Receive 30% off all Monoclonal IHC antibodies with code "MONO-IHC-30"! Offer valid for US customers and available internationally through distributors.

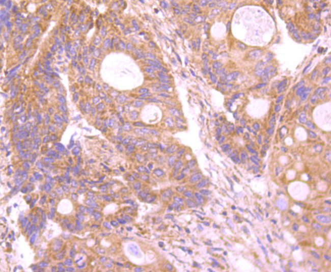
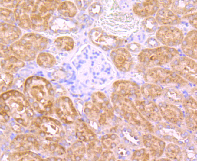
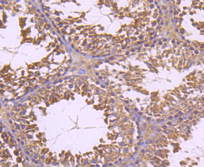
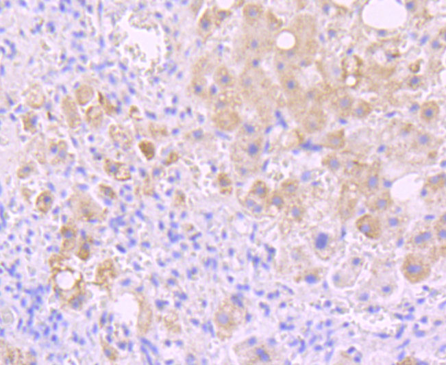
Insulin Receptor R (8A1) Monoclonal Antibody

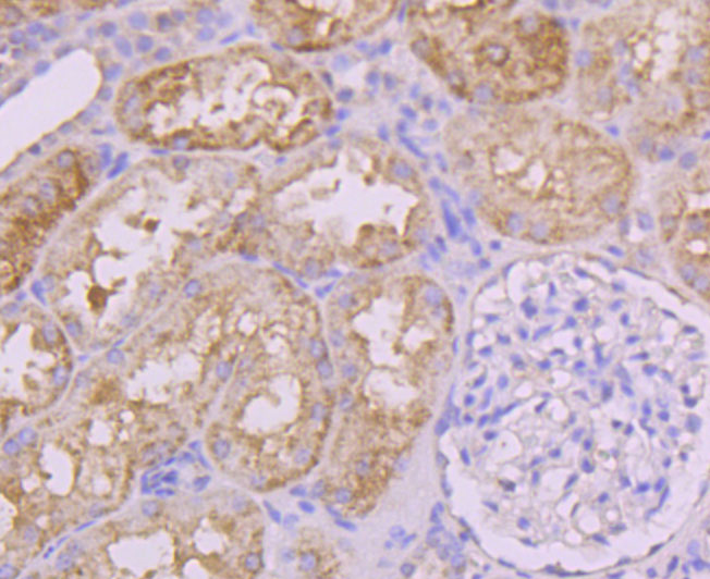
Applications

  • WB
  • IHC-P

Reactivity

  • Human
  • Mouse
  • Rat
Overview
Catalog # bsm-54080R
Product Name Insulin Receptor R (8A1) Monoclonal Antibody
Applications WB, IHC-P
Reactivity Human, Mouse, Rat
Specifications
Conjugation Unconjugated
Host Rabbit
Source N terminal Human Insulin Receptor R
Clonality Monoclonal
Clone # #REF!
Isotype IgG
Concentration 1ug/ul
Purification Purified by Protein A.
Storage Buffer 0.01M TBS(pH7.4) with 1% BSA, 0.02% Proclin300 and 50% Glycerol.
Storage Condition Store at 4C for up to 2 weeks. For long term storage, store at -20C in small aliquots to prevent freeze-thaw cycles.
Target
Gene ID 3645
Swiss Prot P14616
Synonyms Insulin receptor-related protein, IR-related receptor, Insulin receptor-related protein alpha chain, Insulin receptor-related protein beta chain, IRR, INSRR
Background The insulin receptor (IR) is a heterodimeric protein complex that has an intracellular beta subunit and an extracellular alpha subunit, which is disulfide- linked to a transmembrane segment. Receptor with tyrosine-protein kinase activity. Functions as a pH sensing receptor which is activated by increased extracellular pH. Activates an intracellular signaling pathway that involves IRS1 and AKT1/PKB.
Application Dilution
WB 1:300-5000
IHC-P 1:200-400