Receive 30% off all Monoclonal IHC antibodies with code "MONO-IHC-30"! Offer valid for US customers and available internationally through distributors.

PDPK1 Recombinant Antibody

Applications

  • WB
  • IHC-P
  • IHC-F
  • IF
  • Flow-Cyt
  • ICC/IF

Reactivity

  • Human
  • Mouse
  • Rat
Overview
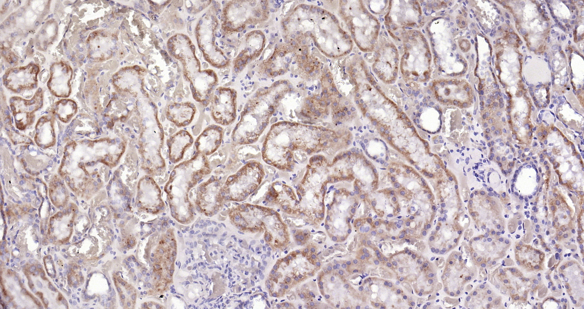
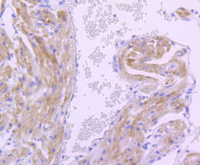
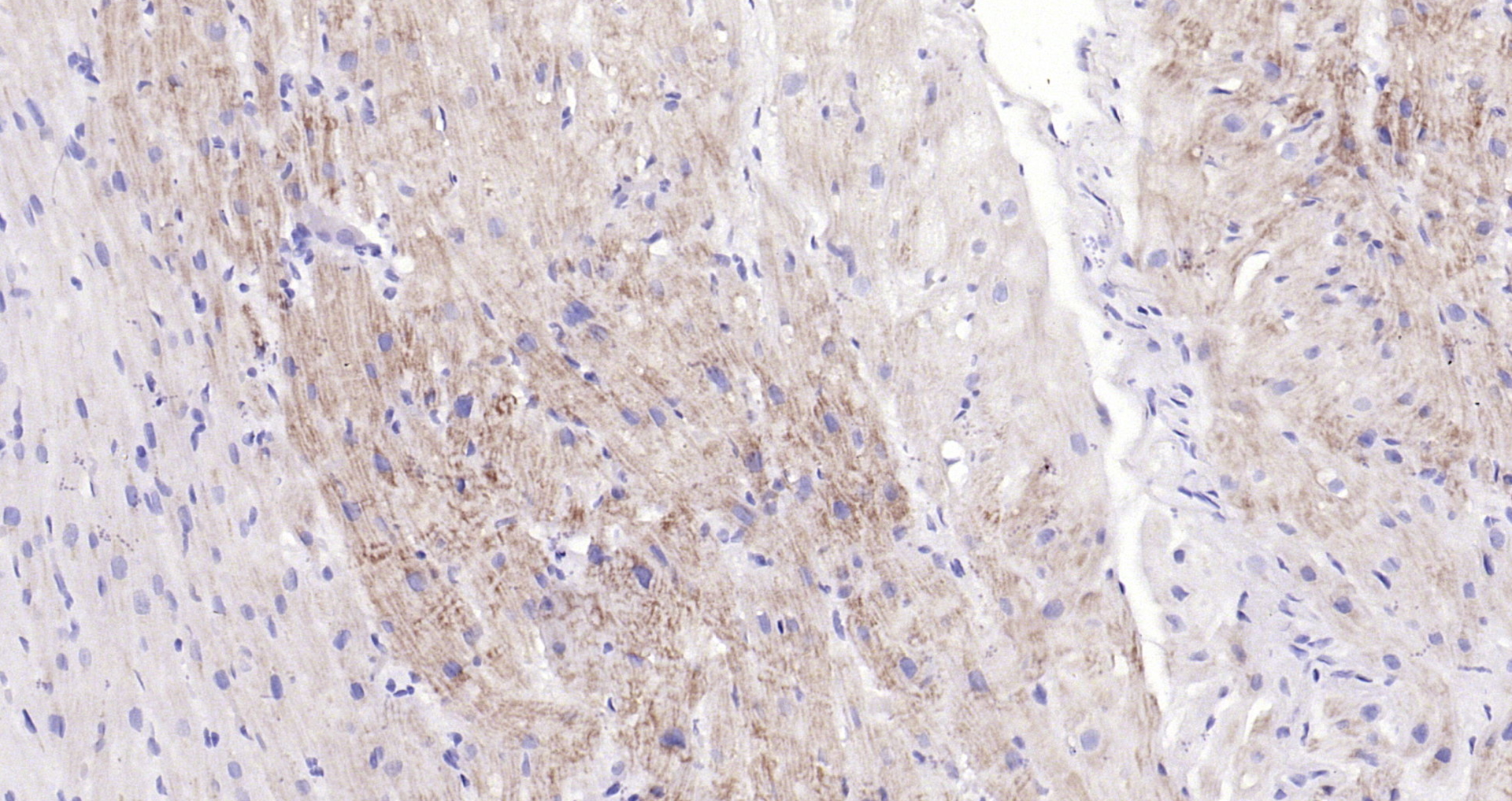
Catalog # bsm-54037r
Product Name PDPK1 Recombinant Antibody
Applications WB, IHC-P, IHC-F, IF, Flow-Cyt, ICC/IF
Reactivity Human, Mouse, Rat
Specifications
Conjugation Unconjugated
Host Rabbit
Source Full length protein
Clonality Recombinant
Isotype IgG
Concentration 1ug/ul
Purification Purified by Protein A.
Storage Buffer 0.01M TBS (pH 7.4), 1% BSA, 0.02% Proclin 300, and 50% Glycerol
Storage Condition Shipped at 4C. Store at -20C for one year. Avoid repeated freeze/thaw cycles.
Target
Gene ID 5163
Swiss Prot Q15118
Subcellular location Nucleus, Mitochondrion
Synonyms [Pyruvate dehydrogenase (acetyl-transferring)] kinase isozyme 1, mitochondrial, Pyruvate dehydrogenase kinase isoform 1, PDH kinase 1, PDK1, PDHK1
Background Mitochondrial pyruvate dehydrogenase (PDH) catalyzes the oxidative decarboxylation of pyruvate and plays a central role in the regulation of homeostasis of carbohydrate fuels in mammals. PDH activity is controlled by a phosphorylation/dephosphorylation cycle, phosphorylation leading to inactivation and dephosphorylation leading to reactivation of PDH. The phosphorylation of PDH is catalyzed by pyruvate dehydrogenase kinase (PDK), the activity of which is stimulated by the products of PDH catalysis. PDK1 consists of alpha and beta subunits; the kinase activity resides in the alpha subunit. Three PDK isoenzymes have been identified in humans (PDK1, 2 and 3) and two have been identified in rodent (PDK1 and 2).
Application Dilution
WB 1:300-5000
IHC-P 1:200-400
IHC-F 1:100-500
IF
Flow-Cyt 1ug/Test
ICC/IF 1:50-100