Receive 30% off all Monoclonal IHC antibodies with code "MONO-IHC-30"! Offer valid for US customers and available internationally through distributors.

MUC-4 Recombinant Antibody

Applications

  • WB
  • FCM
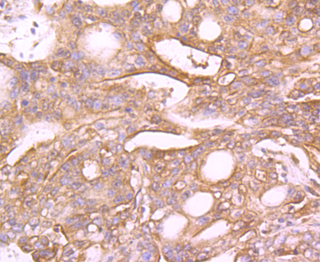
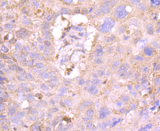
  • IHC-P

Reactivity

  • Human
  • Rat
Overview
Catalog # bsm-54070R
Product Name MUC-4 Recombinant Antibody
Applications WB, FCM, IHC-P
Reactivity Human, Rat
Specifications
Conjugation Unconjugated
Host Rabbit
Source C terminal Human MUC4
Clonality Monoclonal
Clone # #REF!
Isotype IgG
Concentration 1ug/ul
Purification Purified by Protein A.
Storage Buffer 0.01M TBS(pH7.4) with 1% BSA, 0.02% Proclin300 and 50% Glycerol.
Storage Condition Store at 4C for up to 2 weeks. For long term storage, store at -20C in small aliquots to prevent freeze-thaw cycles.
Target
Gene ID 4585
Swiss Prot Q99102
Synonyms Mucin-4, Ascites sialoglycoprotein, Pancreatic adenocarcinoma mucin, Testis mucin, Tracheobronchial mucin, Mucin-4 alpha chain, Ascites sialoglycoprotein 1, Mucin-4 beta chain, Ascites sialoglycoprotein 2, MUC-4, ASGP, ASGP-1, ASGP-2, MUC4
Background May play a role in tumor progression. Ability to promote tumor growth may be mainly due to repression of apoptosis as opposed to proliferation. Has anti-adhesive properties. Seems to alter cellular behavior through both anti-adhesive effects on cell-cell and cell-extracellular matrix interactions and in its ability to act as an intramembrane ligand for ERBB2. Plays an important role in cell proliferation and differentiation of epithelial cells by inducing specific phosphorylation of ERBB2. The MUC4-ERBB2 complex causes site-specific phosphorylation of the ERBB2 'Tyr-1248'. In polarized epithelilal cells segragates ERBB2 and other ERBB receptors and prevents ERBB2 from acting as a coreceptor. The interaction with ERBB2 leads to enhanced expression of CDKN1B. The formation of a MUC4-ERBB2-ERBB3-NRG1 complex leads to down-regulation of CDKN1B, resulting in repression of apoptosis and stimulation of proliferation.
Application Dilution
WB 1:300-5000
FCM 1:20-100
IHC-P 1:200-400