Receive 30% off all Monoclonal IHC antibodies with code "MONO-IHC-30"! Offer valid for US customers and available internationally through distributors.

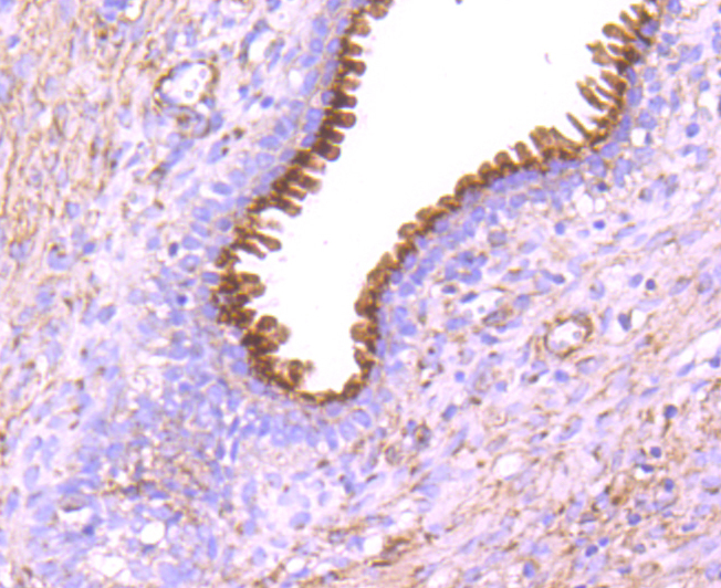
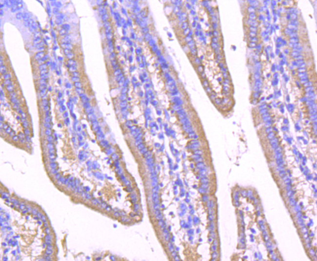
GOLM1 (1F10) Monoclonal Antibody

Applications

  • WB
  • FCM
  • IHC-P
  • IF(IHC-P)
  • IF(ICC)

Reactivity

  • Human
  • Mouse
  • Rat
Overview
Catalog # bsm-54035R
Product Name GOLM1 (1F10) Monoclonal Antibody
Applications WB, FCM, IHC-P, IF(IHC-P), IF(ICC)
Reactivity Human, Mouse, Rat
Specifications
Conjugation Unconjugated
Host Rabbit
Source Human GOLM1 aa 300-400
Clonality Monoclonal
Clone # #REF!
Isotype IgG
Concentration 1ug/ul
Purification Purified by Protein A.
Storage Buffer 0.01M TBS(pH7.4) with 1% BSA, 0.02% Proclin300 and 50% Glycerol.
Storage Condition Store at -20C for 12 months.
Target
Gene ID 51280
Swiss Prot Q8NBJ4
Synonyms Golgi membrane protein 1, Golgi membrane protein GP73, Golgi phosphoprotein 2, GOLM1, C9orf155, GOLPH2
Background GP73 (also known as Golgi phosphoprotein 2, GOLPH 2 or Golgi membrane protein), is a widely expressed, epithelial-specific, type II transmembrane protein which resides in the Golgi apparatus, where it is responsible for the posttranslational modification of proteins produced in the Rough ER while assisting in the transport of proteins through the Golgi. The human GP73 gene has been mapped within a BAC and localized to chromosome 9q21.33. GP73 levels rise in those who have been diagnosed with acute and chronic liver diseases. Cellular response protein to viral infection.
Application Dilution
WB 1:300-5000
FCM 1:20-100
IHC-P 1:200-400
IF(IHC-P) 1:50-200
IF(ICC) 1:50-200