Receive 30% off all Monoclonal IHC antibodies with code "MONO-IHC-30"! Offer valid for US customers and available internationally through distributors.

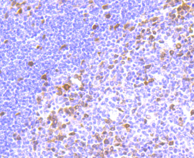
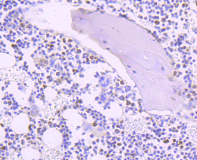
Thymidylate Synthase (6C2) Monoclonal Antibody

Applications

  • WB
  • FCM
  • IHC-P
  • IF(IHC-P)

Reactivity

  • Human
  • Mouse
  • Rat
Overview
Catalog # bsm-54082R
Product Name Thymidylate Synthase (6C2) Monoclonal Antibody
Applications WB, FCM, IHC-P, IF(IHC-P)
Reactivity Human, Mouse, Rat
Specifications
Conjugation Unconjugated
Host Rabbit
Source Human Thymidylate Synthase aa 300 to the C-terminus
Clonality Monoclonal
Clone # #REF!
Isotype IgG
Concentration 1ug/ul
Purification Purified by Protein A.
Storage Buffer 0.01M TBS(pH7.4) with 1% BSA, 0.02% Proclin300 and 50% Glycerol.
Storage Condition Store at 4C for up to 2 weeks. For long term storage, store at -20C in small aliquots to prevent freeze-thaw cycles.
Target
Gene ID 7298
Swiss Prot P04818
Synonyms Thymidylate synthase; TS; TSase; TYMS; OK/SW-cl.29; HST422
Background Thymidylate synthase (TS), also designated TYMS, TMS, TSase and HsT422, uses 5,10-methylenetetrahydrofolate (methylene-THF) as a cofactor in the synthesis of 2'-deoxythymidine-5'-monophosphate (dTMP), an essential precursor for DNA biosynthesis. TS is an RNA-binding protein that can interact with its own mRNA. The TS/mRNA ribonucleoprotein complex can also associate with a number of other cellular mRNAs, including those corresponding to the p53 tumor suppressor gene and the Myc family of transcription factors. Inhibition of DNA replication and cell death resulting from thymidine depletion occurs when TS enzyme activity is inhibited with substrate or cofactor analogs, making the TS enzyme an important target for chemotherapy. Cancer cells are sensitive to thymidine depletion, as they multiply rapidly
Application Dilution
WB 1:300-5000
FCM 1:20-100
IHC-P 1:200-400
IF(IHC-P) 1:50-200