Receive 30% off all Monoclonal IHC antibodies with code "MONO-IHC-30"! Offer valid for US customers and available internationally through distributors.

SPHK1 Recombinant Antibody

Applications

  • WB
  • FCM
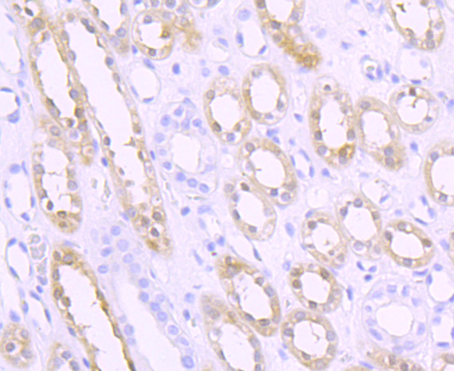
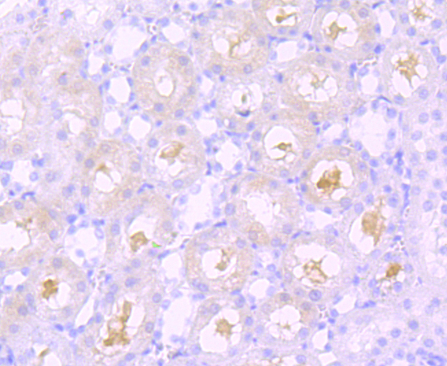
  • IHC-P

Reactivity

  • Human
  • Mouse
  • Rat
Overview
Catalog # bsm-54045R
Product Name SPHK1 Recombinant Antibody
Applications WB, FCM, IHC-P
Reactivity Human, Mouse, Rat
Specifications
Conjugation Unconjugated
Host Rabbit
Source Human SPHK1 aa 50-150
Clonality Monoclonal
Clone # #REF!
Isotype IgG
Concentration 1ug/ul
Purification Purified by Protein A.
Storage Buffer 0.01M TBS(pH7.4) with 1% BSA, 0.02% Proclin300 and 50% Glycerol.
Storage Condition Store for 1 year at -20C from date of shipment. Store for 1 year at -20C from date of shipment.
Target
Gene ID 8877
Swiss Prot Q9NYA1
Synonyms Sphingosine kinase 1, SK 1, SPK 1, SPHK1, SPHK, SPK
Background Catalyzes the phosphorylation of sphingosine to form sphingosine 1-phosphate (SPP), a lipid mediator with both intra- and extracellular functions. Also acts on D-erythro-sphingosine and to a lesser extent sphinganine, but not other lipids, such as D,L-threo-dihydrosphingosine, N,N-dimethylsphingosine, diacylglycerol, ceramide, or phosphatidylinositol.
Application Dilution
WB 1:300-5000
FCM 1:20-100
IHC-P 1:200-400