Receive 30% off all Monoclonal IHC antibodies with code "MONO-IHC-30"! Offer valid for US customers and available internationally through distributors.

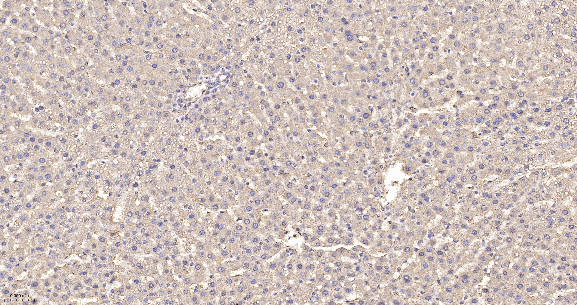
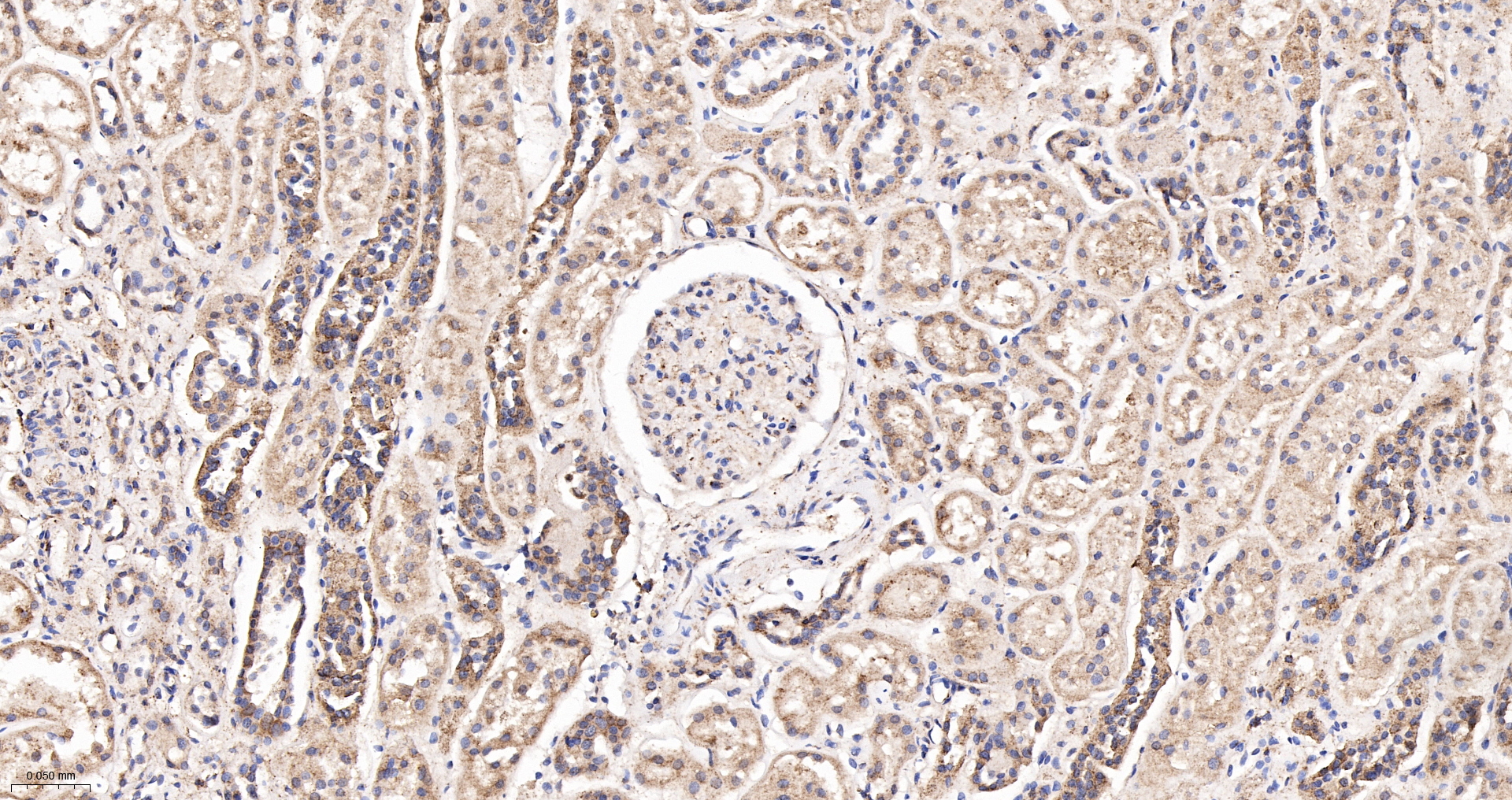
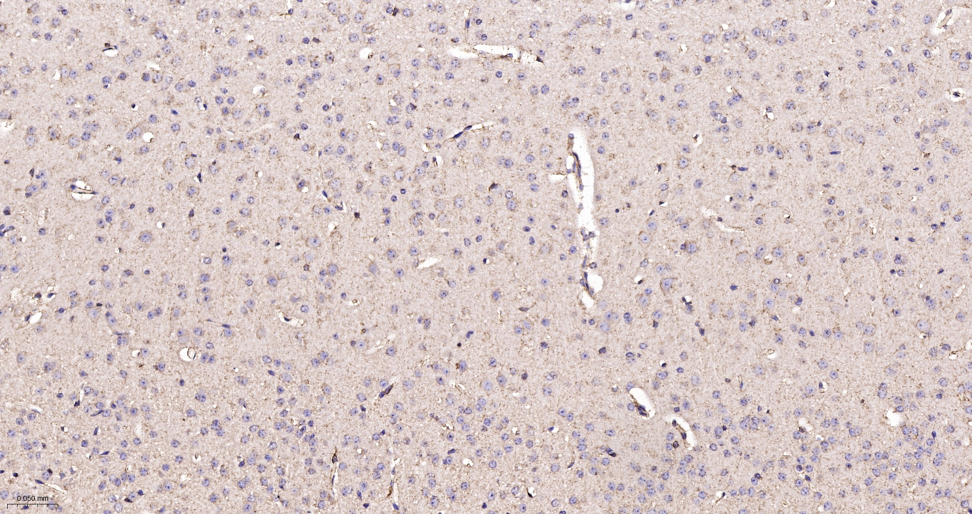
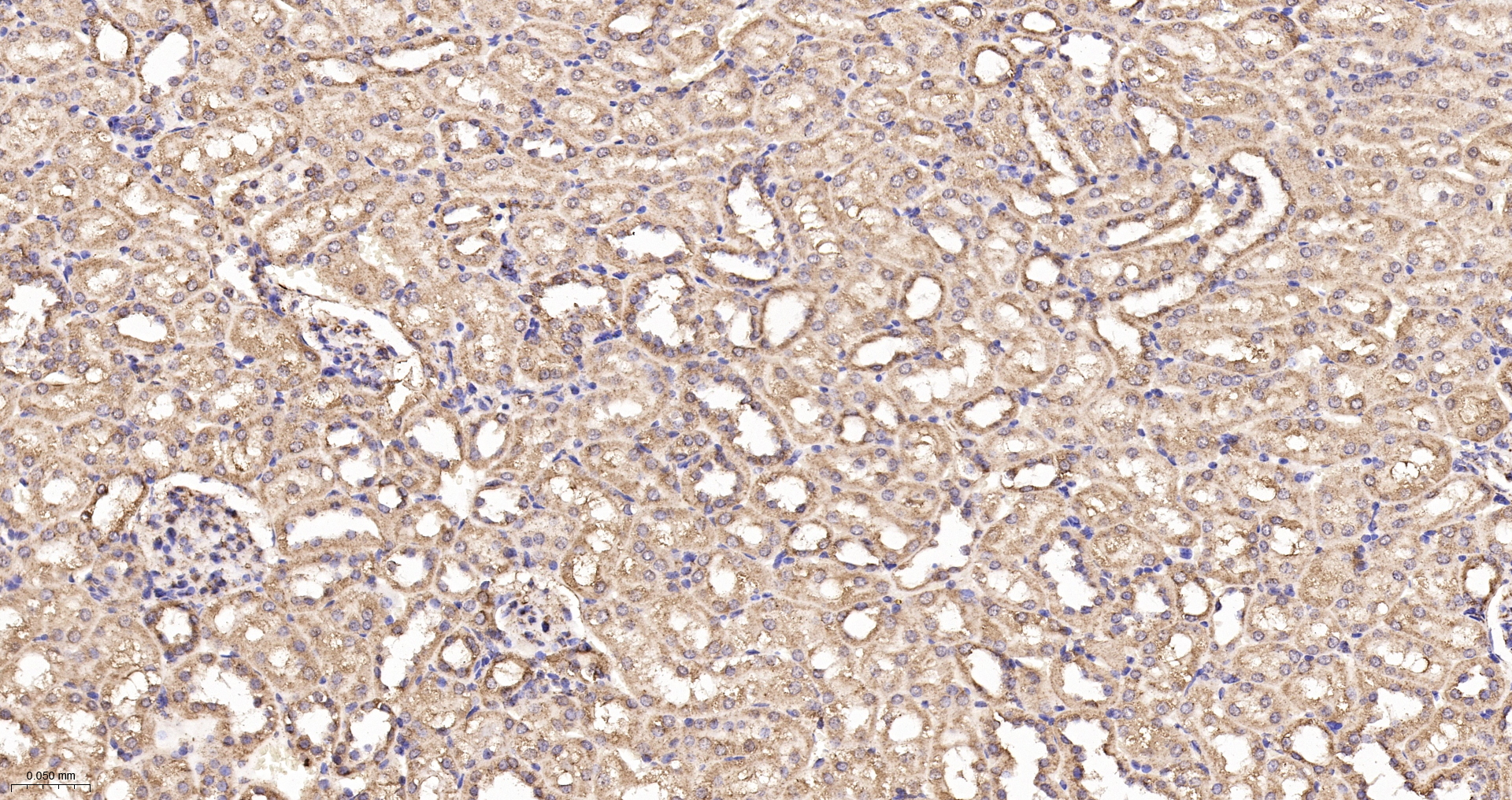
OPA1 (9A7) Monoclonal Antibody

Applications

  • WB
  • IHC-P
  • IHC-F
  • IF

Reactivity

  • Human
  • Mouse
  • Rat
Overview
Catalog # bsm-54144r-100ul
Product Name OPA1 (9A7) Monoclonal Antibody
Applications WB, IHC-P, IHC-F, IF
Reactivity Human, Mouse, Rat
Specifications
Conjugation Unconjugated
Host Rabbit
Source C terminal Human OPA1
Clonality Monoclonal
Clone # 9A7
Isotype IgG
Concentration Lot Dependent
Purification Purified by Protein A.
Storage Buffer 0.01M TBS(pH7.4) with 1% BSA, 0.02% Proclin300 and 50% Glycerol.
Storage Condition Store at 4°C for up to 2 weeks. For long term storage, store at -20°C in small aliquots to prevent freeze-thaw cycles.
Target
Gene ID 4976
Swiss Prot O60313
Subcellular location Mitochondrion
Synonyms Dynamin-like 120 kDa protein mitochondrial; Optic atrophy protein 1; OPA1; KIAA0567.
Background OPA1 is a cause of optic atrophy type 1. OPA1 is mostly expressed in the mitochondrial biogenesis. OPA1 is a cause of optic atrophy type 1. OPA1 is mostly expressed In retina but can also be expressed in brain, testis, heart and skeletal muscles. This dynamin-related GTPase that is essential for normal mitochondrial morphology by regulating the equilibrium between mitochondrial fusion and mitochondrial fission.
Application Dilution
WB 1:500-2000
IHC-P 1:100-200
IHC-F 1:100-200
IF 1:100-200