Receive 30% off all Monoclonal IHC antibodies with code "MONO-IHC-30"! Offer valid for US customers and available internationally through distributors.

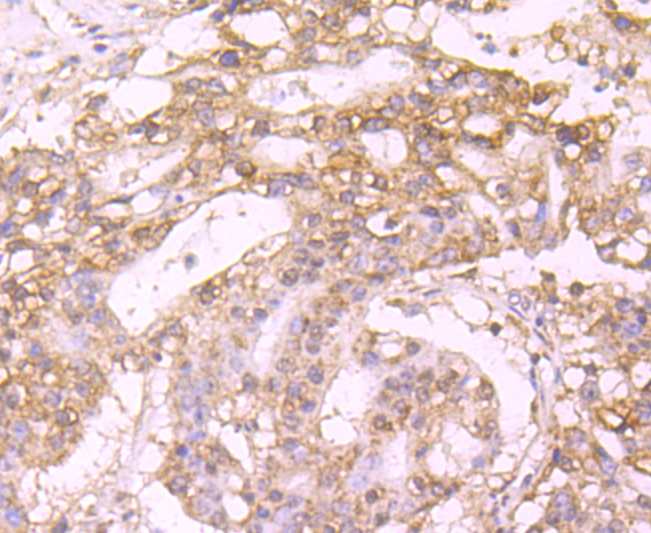
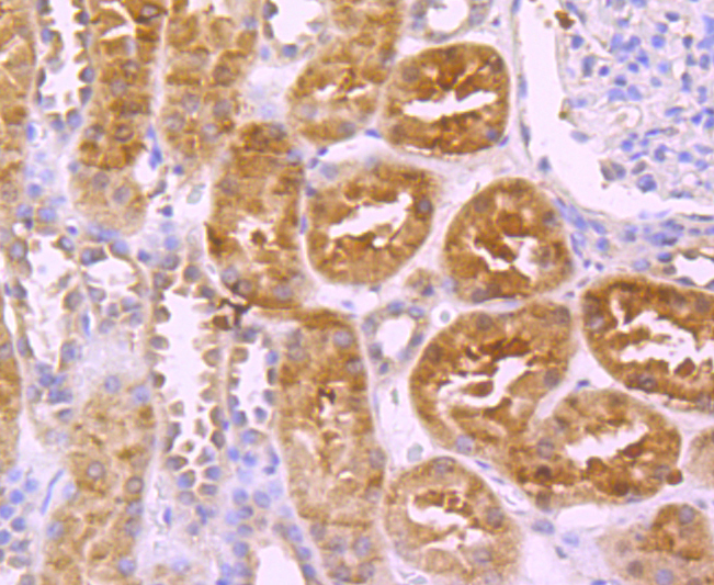
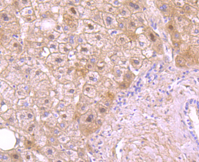
Protein C (4G10) Monoclonal Antibody

Applications

  • WB
  • IHC-P
  • IF(IHC-P)
  • IF(ICC)

Reactivity

  • Human
Overview
Catalog # bsm-54086R
Product Name Protein C (4G10) Monoclonal Antibody
Applications WB, IHC-P, IF(IHC-P), IF(ICC)
Reactivity Human
Specifications
Conjugation Unconjugated
Host Rabbit
Source Internal sequence of Human Protein C
Clonality Monoclonal
Clone # #REF!
Isotype IgG
Concentration 1ug/ul
Purification Purified by Protein A.
Storage Buffer 0.01M TBS(pH7.4) with 1% BSA, 0.02% Proclin300 and 50% Glycerol.
Storage Condition Store at 4C for up to 2 weeks. For long term storage, store at -20C in small aliquots to prevent freeze-thaw cycles.
Target
Gene ID 5624
Swiss Prot P04070
Synonyms Vitamin K-dependent protein C; Anticoagulant protein C; Autoprothrombin IIA; Blood coagulation factor XIV; Vitamin K-dependent protein C light chain; Vitamin K-dependent protein C heavy chain; Activation peptide; PROC; THPH3; THPH4
Background Protein C is a vitamin K-dependent plasma glycoprotein. The encoded protein is cleaved to its activated form by the thrombin-thrombomodulin complex. This activated form contains a serine protease domain and functions in degradation of the activated forms of coagulation factors V and VIII. Mutations in this gene have been associated with thrombophilia due to protein C deficiency, neonatal purpura fulminans, and recurrent venous thrombosis
Application Dilution
WB 1:300-5000
IHC-P 1:200-400
IF(IHC-P) 1:50-200
IF(ICC) 1:50-200