoprotein and the multidrug-resistance protein MRP1. MRP1 is an integral membrane protein that contains an Mdr-like core, an N-terminal membrane-bound region and a cytoplasmic linker, and it is expressed in various cerebral cells, as well as in lung, testis and peripheral blood. The MRP gene family also includes MRP2, which is alternatively designated cMOAT (for canalicular multispecific organic anion transporter) and MRP3, which are both conjugate export pumps expressed predominantly in hepatocytes. MRP2 localizes exclusively to the apical membrane and is constitutively expressed at a high level in normal liver cells. Conversely, MRP3 localizes to the basolateral membrane where it also mediates the transport of the organic anion S-(2,4-dinitrophenyl-) glutathione toward the basolateral side of the membrane. MRP3 is normally expressed at comparatively lower levels than MRP2 and increases only when secretion across the apical membrane by MRP2 is impaired. MRP6 protein is highly expressed in liver and kidney, whereas MRP4 and MRP5 are detected in various tissues yet at much lower levels of expression.
Application Dilution
WB 1:300-5000
FCM 1:20-100
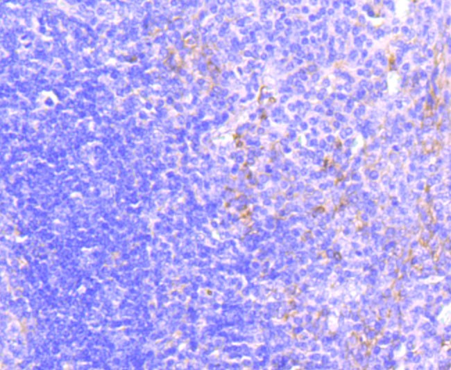
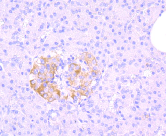
IHC-P 1:200-400
IF(IHC-P) 1:50-200