| Overview |
| bsm-54150r-TR |
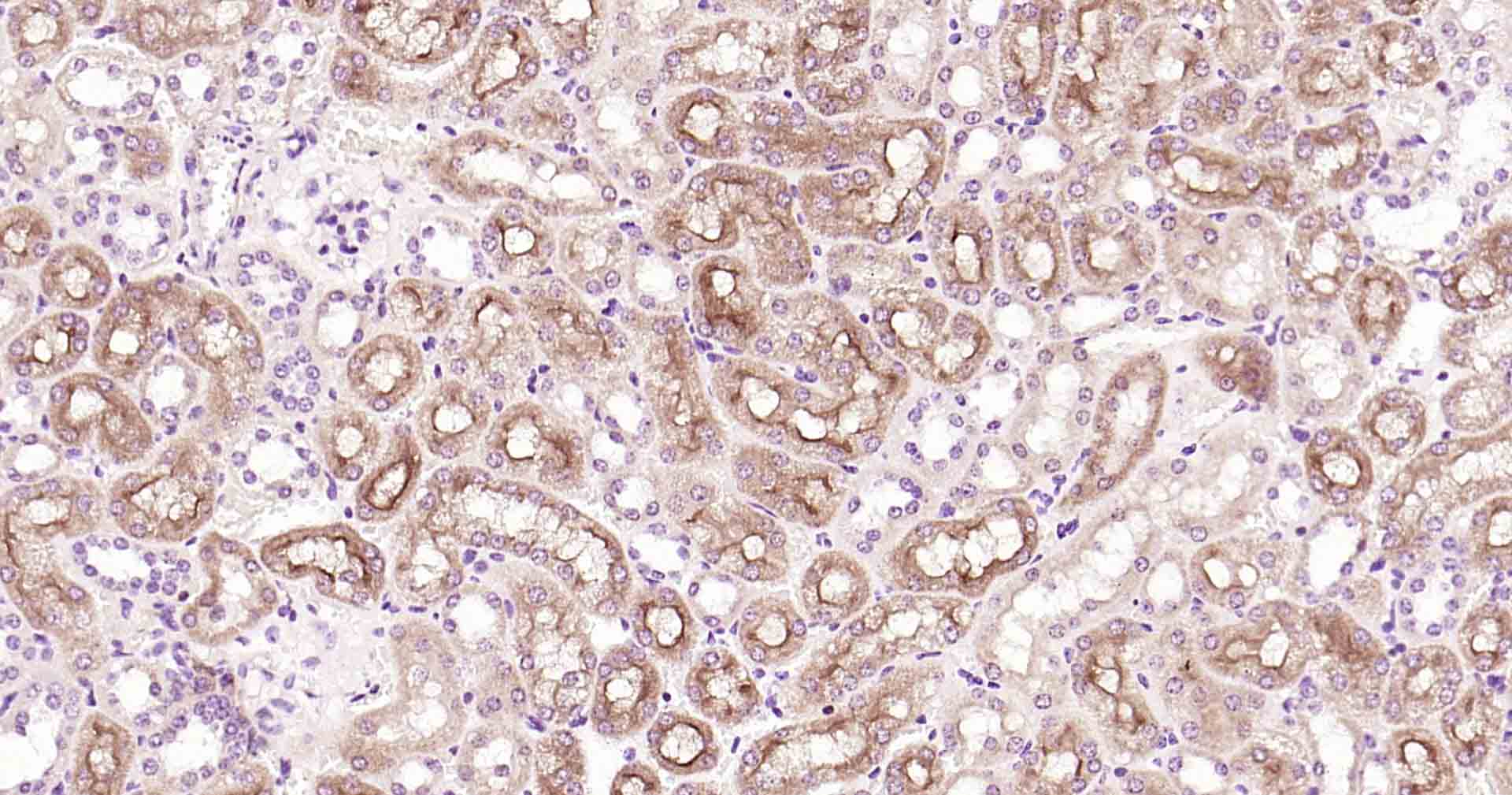
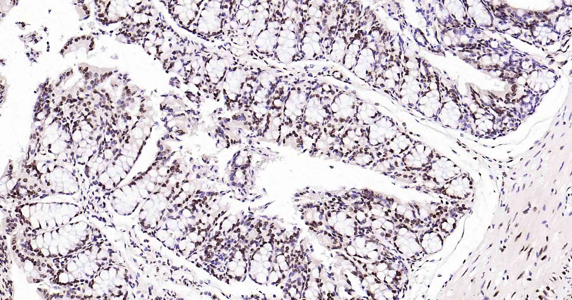
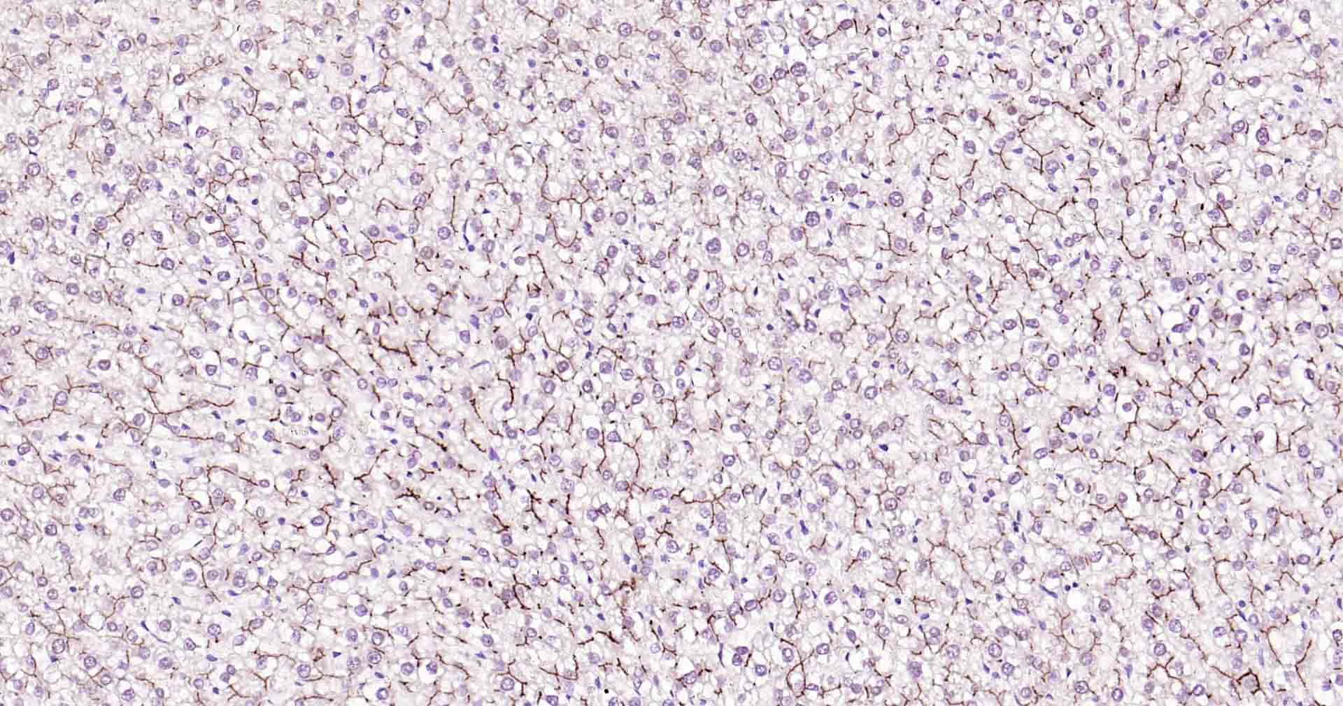
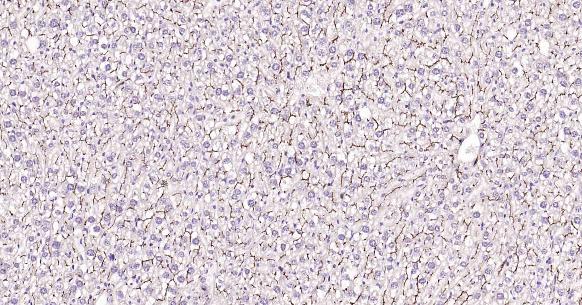
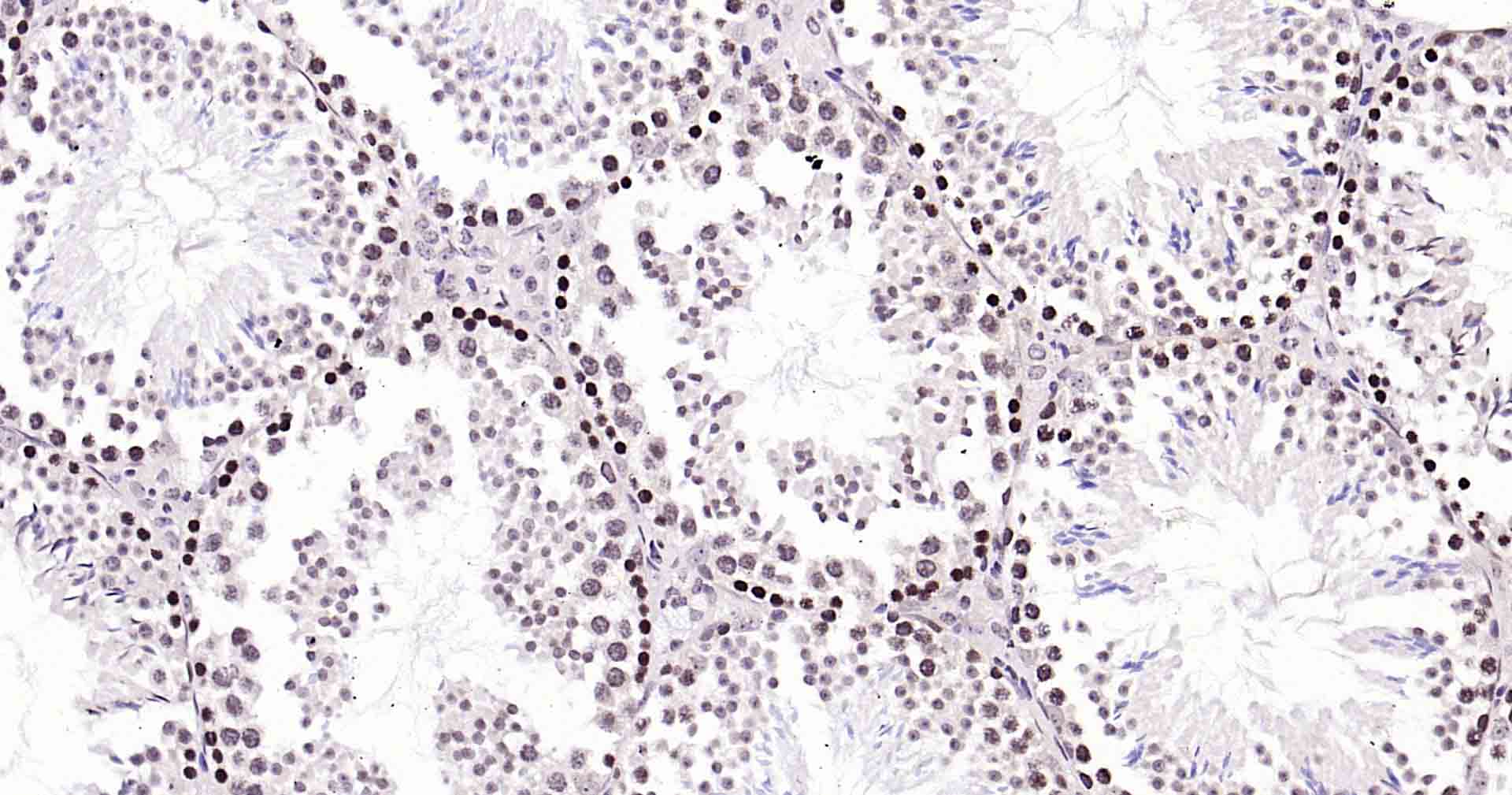
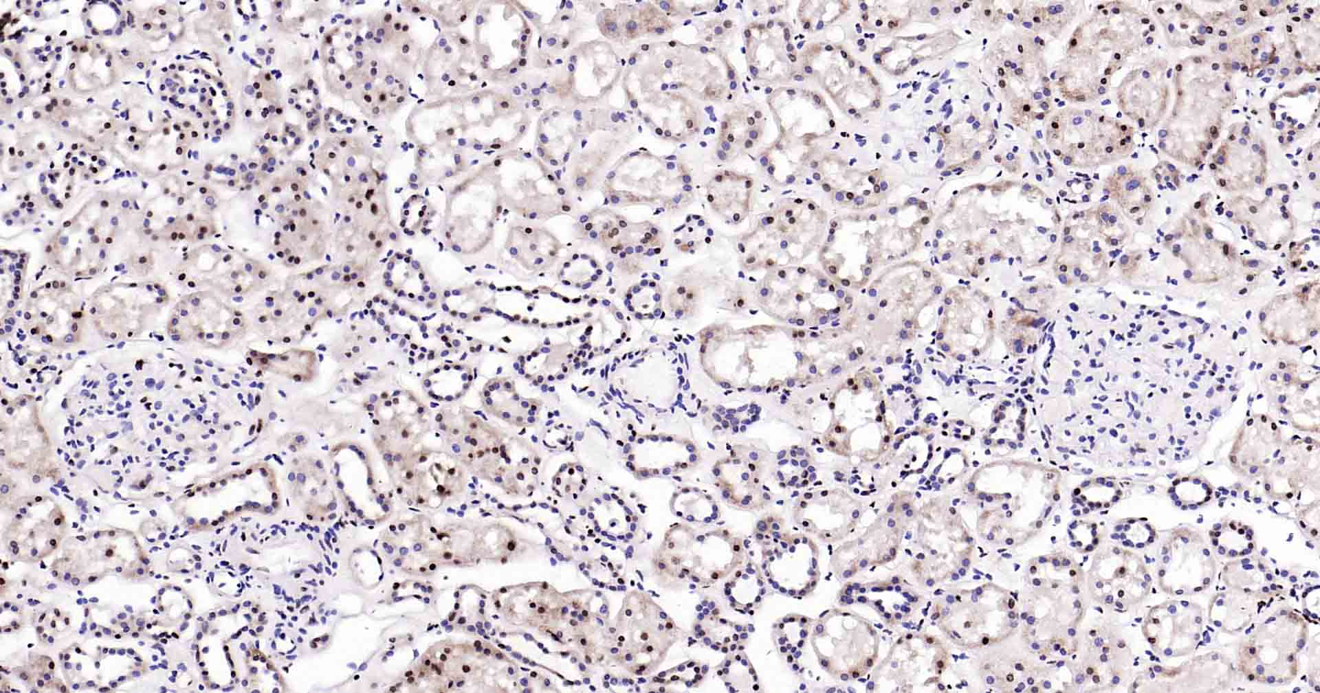
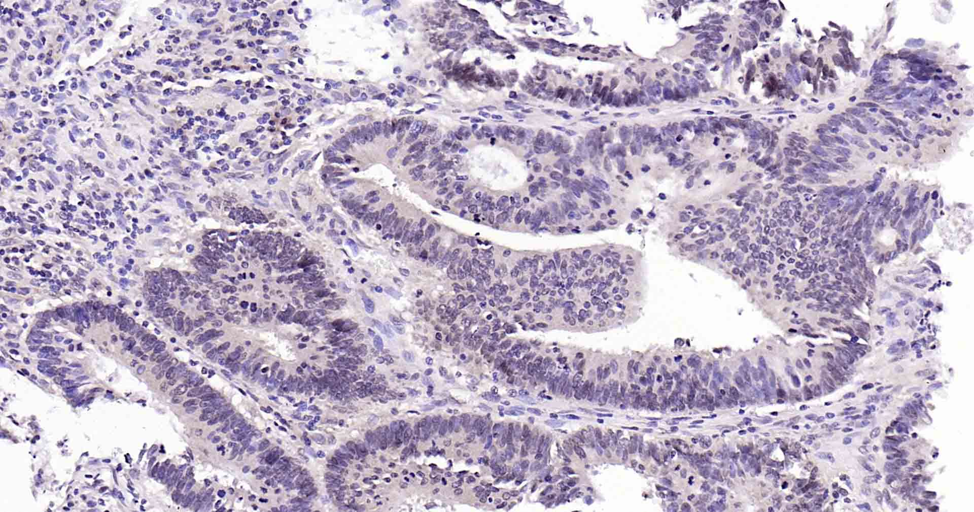
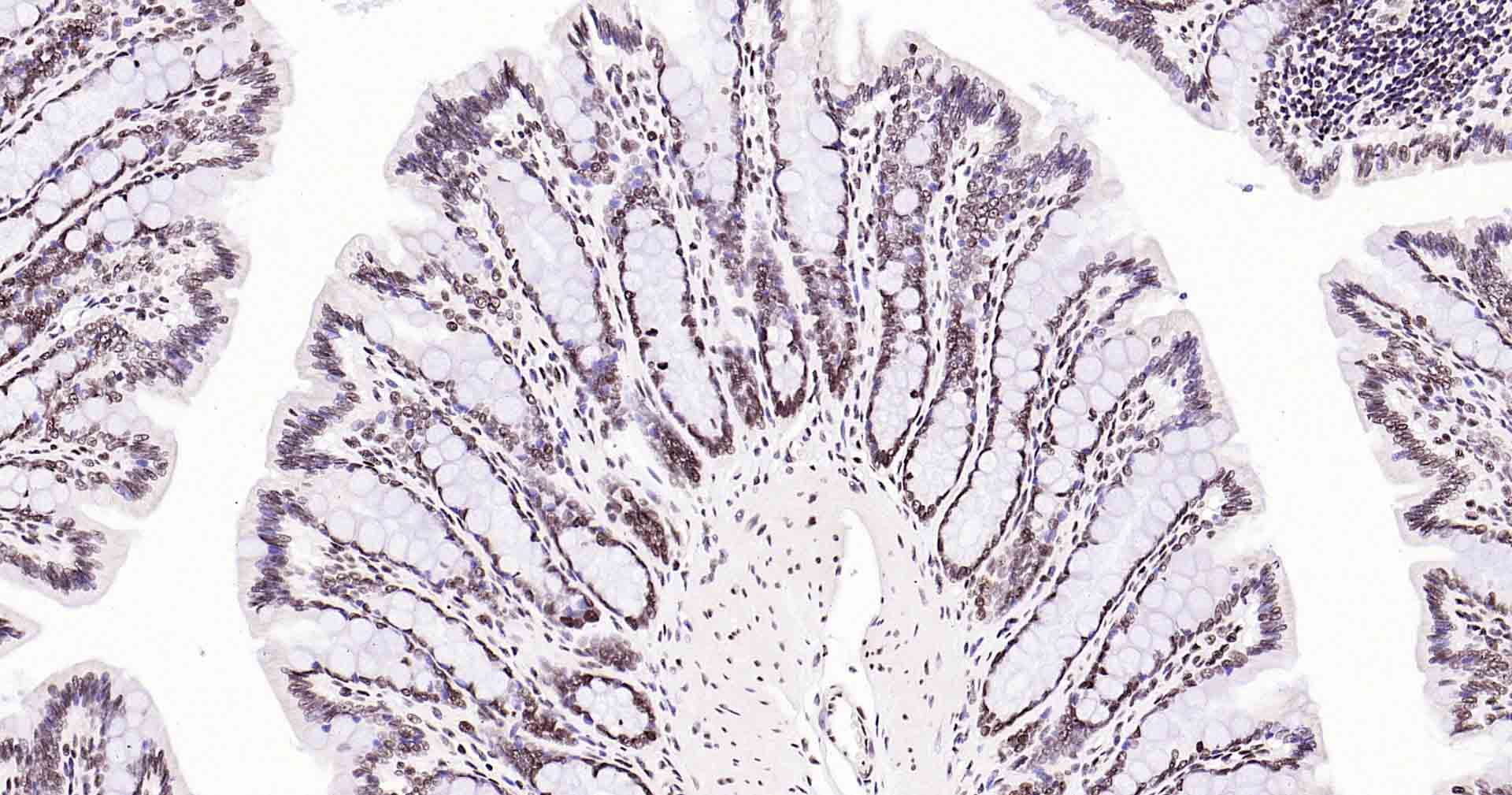
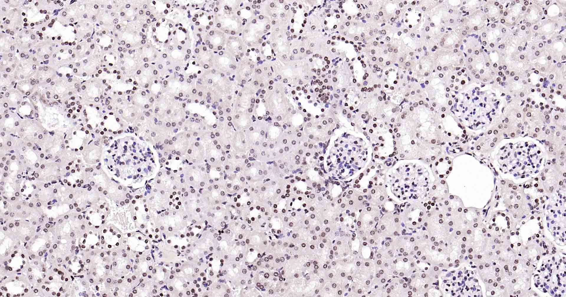
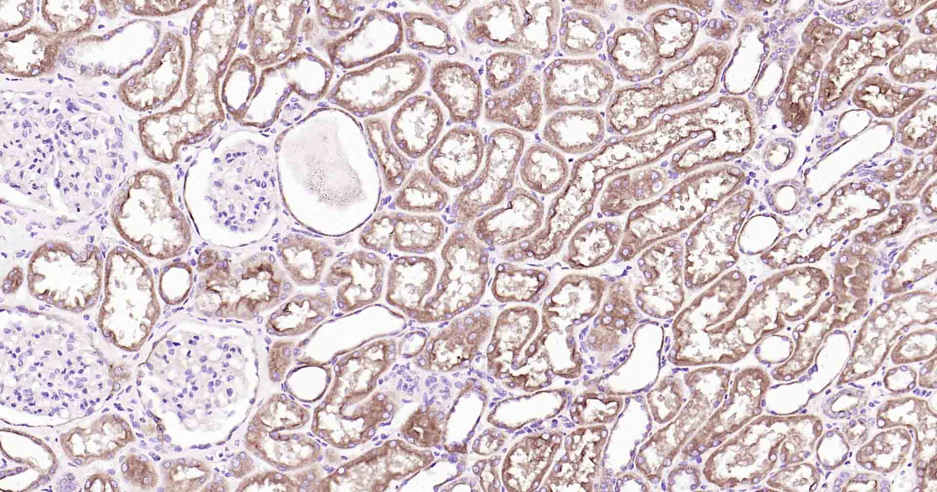
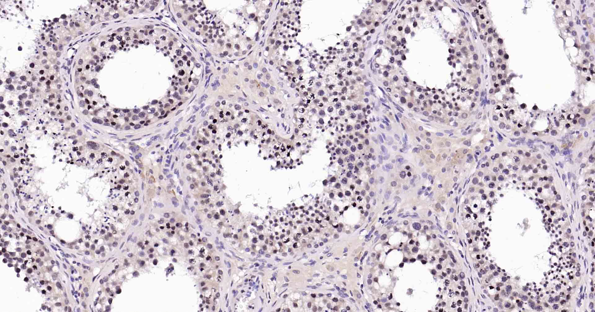
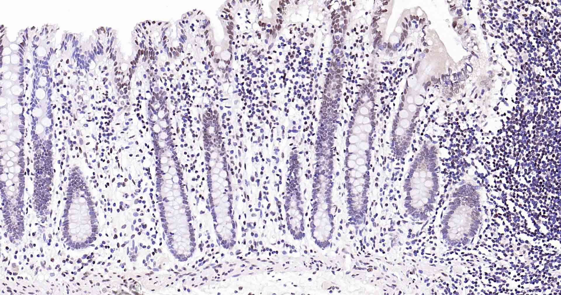
| Rad51 Recombinant Antibody |
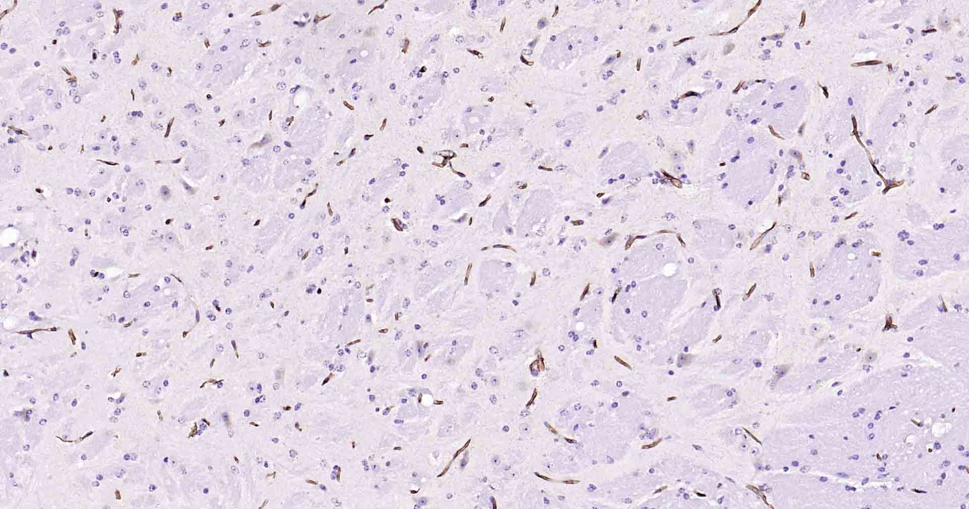
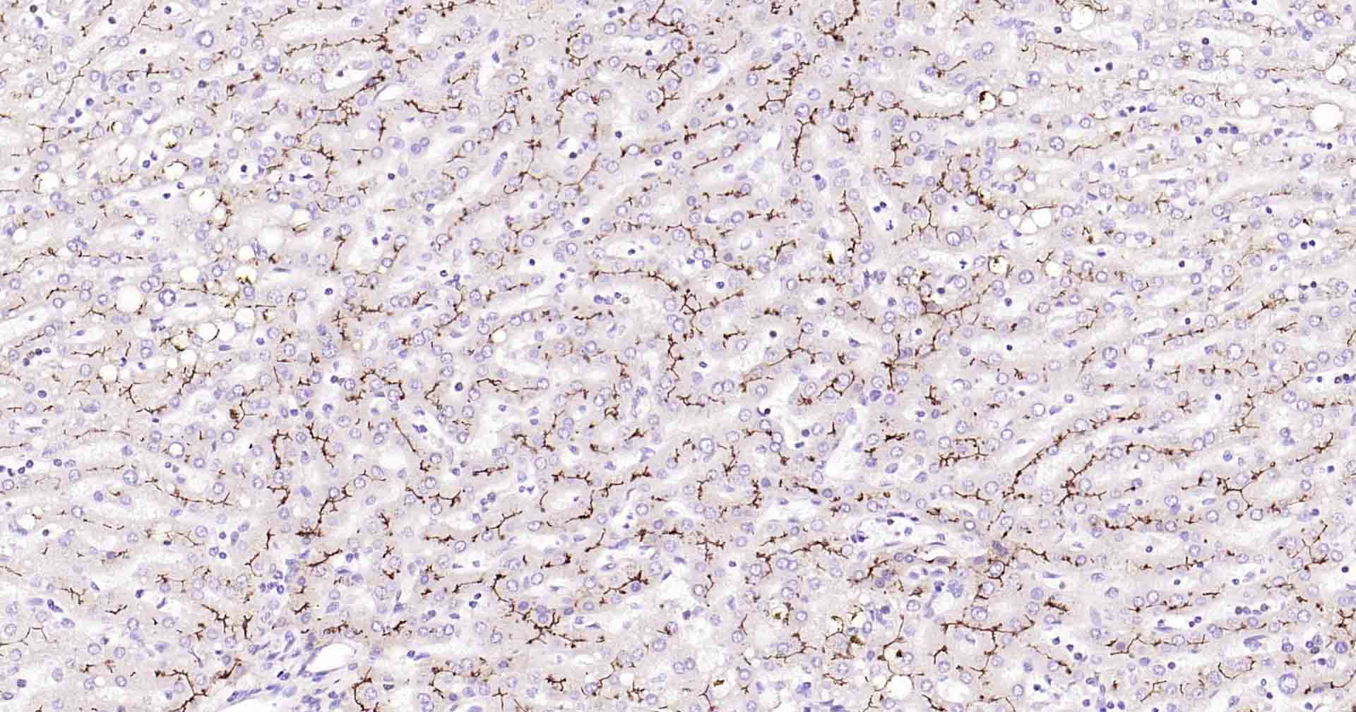
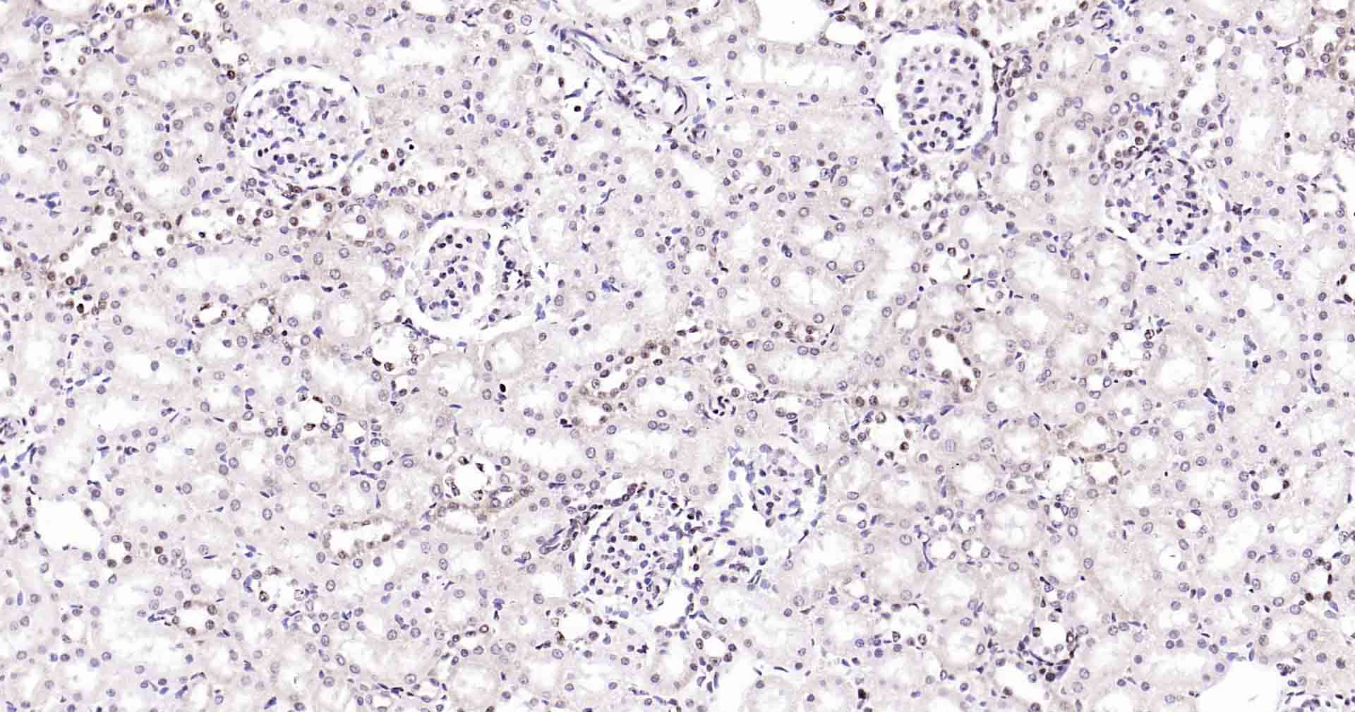
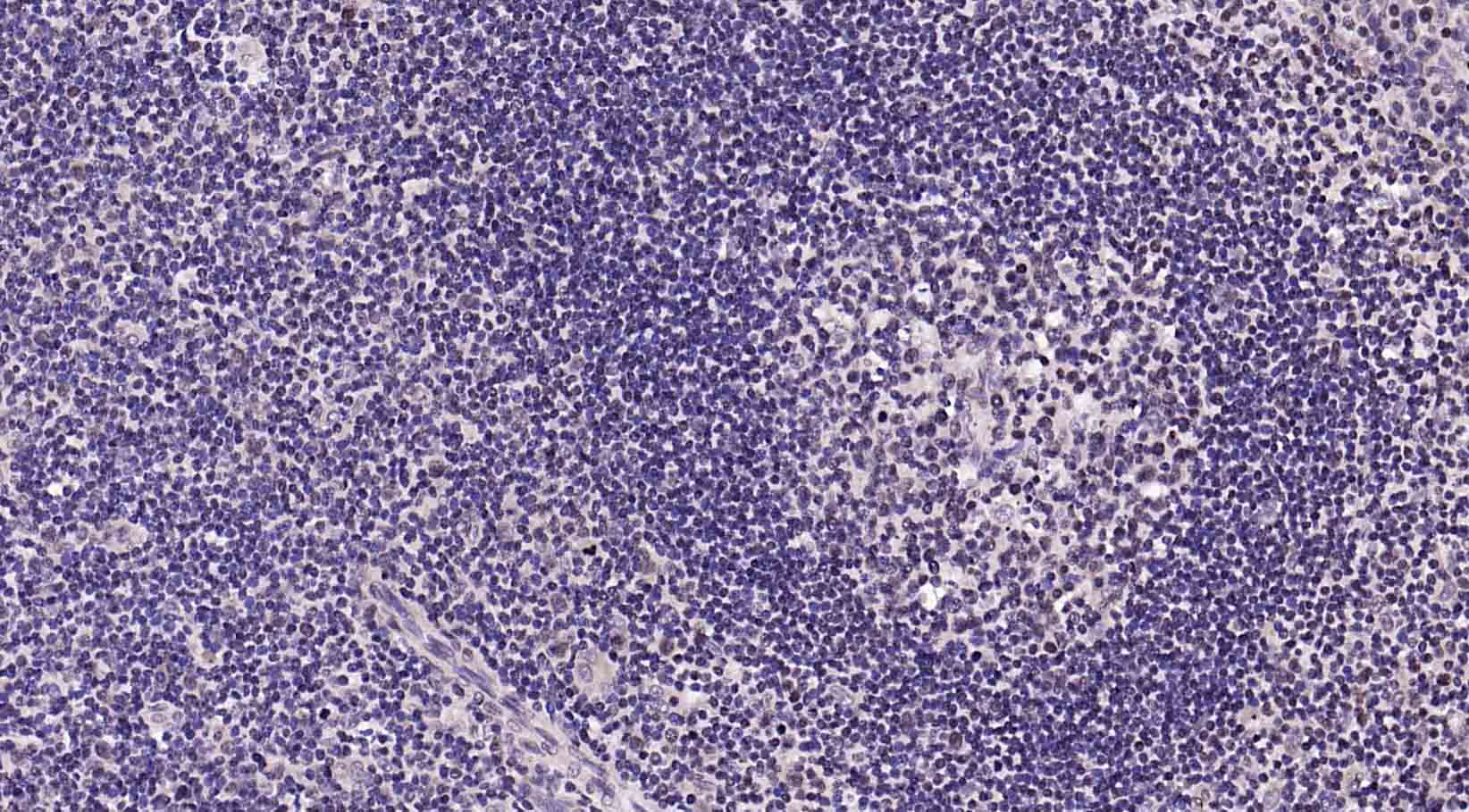
| WB, IHC-P, IHC-F, IF |
| Human, Mouse, Rat |
| Specifications |
| Unconjugated |
| Rabbit |
| Recombinant protein within human Rad51 aa 1-150 |
| Recombinant |
| IgG |
| Lot dependent |
| Purified by Protein A. |
| 0.01M TBS (pH 7.4), 1% BSA, 0.02% Proclin 300, and 50% Glycerol |
| Shipped at 4°. Store at -20°C for one year. Avoid repeated freeze/thaw cycles. |
| Target |
| 5888 |
| Q06609 |
| DNA repair protein RAD51 homolog 1; RAD51 homolog A; HsRAD51; hRAD51; RAD51; RAD51A; RECA; BRCC5; FANCR; MRMV2; HsT16930. |
| Participates in a common DNA damage response pathway associated with the activation of homologous recombination and double-strand break repair. Binds to single and double-stranded DNA and exhibits DNA-dependent ATPase activity. Underwinds duplex DNA and forms helical nucleoprotein filaments. Part of a PALB2-scaffolded HR complex containing BRCA2 and RAD51C and which is thought to play a role in DNA repair by HR. Plays a role in regulating mitochondrial DNA copy number under conditions of oxidative stress in the presence of RAD51C and XRCC3. |
| Application Dilution |
| WB |
1:300-5000 |
| IHC-P |
1:200-400 |
| IHC-F |
1:100-500 |
| IF |
|