Receive 30% off all Monoclonal IHC antibodies with code "MONO-IHC-30"! Offer valid for US customers and available internationally through distributors.

PDX1 Recombinant Antibody

Applications

  • WB
  • IHC-P
  • IHC-F
  • IF
  • ICC/IF

Reactivity

  • Human
Overview
Catalog # bsm-54153r
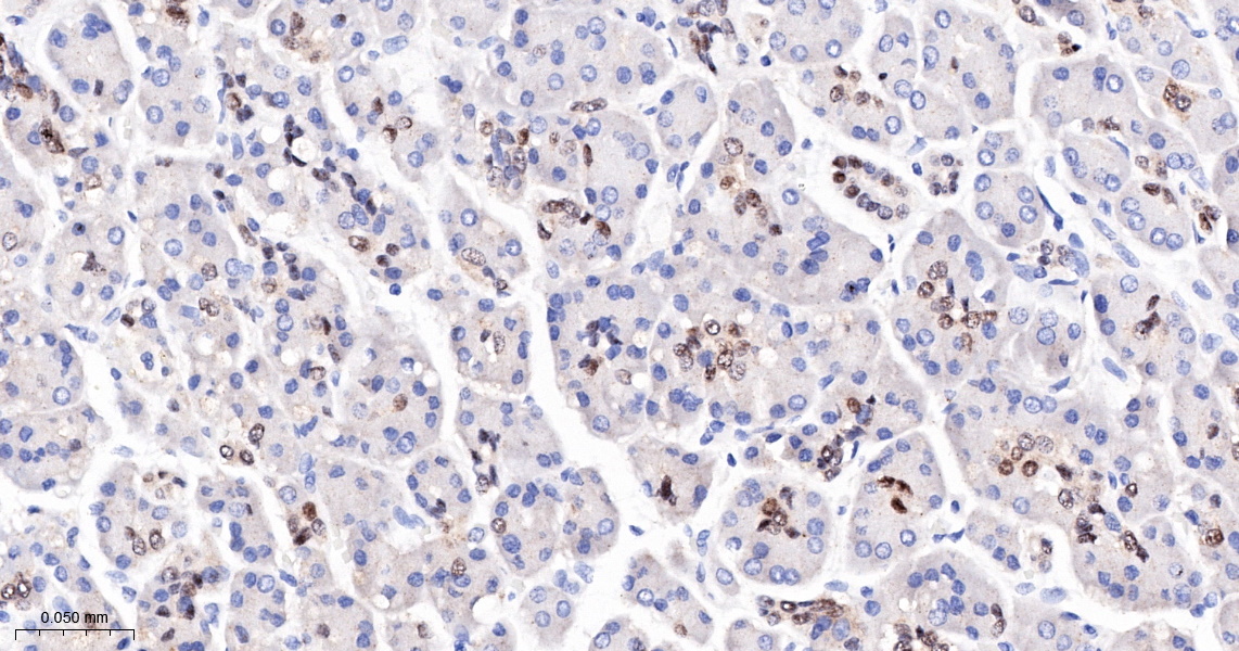
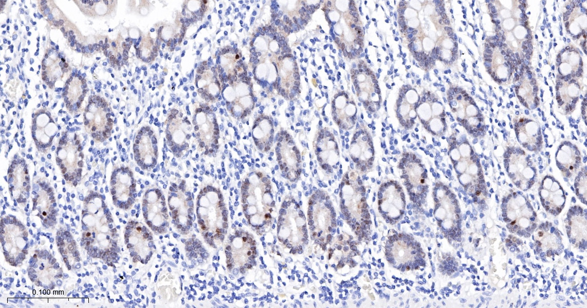
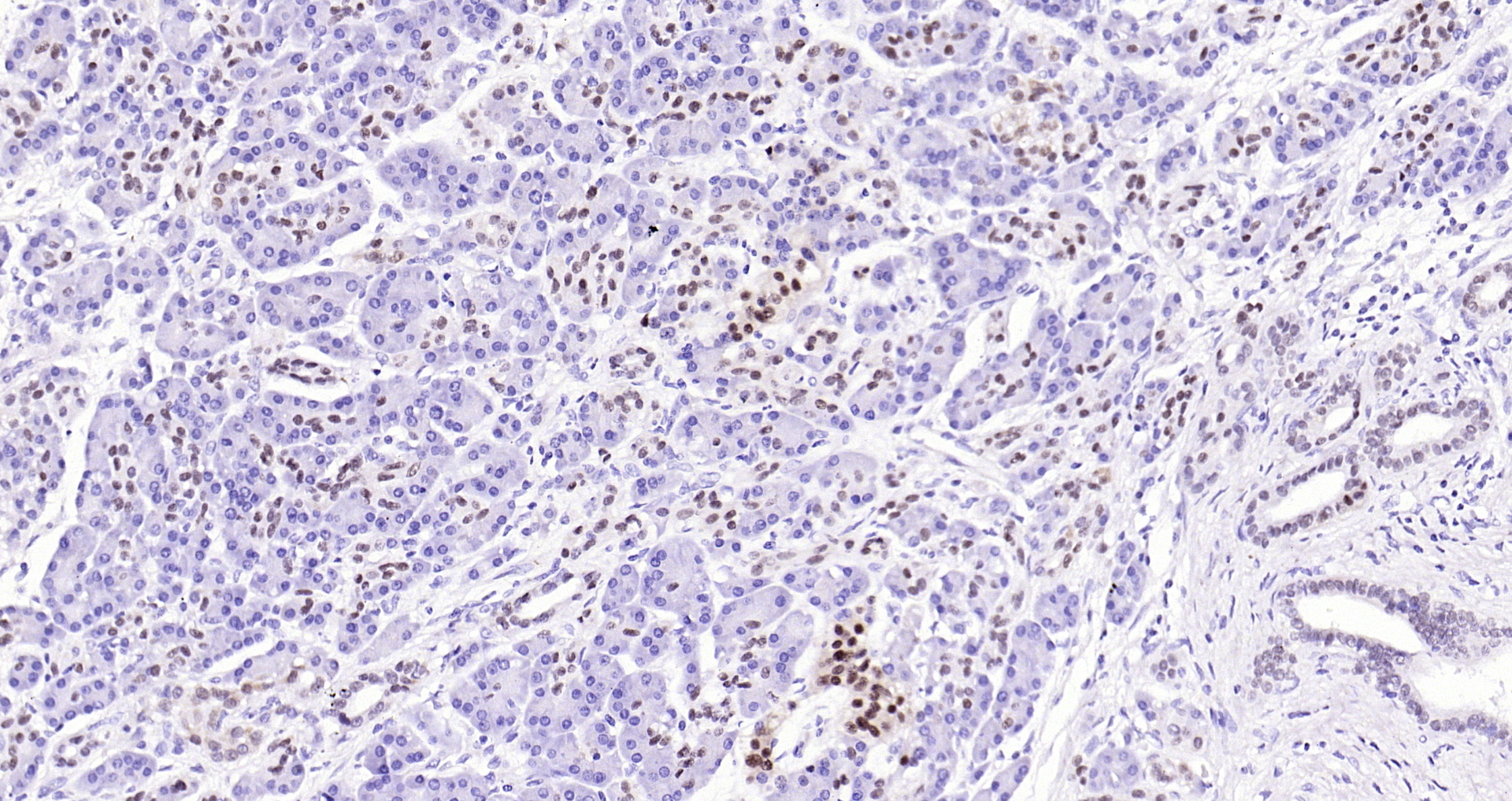
Product Name PDX1 Recombinant Antibody
Applications WB, IHC-P, IHC-F, IF, ICC/IF
Reactivity Human
Specifications
Conjugation Unconjugated
Host Rabbit
Source Recombinant human PDX1 protein
Clonality Recombinant
Isotype IgG
Concentration Lot dependent
Purification Purified by Protein A.
Storage Buffer 0.01M TBS(pH7.4) with 1% BSA, 0.02% Proclin300 and 50% Glycerol.
Storage Condition Shipped at 4C. Store at -20C for one year. Avoid repeated freeze/thaw cycles.
Target
Gene ID 3651
Swiss Prot P52945
Subcellular location Cytoplasm, Nucleus
Synonyms Glucose sensitive factor; Glucose-sensitive factor; GSF; IDX 1; IDX-1; IDX1; Insulin promoter factor 1; insulin promoter factor 1 homeodomain transcription factor; insulin upstream factor 1; IPF 1; IPF-1; IPF1; Islet/duodenum homeobox 1; Islet/duodenum homeobox-1; IUF 1; IUF-1; IUF1; MODY4; Pancreas/duodenum homeobox 1; Pancreas/duodenum homeobox protein 1; pancreatic and duodenal homeobox P; PDX 1; PDX-1; PDX1_HUMAN; Somatostatin transactivating factor 1; Somatostatin-transactivating factor 1; STF 1; STF-1; STF1.
Application Dilution
WB 1:300-5000
IHC-P 1:200-400
IHC-F 1:100-500
IF
ICC/IF 1:50-100