Receive 30% off all Monoclonal IHC antibodies with code "MONO-IHC-30"! Offer valid for US customers and available internationally through distributors.

GCLM Recombinant Antibody

Applications

  • WB
  • IHC-P
  • IHC-F
  • IF
  • Flow-Cyt
  • ICC/IF

Reactivity

  • Human
  • Mouse
  • Rat
Overview
Catalog # bsm-54141r
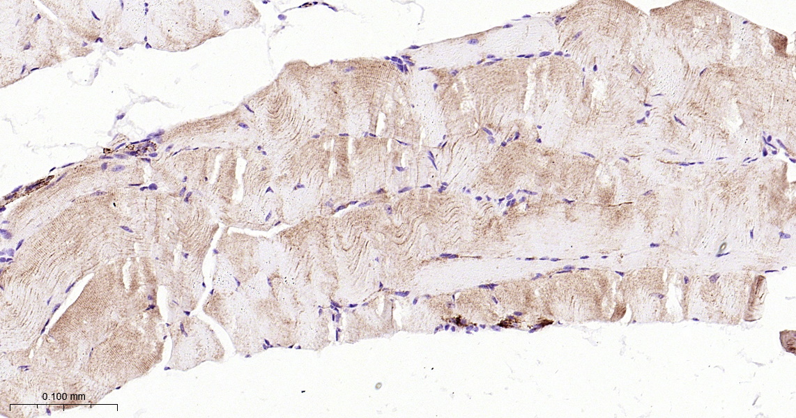
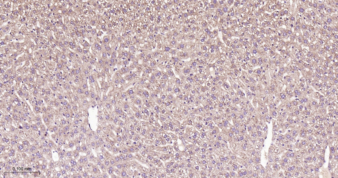
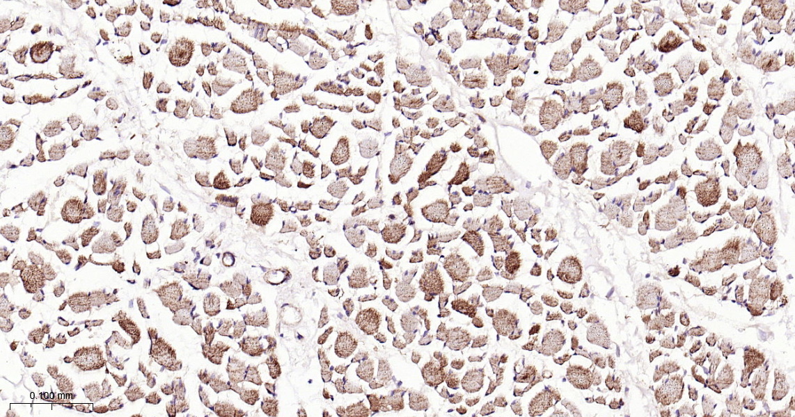
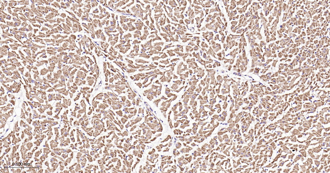
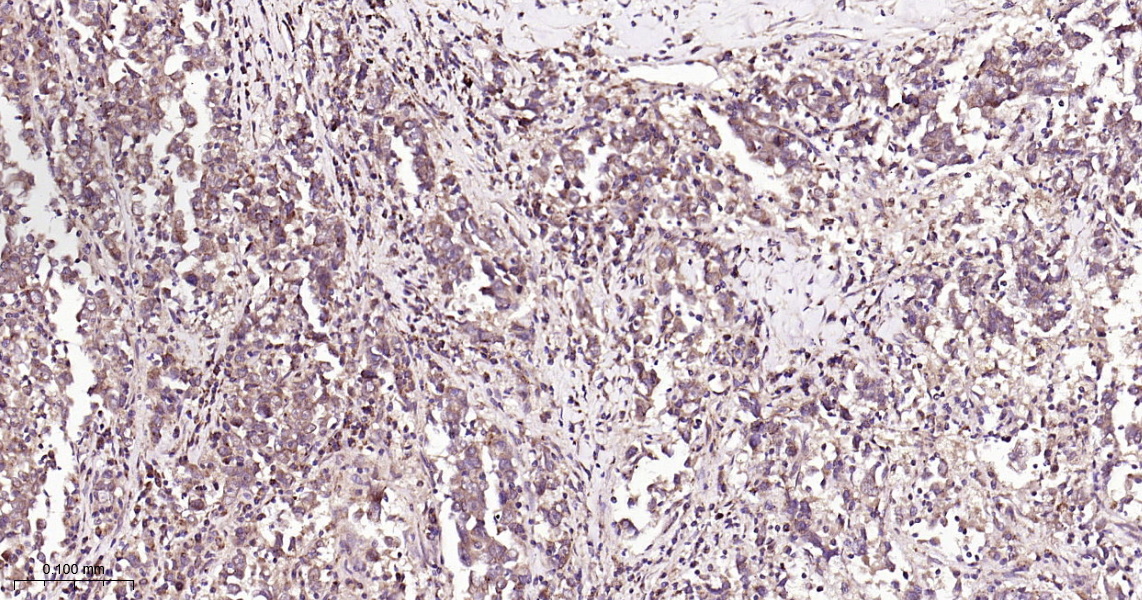
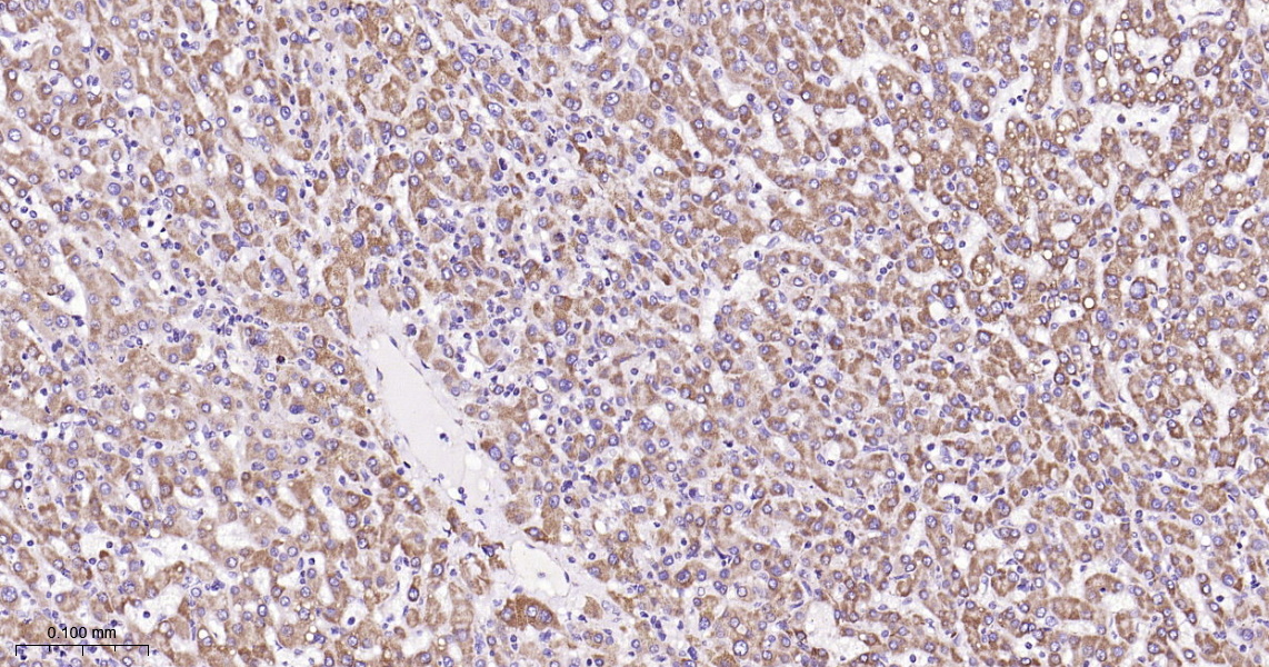
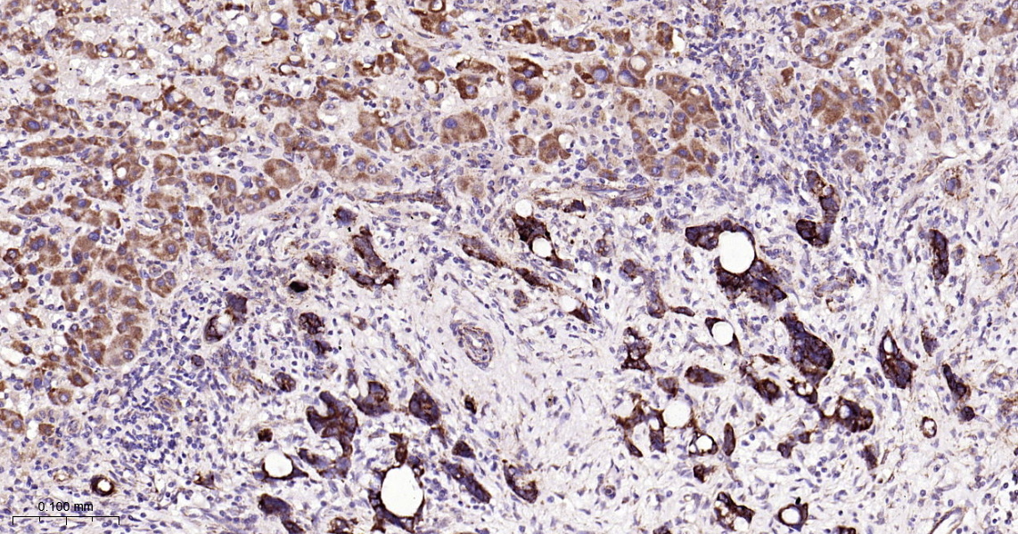
Product Name GCLM Recombinant Antibody
Applications WB, IHC-P, IHC-F, IF, Flow-Cyt, ICC/IF
Reactivity Human, Mouse, Rat
Specifications
Conjugation Unconjugated
Host Rabbit
Source A synthesized peptide derived from human GCLM
Clonality Recombinant
Isotype IgG
Concentration Lot dependent
Purification Purified by Protein A.
Storage Buffer 0.01M TBS(pH7.4) with 1% BSA, 0.02% Proclin300 and 50% Glycerol.
Storage Condition Shipped at 4C. Store at -20C for one year. Avoid repeated freeze/thaw cycles.
Target
Gene ID 2730
Swiss Prot P48507
Subcellular location Cytoplasm
Synonyms Glutamate-Cysteine Ligase Modifier Subunit; gamma-Glutamylcysteine Synthetase Regulatory Subunit; Glutamate--Cysteine Ligase Modifier Subunit; gamma-ECS Regulatory Subunit; GCS Light Chain; GLCLR; Glutamate-Cysteine Ligase(gamma-Glutamylcysteine Synthetase), Regulatory(30.8kD); Glutamate-Cysteine Ligase Modifier Subunit delta2 Alternative Splicing; Glutamate--Cysteine Ligase Regulatory Subunit; Glutamate-Cysteine Ligase Regulatory Protein; Glutamate-Cysteine Ligase, Modifier Subunit; gamma-Glutamylcysteine Synthetase; GSC Light Chain; GSH0_HUMAN;
Application Dilution
WB 1:300-5000
IHC-P 1:200-400
IHC-F 1:100-500
IF
Flow-Cyt 1ug/Test
ICC/IF 1:50-100