Receive 30% off all Monoclonal IHC antibodies with code "MONO-IHC-30"! Offer valid for US customers and available internationally through distributors.

FTO (12A1) Monoclonal Antibody

Applications

  • WB
  • FCM
  • IHC-P
  • IF(IHC-P)
  • IF(ICC)

Reactivity

  • Human
Overview
Catalog # bsm-54143R
Product Name FTO (12A1) Monoclonal Antibody
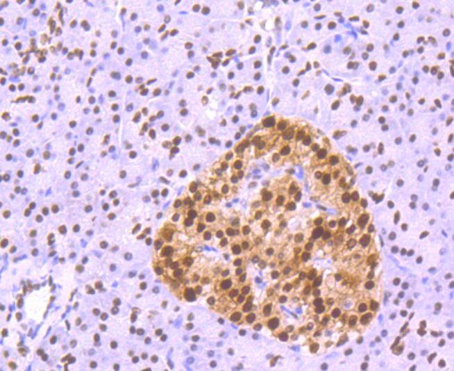
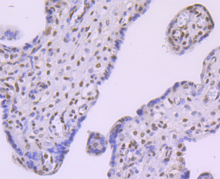
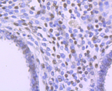
Applications WB, FCM, IHC-P, IF(IHC-P), IF(ICC)
Reactivity Human
Specifications
Conjugation Unconjugated
Host Rabbit
Source Recombinant protein within human FTO aa 350-500
Clonality Monoclonal
Clone # #REF!
Isotype IgG
Concentration 1ug/ul
Purification Purified by Protein A.
Storage Buffer 0.01M TBS(pH7.4) with 1% BSA, 0.02% Proclin300 and 50% Glycerol.
Storage Condition Store at 4C for up to 2 weeks. For long term storage, store at -20C in small aliquots to prevent freeze-thaw cycles.
Target
Gene ID 79068
Swiss Prot Q9C0B1
Synonyms Alpha-ketoglutarate-dependent dioxygenase FTO; Fat mass and obesity-associated protein; FTO, KIAA1752; GDFD; ALKBH9; BMIQ14; Fatso.
Background RNA demethylase that mediates oxidative demethylation of different RNA species, such as mRNAs, tRNAs and snRNAs, and acts as a regulator of fat mass, adipogenesis and energy homeostasis. Specifically demethylates N6-methyladenosine (m6A) RNA, the most prevalent internal modification of messenger RNA (mRNA) in higher eukaryotes. M6A demethylation by FTO affects mRNA expression and stability. Also able to demethylate m6A in U6 small nuclear RNA (snRNA). Also acts as a tRNA demethylase by removing N1-methyladenine from various tRNAs. Also able to repair alkylated DNA and RNA by oxidative demethylation. Involved in the regulation of fat mass, adipogenesis and body weight, thereby contributing to the regulation of body size and body fat accumulation. Involved in the regulation of thermogenesis and the control of adipocyte differentiation into brown or white fat cells. Regulates activity of the dopaminergic midbrain circuitry via its ability to demethylate m6A in mRNAs. Plays an oncogenic role in a number of acute myeloid leukemias by enhancing leukemic oncogene-mediated cell transformation: acts by mediating m6A demethylation of target transcripts such as MYC, CEBPA, ASB2 and RARA, leading to promote their expression
Application Dilution
WB 1:300-5000
FCM 1:20-100
IHC-P 1:200-400
IF(IHC-P) 1:50-200
IF(ICC) 1:50-200